25% Off Select Antibodies and ELISA Kits
Sign In/Register 0

We use cookies, check our Privacy Policies.

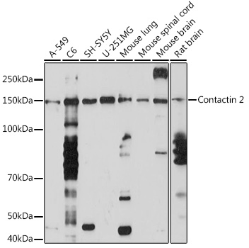
Contactin 2 (AB3134) Rabbit mAb
Contactin 2 (AB3134) Rabbit mAb

Assay Biotechnology Inc Antibodies and ELISA Kits have been rigorously validated for laboratory grade quality results. High specificity paired with high affinity for targets of interest give researchers an advantage with our products

Catalog No: M1483
Species Reactivity:Human,Mouse,Rat
Application:WB,ELISA
Host:Rabbit
Clonality:Monoclonal
Storage and Stability:Store at-20℃. Avoid freeze / thaw cycles.

$150
Product Details
Product Name
Contactin 2 (AB3134) Rabbit mAb
Description
This gene encodes a member of the contactin family of proteins, part of the immunoglobulin superfamily of cell adhesion molecules. The encoded glycosylphosphatidylinositol (GPI)-anchored neuronal membrane protein plays a role in the proliferation, migration, and axon guidance of neurons of the developing cerebellum. A mutation in this gene may be associated with adult myoclonic epilepsy.
Catalog No
M1483
Species Reactivity
Human, Mouse, Rat
Clonality
Monoclonal
Host
Rabbit
Modifcation
Unmodified
Clone
AB3134
Isotype
IgG
Application
WB, ELISA
Application Dilutions
WB, 1:500-1:1000 | ELISA, Recommended starting concentration is 1 μg/mL. Please optimize the concentration based on your specific assay requirements.
Immunogen
A synthetic peptide corresponding to a sequence within amino acids 1 - 100 of human Contactin 2 (Q02246).
Specificity
This antibody detects endogenous levels of Contactin 2 protein.
Formulation
The antibody is provided in liquid form in phosphate - buffered saline with 50% glycerol, 0.05% BSA, and 0.02% sodium azide.
Purification
The antibody was purified by protein A affinity chromatography.
Storage and Stability
Store at-20℃. Avoid freeze / thaw cycles.
Gene Name
CNTN2
Gene ID
6900
Human swiss
Q02246
Protein Name
Contactin 2
Synonyms
AXT; TAX; TAX1; FAME5; TAG-1; Contactin 2
Related Products