25% Off Select Antibodies and ELISA Kits
Sign In/Register 0

We use cookies, check our Privacy Policies.

LHX3 (AB4071) Rabbit mAb
LHX3 (AB4071) Rabbit mAb

Assay Biotechnology Inc Antibodies and ELISA Kits have been rigorously validated for laboratory grade quality results. High specificity paired with high affinity for targets of interest give researchers an advantage with our products

Catalog No: M1572
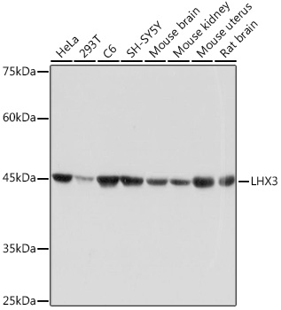
Species Reactivity:Human,Mouse,Rat
Application:WB,ELISA
Host:Rabbit
Clonality:Monoclonal
Storage and Stability:Store at-20℃. Avoid freeze / thaw cycles.

$150
Product Details
Product Name
LHX3 (AB4071) Rabbit mAb
Description
This gene encodes a member of a large family of proteins which carry the LIM domain, a unique cysteine-rich zinc-binding domain. The encoded protein is a transcription factor that is required for pituitary development and motor neuron specification. Mutations in this gene cause combined pituitary hormone deficiency 3. Alternative splicing results in multiple transcript variants encoding different isoforms.
Catalog No
M1572
Species Reactivity
Human, Mouse, Rat
Clonality
Monoclonal
Host
Rabbit
Modifcation
Unmodified
Clone
AB4071
Isotype
IgG
Application
WB, ELISA
Application Dilutions
WB, 1:500-1:2000 | ELISA, Recommended starting concentration is 1 μg/mL. Please optimize the concentration based on your specific assay requirements.
Immunogen
A synthetic peptide corresponding to a sequence within amino acids 250 - 350 of human LHX3 (Q9UBR4).
Specificity
This antibody detects endogenous levels of LHX3 protein.
Formulation
The antibody is provided in liquid form in phosphate - buffered saline with 50% glycerol, 0.05% BSA, and 0.02% sodium azide.
Purification
The antibody was purified by protein A affinity chromatography.
Storage and Stability
Store at-20℃. Avoid freeze / thaw cycles.
Gene Name
LHX3
Gene ID
8022
Human swiss
Q9UBR4
Protein Name
LHX3
Synonyms
LIM3; CPHD3; M2-LHX3; LHX3
Related Products