25% Off Select Antibodies and ELISA Kits
Sign In/Register 0

We use cookies, check our Privacy Policies.

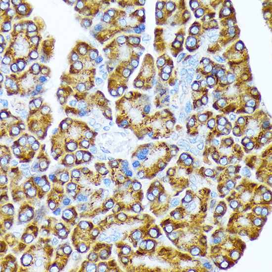
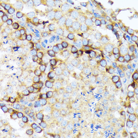
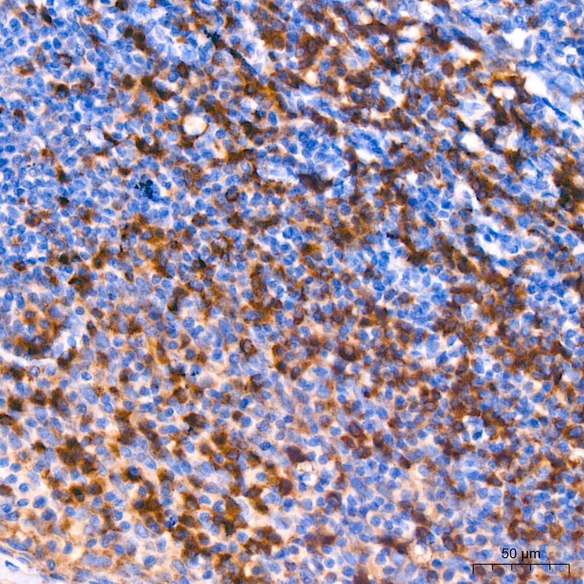
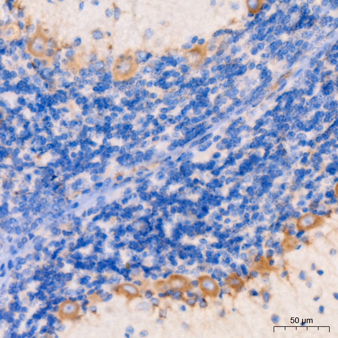
eIF2A (AB3373) Rabbit mAb
eIF2A (AB3373) Rabbit mAb

Assay Biotechnology Inc Antibodies and ELISA Kits have been rigorously validated for laboratory grade quality results. High specificity paired with high affinity for targets of interest give researchers an advantage with our products

Catalog No: M1327
Species Reactivity:Human,Mouse,Rat
Application:WB,IHC-P,ELISA
Host:Rabbit
Clonality:Monoclonal
Storage and Stability:Store at-20℃. Avoid freeze / thaw cycles.

$150
Product Details
Product Name
eIF2A (AB3373) Rabbit mAb
Description
This gene encodes a eukaryotic translation initiation factor that catalyzes the formation of puromycin-sensitive 80 S preinitiation complexes and the poly(U)-directed synthesis of polyphenylalanine at low concentrations of Mg2+. This gene should not be confused with eIF2-alpha (EIF2S1, Gene ID: 1965) , the alpha subunit of the eIF2 translation initiation complex. Although both of these proteins function in binding initiator tRNA to the 40 S ribosomal subunit, the encoded protein does so in a codon-dependent manner, whereas eIF2 complex requires GTP. Alternative splicing of this gene results in multiple transcript variants encoding different isoforms.
Catalog No
M1327
Species Reactivity
Human, Mouse, Rat
Clonality
Monoclonal
Host
Rabbit
Modifcation
Unmodified
Clone
AB3373
Isotype
IgG
Application
WB, IHC-P, ELISA
Application Dilutions
WB, 1:500-1:1000 | IHC-P, 1:200-1:2000 | ELISA, Recommended starting concentration is 1 μg/mL. Please optimize the concentration based on your specific assay requirements.
Immunogen
A synthetic peptide corresponding to a sequence within amino acids 450 - 550 of human eIF2A (Q9BY44).
Specificity
This antibody detects endogenous levels of eIF2A protein.
Formulation
The antibody is provided in liquid form in phosphate - buffered saline with 50% glycerol, 0.05% BSA, and 0.02% sodium azide.
Purification
The antibody was purified by protein A affinity chromatography.
Storage and Stability
Store at-20℃. Avoid freeze / thaw cycles.
Gene Name
EIF2A
Gene ID
83939
Human swiss
Q9BY44
Protein Name
eIF2A
Synonyms
CDA02; EIF-2A; MST089; MSTP004; MSTP089; eIF2A
Related Products