25% Off Select Antibodies and ELISA Kits
Sign In/Register 0

We use cookies, check our Privacy Policies.

CRMP5/DPYSL5 (AB3171) Rabbit mAb
CRMP5/DPYSL5 (AB3171) Rabbit mAb

Assay Biotechnology Inc Antibodies and ELISA Kits have been rigorously validated for laboratory grade quality results. High specificity paired with high affinity for targets of interest give researchers an advantage with our products

Catalog No: M1502
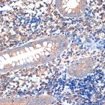
Species Reactivity:Human,Mouse,Rat
Application:WB,IHC-P,ELISA
Host:Rabbit
Clonality:Monoclonal
Storage and Stability:Store at-20℃. Avoid freeze / thaw cycles.

$150
Product Details
Product Name
CRMP5/DPYSL5 (AB3171) Rabbit mAb
Description
This gene encodes a member of the CRMP (collapsing response mediator protein) family thought to be involved in neural development. Antibodies to the encoded protein were found in some patients with neurologic symptoms who had paraneoplastic syndrome. A pseudogene of this gene is found on chromosome 11. Multiple alternatively spliced variants, encoding the same protein, have been identified.
Catalog No
M1502
Species Reactivity
Human, Mouse, Rat
Clonality
Monoclonal
Host
Rabbit
Modifcation
Unmodified
Clone
AB3171
Isotype
IgG
Application
WB, IHC-P, ELISA
Application Dilutions
WB, 1:500-1:2000 | IHC-P, 1:50-1:200 | ELISA, Recommended starting concentration is 1 μg/mL. Please optimize the concentration based on your specific assay requirements.
Immunogen
A synthetic peptide corresponding to a sequence within amino acids 465 - 564 of human CRMP5/DPYSL5 (Q9BPU6).
Specificity
This antibody detects endogenous levels of CRMP5/DPYSL5 protein.
Formulation
The antibody is provided in liquid form in phosphate - buffered saline with 50% glycerol, 0.05% BSA, and 0.02% sodium azide.
Purification
The antibody was purified by protein A affinity chromatography.
Storage and Stability
Store at-20℃. Avoid freeze / thaw cycles.
Gene Name
DPYSL5
Gene ID
56896
Human swiss
Q9BPU6
Protein Name
CRMP5/DPYSL5
Synonyms
CV2; CRAM; CRMP5; RTSC4; Ulip6; CRMP-5; CRMP5/DPYSL5
Related Products