25% Off Select Antibodies and ELISA Kits
Sign In/Register 0

We use cookies, check our Privacy Policies.

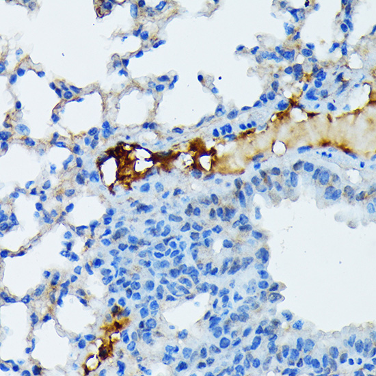
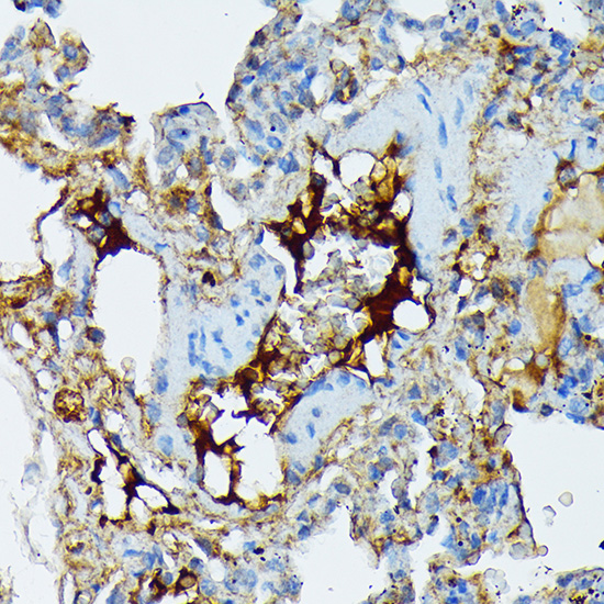
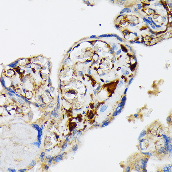
Fibrinogen alpha chain (FGA) (AB3500) Rabbit mAb
Fibrinogen alpha chain (FGA) (AB3500) Rabbit mAb

Assay Biotechnology Inc Antibodies and ELISA Kits have been rigorously validated for laboratory grade quality results. High specificity paired with high affinity for targets of interest give researchers an advantage with our products

Catalog No: M1620
Species Reactivity:Human,Mouse,Rat
Application:WB,IHC-P,ELISA
Host:Rabbit
Clonality:Monoclonal
Storage and Stability:Store at-20℃. Avoid freeze / thaw cycles.

$150
Product Details
Product Name
Fibrinogen alpha chain (FGA) (AB3500) Rabbit mAb
Description
This gene encodes the alpha subunit of the coagulation factor fibrinogen, which is a component of the blood clot. Following vascular injury, the encoded preproprotein is proteolytically processed by thrombin during the conversion of fibrinogen to fibrin. Mutations in this gene lead to several disorders, including dysfibrinogenemia, hypofibrinogenemia, afibrinogenemia and renal amyloidosis. Alternative splicing results in multiple transcript variants, at least one of which encodes an isoform that undergoes proteolytic processing.
Catalog No
M1620
Species Reactivity
Human, Mouse, Rat
Clonality
Monoclonal
Host
Rabbit
Modifcation
Unmodified
Clone
AB3500
Isotype
IgG
Application
WB, IHC-P, ELISA
Application Dilutions
WB, 1:1000-1:2000 | IHC-P, 1:200-1:2000 | ELISA, Recommended starting concentration is 1 μg/mL. Please optimize the concentration based on your specific assay requirements.
Immunogen
A synthetic peptide corresponding to a sequence within amino acids 700 - 800 of human Fibrinogen alpha chain (FGA) (FGA).
Specificity
This antibody detects endogenous levels of Fibrinogen alpha chain (FGA) protein.
Formulation
The antibody is provided in liquid form in phosphate - buffered saline with 50% glycerol, 0.05% BSA, and 0.02% sodium azide.
Purification
The antibody was purified by protein A affinity chromatography.
Storage and Stability
Store at-20℃. Avoid freeze / thaw cycles.
Gene Name
FGA
Gene ID
2243
Human swiss
P02671
Protein Name
Fibrinogen alpha chain (FGA)
Synonyms
Fib2; Fibrinogen alpha chain (FGA)
Related Products