25% Off Select Antibodies and ELISA Kits
Sign In/Register 0

We use cookies, check our Privacy Policies.

PIST/GOPC (AB4547) Rabbit mAb
PIST/GOPC (AB4547) Rabbit mAb

Assay Biotechnology Inc Antibodies and ELISA Kits have been rigorously validated for laboratory grade quality results. High specificity paired with high affinity for targets of interest give researchers an advantage with our products

Catalog No: M1392
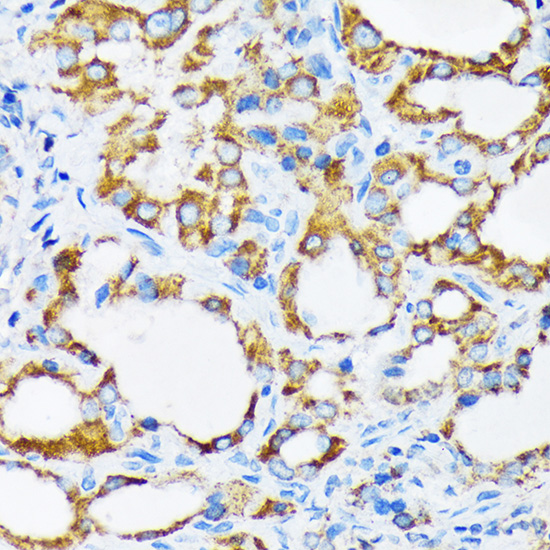
Species Reactivity:Human,Mouse,Rat
Application:WB,IHC-P,IF/ICC,ELISA
Host:Rabbit
Clonality:Monoclonal
Storage and Stability:Store at-20℃. Avoid freeze / thaw cycles.

$150
Product Details
Product Name
PIST/GOPC (AB4547) Rabbit mAb
Description
This gene encodes a Golgi protein with a PDZ domain. The PDZ domain is globular and proteins which contain them bind other proteins through short motifs near the C-termini. Mice which are deficient in the orthologous protein have globozoospermia and are infertile. Multiple transcript variants encoding different isoforms have been found for this gene.
Catalog No
M1392
Species Reactivity
Human, Mouse, Rat
Clonality
Monoclonal
Host
Rabbit
Modifcation
Unmodified
Clone
AB4547
Isotype
IgG
Application
WB, IHC-P, IF/ICC, ELISA
Application Dilutions
WB, 1:500-1:1000 | IHC-P, 1:50-1:200 | IF/ICC, 1:50-1:200 | ELISA, Recommended starting concentration is 1 μg/mL. Please optimize the concentration based on your specific assay requirements.
Immunogen
Recombinant fusion protein containing a sequence corresponding to amino acids 1 - 100 of human PIST/GOPC (Q9HD26).
Specificity
This antibody detects endogenous levels of PIST/GOPC protein.
Formulation
The antibody is provided in liquid form in phosphate - buffered saline with 50% glycerol, 0.05% BSA, and 0.02% sodium azide.
Purification
The antibody was purified by protein A affinity chromatography.
Storage and Stability
Store at-20℃. Avoid freeze / thaw cycles.
Gene Name
GOPC
Gene ID
57120
Human swiss
Q9HD26
Protein Name
PIST/GOPC
Synonyms
CAL; FIG; PIST; GOPC1; dJ94G16. 2; PIST/GOPC
Related Products