25% Off Select Antibodies and ELISA Kits
Sign In/Register 0

We use cookies, check our Privacy Policies.

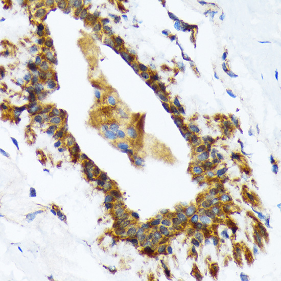
RAIDD/CRADD (AB4722) Rabbit mAb
RAIDD/CRADD (AB4722) Rabbit mAb

Assay Biotechnology Inc Antibodies and ELISA Kits have been rigorously validated for laboratory grade quality results. High specificity paired with high affinity for targets of interest give researchers an advantage with our products

Catalog No: M1360
Species Reactivity:Human,Rat
Application:WB,IHC-P,ELISA
Host:Rabbit
Clonality:Monoclonal
Storage and Stability:Store at-20℃. Avoid freeze / thaw cycles.

$150
Product Details
Product Name
RAIDD/CRADD (AB4722) Rabbit mAb
Description
This gene encodes a protein containing a death domain (DD) motif. This protein recruits caspase 2/ICH1 to the cell death signal transduction complex, which includes tumor necrosis factor receptor 1 (TNFR1A) and RIPK1/RIP kinase, and acts in promoting apoptosis. A mutation in this gene was associated with cognitive disability. A related pseudogene is found on chromosome 3. Alternative splicing results in multiple transcript variants.
Catalog No
M1360
Species Reactivity
Human, Rat
Clonality
Monoclonal
Host
Rabbit
Modifcation
Unmodified
Clone
AB4722
Isotype
IgG
Application
WB, IHC-P, ELISA
Application Dilutions
WB, 1:500-1:2000 | IHC-P, 1:50-1:200 | ELISA, Recommended starting concentration is 1 μg/mL. Please optimize the concentration based on your specific assay requirements.
Immunogen
A synthetic peptide corresponding to a sequence within amino acids 70 - 150 of human CRADD.
Specificity
This antibody detects endogenous levels of RAIDD/CRADD protein.
Formulation
The antibody is provided in liquid form in phosphate - buffered saline with 50% glycerol, 0.05% BSA, and 0.02% sodium azide.
Purification
The antibody was purified by protein A affinity chromatography.
Storage and Stability
Store at-20℃. Avoid freeze / thaw cycles.
Gene Name
CRADD
Gene ID
8738
Human swiss
P78560
Protein Name
RAIDD/CRADD
Synonyms
MRT34; RAIDD; RAIDD/CRADD
Related Products