25% Off Select Antibodies and ELISA Kits
Sign In/Register 0

We use cookies, check our Privacy Policies.

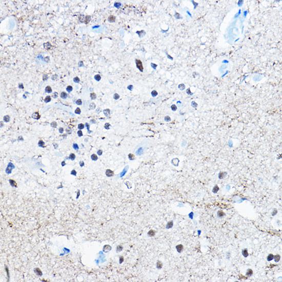
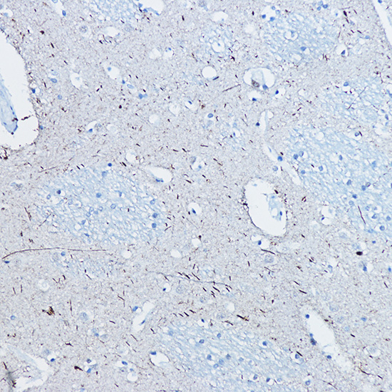
Tau (Phospho Ser396) (AB5018) Rabbit mAb
Tau (Phospho Ser396) (AB5018) Rabbit mAb

Assay Biotechnology Inc Antibodies and ELISA Kits have been rigorously validated for laboratory grade quality results. High specificity paired with high affinity for targets of interest give researchers an advantage with our products

Catalog No: M1236
Species Reactivity:Human,Mouse,Rat
Application:WB,IHC-P,ELISA
Host:Rabbit
Clonality:Monoclonal
Storage and Stability:Store at-20℃. Avoid freeze / thaw cycles.

$150
Product Details
Product Name
Tau (Phospho Ser396) (AB5018) Rabbit mAb
Description
This gene encodes the microtubule-associated protein tau (MAPT) whose transcript undergoes complex, regulated alternative splicing, giving rise to several mRNA species. MAPT transcripts are differentially expressed in the nervous system, depending on stage of neuronal maturation and neuron type. MAPT gene mutations have been associated with several neurodegenerative disorders such as Alzheimer's disease, Pick's disease, frontotemporal dementia, cortico-basal degeneration and progressive supranuclear palsy.
Catalog No
M1236
Species Reactivity
Human, Mouse, Rat
Clonality
Monoclonal
Host
Rabbit
Modifcation
Phospho S396
Clone
AB5018
Isotype
IgG
Application
WB, IHC-P, ELISA
Application Dilutions
WB, 1:500-1:2000 | IHC-P, 1:50-1:200 | ELISA, Recommended starting concentration is 1 μg/mL. Please optimize the concentration based on your specific assay requirements.
Immunogen
A synthetic phosphorylated peptide around S396 of human tau.
Specificity
The antibody detects endogenous levels of Tau protein only when phosphorylated at Ser396. The antibody does not cross-react with Tau phosphorylated at other sites.
Formulation
The antibody is provided in liquid form in phosphate - buffered saline with 50% glycerol, 0.05% BSA, and 0.02% sodium azide.
Purification
The antibody was purified by protein A affinity chromatography.
Storage and Stability
Store at-20℃. Avoid freeze / thaw cycles.
Gene Name
MAPT
Gene ID
4137
Human swiss
P10636
Protein Name
Tau (Phospho Ser396)
Synonyms
TAU; MSTD; PPND; DDPAC; MAPTL; MTBT1; MTBT2; tau-40; FTDP-17; PPP1R103; Tau-PHF6; Phospho-Tau-S396
Related Products