25% Off Select Antibodies and ELISA Kits
Sign In/Register 0

We use cookies, check our Privacy Policies.

PIAS1+PIAS2 (AB4537) Rabbit mAb
PIAS1+PIAS2 (AB4537) Rabbit mAb

Assay Biotechnology Inc Antibodies and ELISA Kits have been rigorously validated for laboratory grade quality results. High specificity paired with high affinity for targets of interest give researchers an advantage with our products

Catalog No: M1315
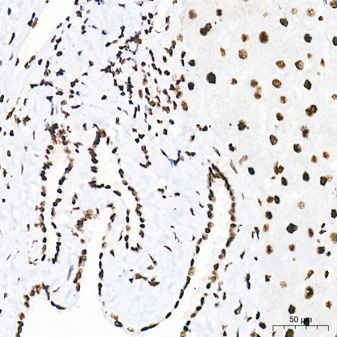
Species Reactivity:Human,Mouse,Rat
Application:WB,IHC-P,ELISA
Host:Rabbit
Clonality:Monoclonal
Storage and Stability:Store at-20℃. Avoid freeze / thaw cycles.

$150
Product Details
Product Name
PIAS1+PIAS2 (AB4537) Rabbit mAb
Description
This gene encodes a member of the protein inhibitor of activated STAT (PIAS) family. PIAS proteins function as SUMO E3 ligases and play important roles in many cellular processes by mediating the sumoylation of target proteins. This protein plays a central role as a transcriptional coregulator of numerous cellular pathways includign the STAT1 and nuclear factor kappaB pathways. Alternate splicing results in multiple transcript variants. [provided by RefSeq, Mar 2016]
Catalog No
M1315
Species Reactivity
Human, Mouse, Rat
Clonality
Monoclonal
Host
Rabbit
Modifcation
Unmodified
Clone
AB4537
Isotype
IgG
Application
WB, IHC-P, ELISA
Application Dilutions
WB, 1:500-1:2000 | IHC-P, 1:50-1:200 | ELISA, Recommended starting concentration is 1 μg/mL. Please optimize the concentration based on your specific assay requirements.
Immunogen
A synthetic peptide corresponding to a sequence within amino acids 552 - 651 of human PIAS1+PIAS2 (O75925).
Specificity
This antibody detects endogenous levels of PIAS1+PIAS2 protein.
Formulation
The antibody is provided in liquid form in phosphate - buffered saline with 50% glycerol, 0.05% BSA, and 0.02% sodium azide.
Purification
The antibody was purified by protein A affinity chromatography.
Storage and Stability
Store at-20℃. Avoid freeze / thaw cycles.
Gene Name
PIAS1/PIAS2
Gene ID
8554; 9063
Human swiss
O75925; O75928
Protein Name
PIAS1+PIAS2
Synonyms
DDXBP1; GBP; GU/RH-II; ZMIZ3; PIAS1+PIAS2
Related Products