25% Off Select Antibodies and ELISA Kits
Sign In/Register 0

We use cookies, check our Privacy Policies.

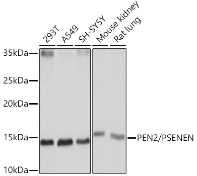
PEN2/PSENEN (AB4498) Rabbit mAb
PEN2/PSENEN (AB4498) Rabbit mAb

Assay Biotechnology Inc Antibodies and ELISA Kits have been rigorously validated for laboratory grade quality results. High specificity paired with high affinity for targets of interest give researchers an advantage with our products

Catalog No: M1363
Species Reactivity:Human,Mouse,Rat
Application:WB,IF/ICC,ELISA
Host:Rabbit
Clonality:Monoclonal
Storage and Stability:Store at-20℃. Avoid freeze / thaw cycles.

$150
Product Details
Product Name
PEN2/PSENEN (AB4498) Rabbit mAb
Description
Presenilins, which are components of the gamma-secretase protein complex, are required for intramembranous processing of some type I transmembrane proteins, such as the Notch proteins and the beta-amyloid precursor protein. Signaling by Notch receptors mediates a wide range of developmental cell fates. Processing of the beta-amyloid precursor protein generates neurotoxic amyloid beta peptides, the major component of senile plaques associated with Alzheimer's disease. This gene encodes a protein that is required for Notch pathway signaling, and for the activity and accumulation of gamma-secretase. Mutations resulting in haploinsufficiency for this gene cause familial acne inversa-2 (ACNINV2) . Alternative splicing results in multiple transcript variants.
Catalog No
M1363
Species Reactivity
Human, Mouse, Rat
Clonality
Monoclonal
Host
Rabbit
Modifcation
Unmodified
Clone
AB4498
Isotype
IgG
Application
WB, IF/ICC, ELISA
Application Dilutions
WB, 1:1000-1:6000 | IF/ICC, 1:100-1:400 | ELISA, Recommended starting concentration is 1 μg/mL. Please optimize the concentration based on your specific assay requirements.
Immunogen
Recombinant fusion protein containing a sequence corresponding to amino acids 1 - 101 of human PEN2/PSENEN.
Specificity
This antibody detects endogenous levels of PEN2/PSENEN protein.
Formulation
The antibody is provided in liquid form in phosphate - buffered saline with 50% glycerol, 0.05% BSA, and 0.02% sodium azide.
Purification
The antibody was purified by protein A affinity chromatography.
Storage and Stability
Store at-20℃. Avoid freeze / thaw cycles.
Gene Name
PSENEN
Gene ID
55851
Human swiss
Q9NZ42
Protein Name
PEN2/PSENEN
Synonyms
PEN2; PEN-2; MDS033; ACNINV2; MSTP064; PEN2/PSENEN
Related Products