25% Off Select Antibodies and ELISA Kits
Sign In/Register 0

We use cookies, check our Privacy Policies.

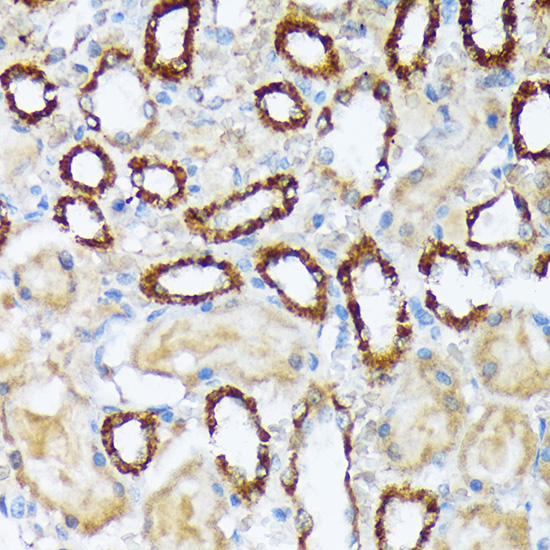
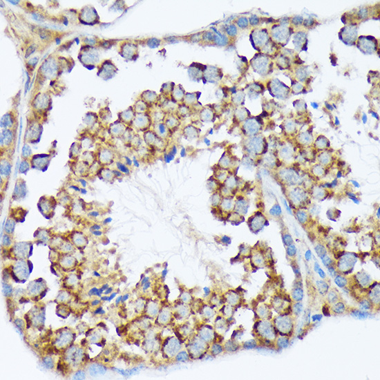
WAVE2/WASF2 (AB5237) Rabbit mAb
WAVE2/WASF2 (AB5237) Rabbit mAb

Assay Biotechnology Inc Antibodies and ELISA Kits have been rigorously validated for laboratory grade quality results. High specificity paired with high affinity for targets of interest give researchers an advantage with our products

Catalog No: M1591
Species Reactivity:Human,Mouse,Rat
Application:WB,IHC-P,ELISA
Host:Rabbit
Clonality:Monoclonal
Storage and Stability:Store at-20℃. Avoid freeze / thaw cycles.

$150
Product Details
Product Name
WAVE2/WASF2 (AB5237) Rabbit mAb
Description
This gene encodes a member of the Wiskott-Aldrich syndrome protein family. The gene product is a protein that forms a multiprotein complex that links receptor kinases and actin. Binding to actin occurs through a C-terminal verprolin homology domain in all family members. The multiprotein complex serves to tranduce signals that involve changes in cell shape, motility or function. The published map location (PMID:10381382) has been changed based on recent genomic sequence comparisons, which indicate that the expressed gene is located on chromosome 1, and a pseudogene may be located on chromosome X. Two transcript variants encoding different isoforms have been found for this gene.
Catalog No
M1591
Species Reactivity
Human, Mouse, Rat
Clonality
Monoclonal
Host
Rabbit
Modifcation
Unmodified
Clone
AB5237
Isotype
IgG
Application
WB, IHC-P, ELISA
Application Dilutions
WB, 1:500-1:1000 | IHC-P, 1:50-1:200 | ELISA, Recommended starting concentration is 1 μg/mL. Please optimize the concentration based on your specific assay requirements.
Immunogen
A synthetic peptide corresponding to a sequence within amino acids 399 - 498 of human WAVE2/WASF2 (Q9Y6W5).
Specificity
This antibody detects endogenous levels of WAVE2/WASF2 protein.
Formulation
The antibody is provided in liquid form in phosphate - buffered saline with 50% glycerol, 0.05% BSA, and 0.02% sodium azide.
Purification
The antibody was purified by protein A affinity chromatography.
Storage and Stability
Store at-20℃. Avoid freeze / thaw cycles.
Gene Name
WASF2
Gene ID
10163
Human swiss
Q9Y6W5
Protein Name
WAVE2/WASF2
Synonyms
IMD2; SCAR2; WASF4; WAVE2; dJ393P12. 2; WAVE2/WASF2
Related Products