25% Off Select Antibodies and ELISA Kits
Sign In/Register 0

We use cookies, check our Privacy Policies.

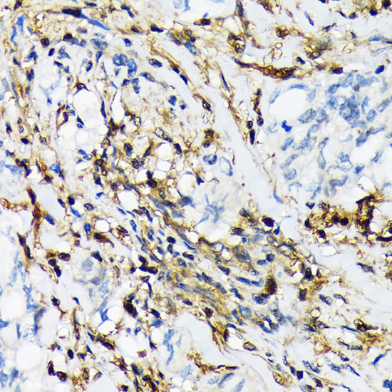
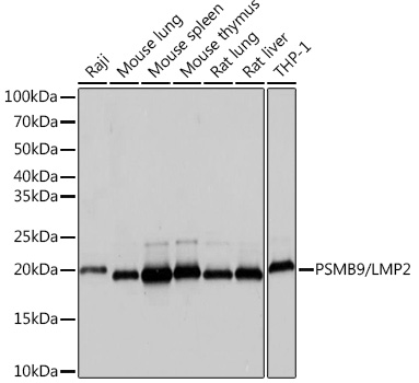
PSMB9/LMP2 (AB4663) Rabbit mAb
PSMB9/LMP2 (AB4663) Rabbit mAb

Assay Biotechnology Inc Antibodies and ELISA Kits have been rigorously validated for laboratory grade quality results. High specificity paired with high affinity for targets of interest give researchers an advantage with our products

Catalog No: M1267
Species Reactivity:Human,Mouse,Rat
Application:WB,IHC-P,ELISA
Host:Rabbit
Clonality:Monoclonal
Storage and Stability:Store at-20℃. Avoid freeze / thaw cycles.

$150
Product Details
Product Name
PSMB9/LMP2 (AB4663) Rabbit mAb
Description
The proteasome is a multicatalytic proteinase complex with a highly ordered ring-shaped 20S core structure. The core structure is composed of 4 rings of 28 non-identical subunits; 2 rings are composed of 7 alpha subunits and 2 rings are composed of 7 beta subunits. Proteasomes are distributed throughout eukaryotic cells at a high concentration and cleave peptides in an ATP/ubiquitin-dependent process in a non-lysosomal pathway. An essential function of a modified proteasome, the immunoproteasome, is the processing of class I MHC peptides. This gene encodes a member of the proteasome B-type family, also known as the T1B family, that is a 20S core beta subunit. This gene is located in the class II region of the MHC (major histocompatibility complex) . Expression of this gene is induced by gamma interferon and this gene product replaces catalytic subunit 1 (proteasome beta 6 subunit) in the immunoproteasome. Proteolytic processing is required to generate a mature subunit.
Catalog No
M1267
Species Reactivity
Human, Mouse, Rat
Clonality
Monoclonal
Host
Rabbit
Modifcation
Unmodified
Clone
AB4663
Isotype
IgG
Application
WB, IHC-P, ELISA
Application Dilutions
WB, 1:1000-1:6000 | IHC-P, 1:50-1:200 | ELISA, Recommended starting concentration is 1 μg/mL. Please optimize the concentration based on your specific assay requirements.
Immunogen
Recombinant fusion protein containing a sequence corresponding to amino acids 125 - 219 of human PSMB9/LMP2.
Specificity
This antibody detects endogenous levels of PSMB9/LMP2 protein.
Formulation
The antibody is provided in liquid form in phosphate - buffered saline with 50% glycerol, 0.05% BSA, and 0.02% sodium azide.
Purification
The antibody was purified by protein A affinity chromatography.
Storage and Stability
Store at-20℃. Avoid freeze / thaw cycles.
Gene Name
PSMB9
Gene ID
5698
Human swiss
P28065
Protein Name
PSMB9/LMP2
Synonyms
LMP2; PRAAS3; PSMB6i; RING12; beta1i; PSMB9/LMP2
Related Products