25% Off Select Antibodies and ELISA Kits
Sign In/Register 0

We use cookies, check our Privacy Policies.

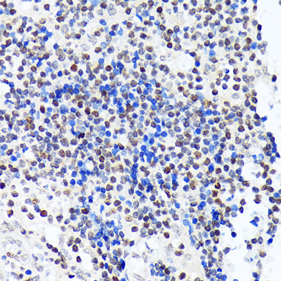
IKZF3 (AB3883) Rabbit mAb
IKZF3 (AB3883) Rabbit mAb

Assay Biotechnology Inc Antibodies and ELISA Kits have been rigorously validated for laboratory grade quality results. High specificity paired with high affinity for targets of interest give researchers an advantage with our products

Catalog No: M1353
Species Reactivity:Human,Mouse,Rat
Application:WB,IHC-P,IF/ICC,ELISA
Host:Rabbit
Clonality:Monoclonal
Storage and Stability:Store at-20℃. Avoid freeze / thaw cycles.

$150
Product Details
Product Name
IKZF3 (AB3883) Rabbit mAb
Description
This gene encodes a member of the Ikaros family of zinc-finger proteins. Three members of this protein family (Ikaros, Aiolos and Helios) are hematopoietic-specific transcription factors involved in the regulation of lymphocyte development. This gene product is a transcription factor that is important in the regulation of B lymphocyte proliferation and differentiation. Both Ikaros and Aiolos can participate in chromatin remodeling. Regulation of gene expression in B lymphocytes by Aiolos is complex as it appears to require the sequential formation of Ikaros homodimers, Ikaros/Aiolos heterodimers, and Aiolos homodimers. Several alternative transcripts encoding different isoforms have been described, as well as some non-protein coding variants.
Catalog No
M1353
Species Reactivity
Human, Mouse, Rat
Clonality
Monoclonal
Host
Rabbit
Modifcation
Unmodified
Clone
AB3883
Isotype
IgG
Application
WB, IHC-P, IF/ICC, ELISA
Application Dilutions
WB, 1:500-1:1000 | IHC-P, 1:50-1:200 | IF/ICC, 1:50-1:200 | ELISA, Recommended starting concentration is 1 μg/mL. Please optimize the concentration based on your specific assay requirements.
Immunogen
A synthetic peptide corresponding to a sequence within amino acids 1 - 100 of human IKZF3 (Q9UKT9).
Specificity
This antibody detects endogenous levels of IKZF3 protein.
Formulation
The antibody is provided in liquid form in phosphate - buffered saline with 50% glycerol, 0.05% BSA, and 0.02% sodium azide.
Purification
The antibody was purified by protein A affinity chromatography.
Storage and Stability
Store at-20℃. Avoid freeze / thaw cycles.
Gene Name
IKZF3
Gene ID
22806
Human swiss
Q9UKT9
Protein Name
IKZF3
Synonyms
AIO; IMD84; AIOLOS; ZNFN1A3; IKZF3
Related Products