25% Off Select Antibodies and ELISA Kits
Sign In/Register 0

We use cookies, check our Privacy Policies.

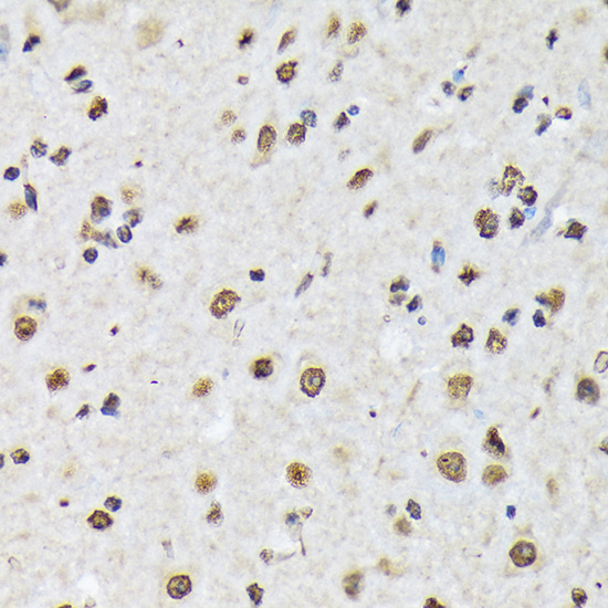
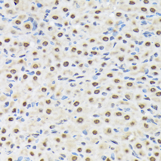
Matrin 3 (AB4132) Rabbit mAb
Matrin 3 (AB4132) Rabbit mAb

Assay Biotechnology Inc Antibodies and ELISA Kits have been rigorously validated for laboratory grade quality results. High specificity paired with high affinity for targets of interest give researchers an advantage with our products

Catalog No: M1405
Species Reactivity:Human,Mouse,Rat
Application:WB,IHC-P,IF/ICC,ELISA
Host:Rabbit
Clonality:Monoclonal
Storage and Stability:Store at-20℃. Avoid freeze / thaw cycles.

$150
Product Details
Product Name
Matrin 3 (AB4132) Rabbit mAb
Description
This gene encodes a nuclear matrix protein, which is proposed to stabilize certain messenger RNA species. Mutations of this gene are associated with distal myopathy 2, which often includes vocal cord and pharyngeal weakness. Alternatively spliced transcript variants, including read-through transcripts composed of the upstream small nucleolar RNA host gene 4 (non-protein coding) and matrin 3 gene sequence, have been identified. Pseudogenes of this gene are located on chromosomes 1 and X.
Catalog No
M1405
Species Reactivity
Human, Mouse, Rat
Clonality
Monoclonal
Host
Rabbit
Modifcation
Unmodified
Clone
AB4132
Isotype
IgG
Application
WB, IHC-P, IF/ICC, ELISA
Application Dilutions
WB, 1:500-1:1000 | IHC-P, 1:50-1:200 | IF/ICC, 1:50-1:200 | ELISA, Recommended starting concentration is 1 μg/mL. Please optimize the concentration based on your specific assay requirements.
Immunogen
A synthetic peptide corresponding to a sequence within amino acids 700 - 800 of human Matrin 3.
Specificity
This antibody detects endogenous levels of Matrin 3 protein.
Formulation
The antibody is provided in liquid form in phosphate - buffered saline with 50% glycerol, 0.05% BSA, and 0.02% sodium azide.
Purification
The antibody was purified by protein A affinity chromatography.
Storage and Stability
Store at-20℃. Avoid freeze / thaw cycles.
Gene Name
MATR3
Gene ID
9782
Human swiss
P43243
Protein Name
Matrin 3
Synonyms
MPD2; ALS21; VCPDM; Matrin 3
Related Products