25% Off Select Antibodies and ELISA Kits
Sign In/Register 0

We use cookies, check our Privacy Policies.

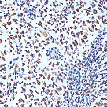
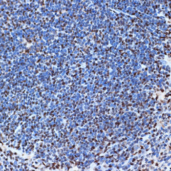
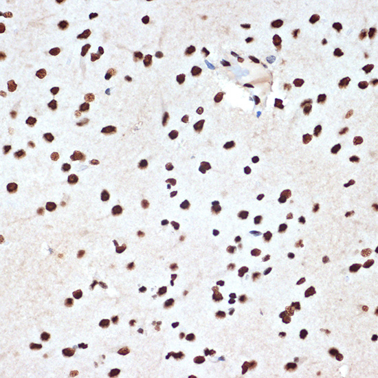
SET/TAF1 (AB4856) Rabbit mAb
SET/TAF1 (AB4856) Rabbit mAb

Assay Biotechnology Inc Antibodies and ELISA Kits have been rigorously validated for laboratory grade quality results. High specificity paired with high affinity for targets of interest give researchers an advantage with our products

Catalog No: M1162
Species Reactivity:Human,Mouse,Rat
Application:WB,IHC-P,IF/ICC,IP,ELISA
Host:Rabbit
Clonality:Monoclonal
Storage and Stability:Store at-20℃. Avoid freeze / thaw cycles.

$150
Product Details
Product Name
SET/TAF1 (AB4856) Rabbit mAb
Description
The protein encoded by this gene inhibits acetylation of nucleosomes, especially histone H4, by histone acetylases (HAT) . This inhibition is most likely accomplished by masking histone lysines from being acetylated, and the consequence is to silence HAT-dependent transcription. The encoded protein is part of a complex localized to the endoplasmic reticulum but is found in the nucleus and inhibits apoptosis following attack by cytotoxic T lymphocytes. This protein can also enhance DNA replication of the adenovirus genome. Several transcript variants encoding different isoforms have been found for this gene.
Catalog No
M1162
Species Reactivity
Human, Mouse, Rat
Clonality
Monoclonal
Host
Rabbit
Modifcation
Unmodified
Clone
AB4856
Isotype
IgG
Application
WB, IHC-P, IF/ICC, IP, ELISA
Application Dilutions
WB, 1:500-1:2000 | IHC-P, 1:50-1:200 | IF/ICC, 1:50-1:200 | IP, 0. 5μg-4μg antibody for 200μg-400μg extracts of whole cells | ELISA, Recommended starting concentration is 1 μg/mL. Please optimize the concentration based on your specific assay requirements.
Immunogen
Recombinant fusion protein containing a sequence corresponding to amino acids 200 - 290 of human SET/TAF1 (Q01105).
Specificity
This antibody detects endogenous levels of SET/TAF1 protein.
Formulation
The antibody is provided in liquid form in phosphate - buffered saline with 50% glycerol, 0.05% BSA, and 0.02% sodium azide.
Purification
The antibody was purified by protein A affinity chromatography.
Storage and Stability
Store at-20℃. Avoid freeze / thaw cycles.
Gene Name
SET
Gene ID
6418
Human swiss
Q01105
Protein Name
SET/TAF1
Synonyms
2PP2A; IGAAD; MRD58; TAF-I; I2PP2A; IPP2A2; PHAPII; TAF-IBETA; SET/TAF1
Related Products