25% Off Select Antibodies and ELISA Kits
Sign In/Register 0

We use cookies, check our Privacy Policies.

STAT1(Phospho Ser727) (AB4954) Rabbit mAb
STAT1(Phospho Ser727) (AB4954) Rabbit mAb

Assay Biotechnology Inc Antibodies and ELISA Kits have been rigorously validated for laboratory grade quality results. High specificity paired with high affinity for targets of interest give researchers an advantage with our products

Catalog No: M1215
Species Reactivity:Human,Mouse,Rat
Application:WB,IHC-P,ELISA
Host:Rabbit
Clonality:Monoclonal
Storage and Stability:Store at-20℃. Avoid freeze / thaw cycles.

$150
Product Details
Product Name
STAT1(Phospho Ser727) (AB4954) Rabbit mAb
Description
The protein encoded by this gene is a member of the STAT protein family. In response to cytokines and growth factors, STAT family members are phosphorylated by the receptor associated kinases, and then form homo-or heterodimers that translocate to the cell nucleus where they act as transcription activators. The protein encoded by this gene can be activated by various ligands including interferon-alpha, interferon-gamma, EGF, PDGF and IL6. This protein mediates the expression of a variety of genes, which is thought to be important for cell viability in response to different cell stimuli and pathogens. The protein plays an important role in immune responses to viral, fungal and mycobacterial pathogens. Mutations in this gene are associated with Immunodeficiency 31B, 31A, and 31C.
Catalog No
M1215
Species Reactivity
Human, Mouse, Rat
Clonality
Monoclonal
Host
Rabbit
Modifcation
Phospho S727
Clone
AB4954
Isotype
IgG
Application
WB, IHC-P, ELISA
Application Dilutions
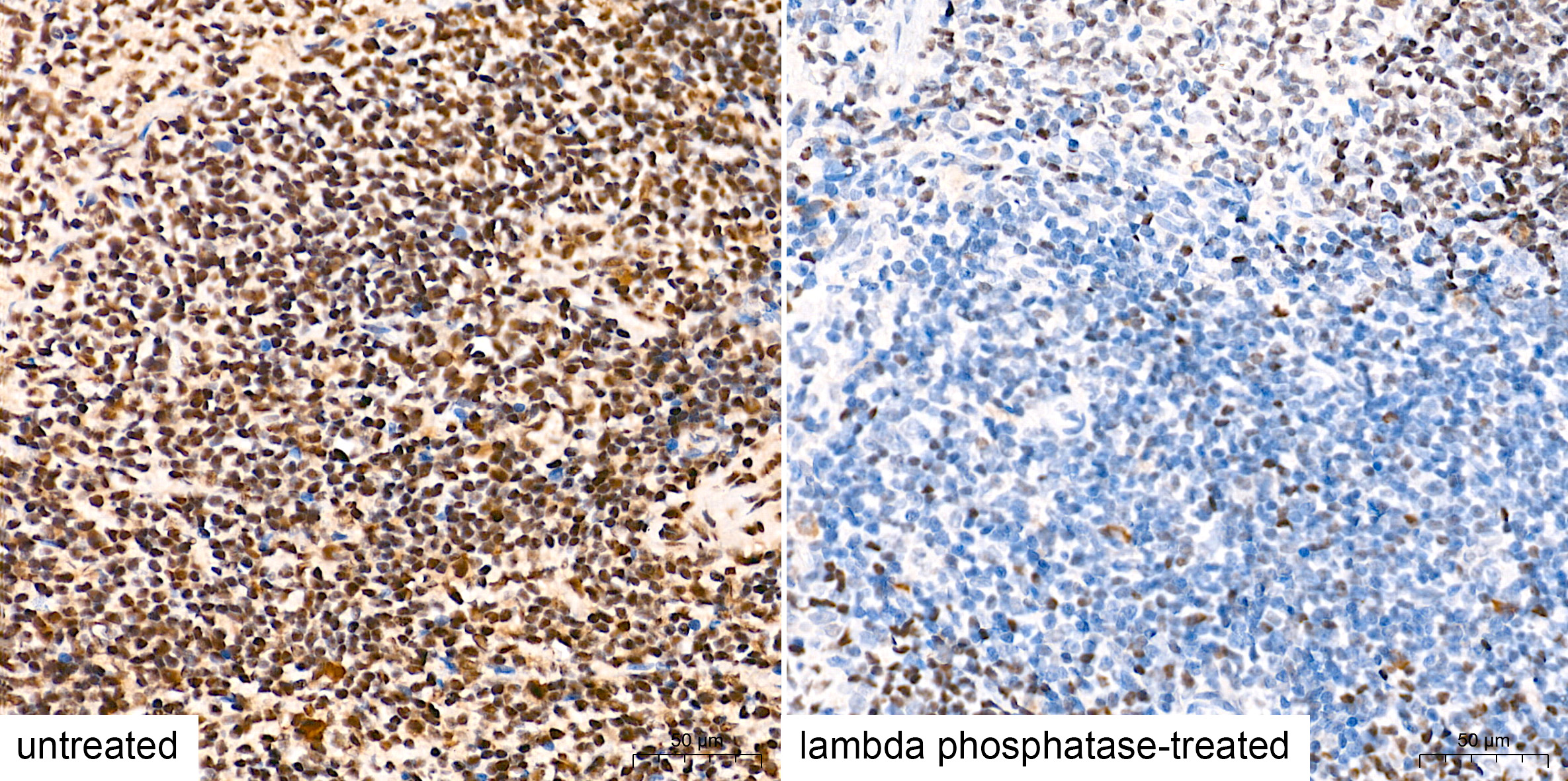
WB, 1:13000-1:26000 | IHC-P, 1:300-1:1200 | ELISA, Recommended starting concentration is 1 μg/mL. Please optimize the concentration based on your specific assay requirements.
Immunogen
A synthetic phosphorylated peptide around S727 of human STAT1.
Specificity
The antibody detects endogenous levels of STAT1 protein only when phosphorylated at Ser727. The antibody does not cross-react with STAT1 phosphorylated at other sites.
Formulation
The antibody is provided in liquid form in phosphate - buffered saline with 50% glycerol, 0.05% BSA, and 0.02% sodium azide.
Purification
The antibody was purified by protein A affinity chromatography.
Storage and Stability
Store at-20℃. Avoid freeze / thaw cycles.
Gene Name
STAT1
Gene ID
6772
Human swiss
P42224
Protein Name
STAT1(Phospho Ser727)
Synonyms
CANDF7; IMD31A; IMD31B; IMD31C; ISGF-3; STAT91; Phospho-STAT1-S727
Related Products