25% Off Select Antibodies and ELISA Kits
Sign In/Register 0

We use cookies, check our Privacy Policies.

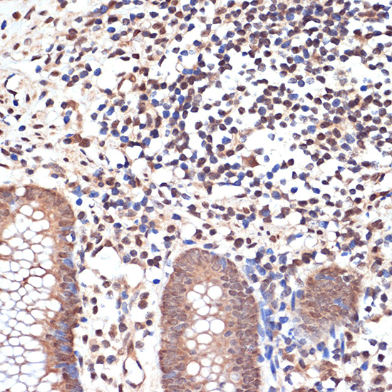
KAT8/MYST1/MOF (AB4007) Rabbit mAb
KAT8/MYST1/MOF (AB4007) Rabbit mAb

Assay Biotechnology Inc Antibodies and ELISA Kits have been rigorously validated for laboratory grade quality results. High specificity paired with high affinity for targets of interest give researchers an advantage with our products

Catalog No: M1472
Species Reactivity:Human,Mouse,Rat
Application:WB,IHC-P,IF/ICC,ELISA
Host:Rabbit
Clonality:Monoclonal
Storage and Stability:Store at-20℃. Avoid freeze / thaw cycles.

$150
Product Details
Product Name
KAT8/MYST1/MOF (AB4007) Rabbit mAb
Description
This gene encodes a member of the MYST histone acetylase protein family. The encoded protein has a characteristic MYST domain containing an acetyl-CoA-binding site, a chromodomain typical of proteins which bind histones, and a C2HC-type zinc finger. Multiple transcript variants encoding different isoforms have been found for this gene.
Catalog No
M1472
Species Reactivity
Human, Mouse, Rat
Clonality
Monoclonal
Host
Rabbit
Modifcation
Unmodified
Clone
AB4007
Isotype
IgG
Application
WB, IHC-P, IF/ICC, ELISA
Application Dilutions
WB, 1:500-1:2000 | IHC-P, 1:100-1:1000 | IF/ICC, 1:200-1:800 | ELISA, Recommended starting concentration is 1 μg/mL. Please optimize the concentration based on your specific assay requirements.
Immunogen
Recombinant fusion protein containing a sequence corresponding to amino acids 350 - 458 of human KAT8/MYST1/MOF (Q9H7Z6).
Specificity
This antibody detects endogenous levels of KAT8/MYST1/MOF protein.
Formulation
The antibody is provided in liquid form in phosphate - buffered saline with 50% glycerol, 0.05% BSA, and 0.02% sodium azide.
Purification
The antibody was purified by protein A affinity chromatography.
Storage and Stability
Store at-20℃. Avoid freeze / thaw cycles.
Gene Name
KAT8
Gene ID
84148
Human swiss
Q9H7Z6
Protein Name
KAT8/MYST1/MOF
Synonyms
MOF; hMOF; MYST1; LIGOWS; ZC2HC8; KAT8/MYST1/MOF
Related Products