25% Off Select Antibodies and ELISA Kits
Sign In/Register 0

We use cookies, check our Privacy Policies.

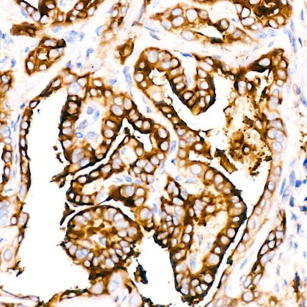
Thyroglobulin (AB5067) Rabbit mAb
Thyroglobulin (AB5067) Rabbit mAb

Assay Biotechnology Inc Antibodies and ELISA Kits have been rigorously validated for laboratory grade quality results. High specificity paired with high affinity for targets of interest give researchers an advantage with our products

Catalog No: M1476
Species Reactivity:Human,Mouse,Rat
Application:IHC-P,IF/ICC,ELISA
Host:Rabbit
Clonality:Monoclonal
Storage and Stability:Store at-20℃. Avoid freeze / thaw cycles.

$150
Product Details
Product Name
Thyroglobulin (AB5067) Rabbit mAb
Description
Thyroglobulin (Tg) is a glycoprotein homodimer produced predominantly by the thryroid gland. It acts as a substrate for the synthesis of thyroxine and triiodothyronine as well as the storage of the inactive forms of thyroid hormone and iodine. Thyroglobulin is secreted from the endoplasmic reticulum to its site of iodination, and subsequent thyroxine biosynthesis, in the follicular lumen. Mutations in this gene cause thyroid dyshormonogenesis, manifested as goiter, and are associated with moderate to severe congenital hypothyroidism. Polymorphisms in this gene are associated with susceptibility to autoimmune thyroid diseases (AITD) such as Graves disease and Hashimoto thryoiditis.
Catalog No
M1476
Species Reactivity
Human, Mouse, Rat
Clonality
Monoclonal
Host
Rabbit
Modifcation
Unmodified
Clone
AB5067
Isotype
IgG
Application
IHC-P, IF/ICC, ELISA
Application Dilutions
IHC-P, 1:50-1:200 | IF/ICC, 1:50-1:200 | ELISA, Recommended starting concentration is 1 μg/mL. Please optimize the concentration based on your specific assay requirements.
Immunogen
A synthetic peptide corresponding to a sequence within amino acids 1000 - 1100 of human Thyroglobulin.
Specificity
This antibody detects endogenous levels of Thyroglobulin protein.
Formulation
The antibody is provided in liquid form in phosphate - buffered saline with 50% glycerol, 0.05% BSA, and 0.02% sodium azide.
Purification
The antibody was purified by protein A affinity chromatography.
Storage and Stability
Store at-20℃. Avoid freeze / thaw cycles.
Gene Name
TG
Gene ID
7038
Human swiss
P01266
Protein Name
Thyroglobulin
Synonyms
TGN; AITD3; Thyroglobulin
Related Products