25% Off Select Antibodies and ELISA Kits
Sign In/Register 0

We use cookies, check our Privacy Policies.

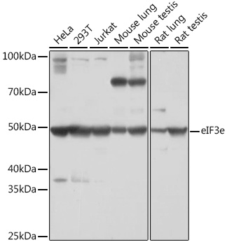
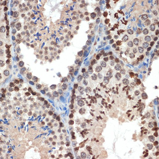
eIF3e (AB3378) Rabbit mAb
eIF3e (AB3378) Rabbit mAb

Assay Biotechnology Inc Antibodies and ELISA Kits have been rigorously validated for laboratory grade quality results. High specificity paired with high affinity for targets of interest give researchers an advantage with our products

Catalog No: M1492
Species Reactivity:Human,Mouse,Rat
Application:WB,IHC-P,ELISA
Host:Rabbit
Clonality:Monoclonal
Storage and Stability:Store at-20℃. Avoid freeze / thaw cycles.

$150
Product Details
Product Name
eIF3e (AB3378) Rabbit mAb
Description
Enables protein N-terminus binding activity. Contributes to translation initiation factor activity. Involved in positive regulation of mRNA binding activity; regulation of gene expression; and translational initiation. Located in cytosol and nucleus. Part of eukaryotic translation initiation factor 3 complex. Colocalizes with PML body.
Catalog No
M1492
Species Reactivity
Human, Mouse, Rat
Clonality
Monoclonal
Host
Rabbit
Modifcation
Unmodified
Clone
AB3378
Isotype
IgG
Application
WB, IHC-P, ELISA
Application Dilutions
WB, 1:500-1:2000 | IHC-P, 1:50-1:200 | ELISA, Recommended starting concentration is 1 μg/mL. Please optimize the concentration based on your specific assay requirements.
Immunogen
Recombinant fusion protein containing a sequence corresponding to amino acids 210 - 350 of human eIF3e.
Specificity
This antibody detects endogenous levels of eIF3e protein.
Formulation
The antibody is provided in liquid form in phosphate - buffered saline with 50% glycerol, 0.05% BSA, and 0.02% sodium azide.
Purification
The antibody was purified by protein A affinity chromatography.
Storage and Stability
Store at-20℃. Avoid freeze / thaw cycles.
Gene Name
EIF3E
Gene ID
3646
Human swiss
P60228
Protein Name
eIF3e
Synonyms
INT6; EIF3S6; EIF3-P48; eIF3-p46; eIF3e
Related Products