25% Off Select Antibodies and ELISA Kits
Sign In/Register 0

We use cookies, check our Privacy Policies.

NME2/NM23B (AB4352) Rabbit mAb
NME2/NM23B (AB4352) Rabbit mAb

Assay Biotechnology Inc Antibodies and ELISA Kits have been rigorously validated for laboratory grade quality results. High specificity paired with high affinity for targets of interest give researchers an advantage with our products

Catalog No: M1124
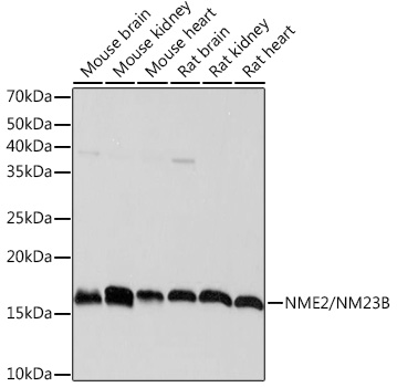
Species Reactivity:Mouse,Rat
Application:WB,ELISA
Host:Rabbit
Clonality:Monoclonal
Storage and Stability:Store at-20℃. Avoid freeze / thaw cycles.

$150
Product Details
Product Name
NME2/NM23B (AB4352) Rabbit mAb
Description
Nucleoside diphosphate kinase (NDK) exists as a hexamer composed of 'A' (encoded by NME1) and 'B' (encoded by this gene) isoforms. Multiple alternatively spliced transcript variants have been found for this gene. Read-through transcription from the neighboring upstream gene (NME1) generates naturally-occurring transcripts (NME1-NME2) that encode a fusion protein comprised of sequence sharing identity with each individual gene product.
Catalog No
M1124
Species Reactivity
Mouse, Rat
Clonality
Monoclonal
Host
Rabbit
Modifcation
Unmodified
Clone
AB4352
Isotype
IgG
Application
WB, ELISA
Application Dilutions
WB, 1:500-1:2000 | ELISA, Recommended starting concentration is 1 μg/mL. Please optimize the concentration based on your specific assay requirements.
Immunogen
A synthetic peptide corresponding to a sequence within amino acids 50 - 152 of human NME2/NM23B.
Specificity
This antibody detects endogenous levels of NME2/NM23B protein.
Formulation
The antibody is provided in liquid form in phosphate - buffered saline with 50% glycerol, 0.05% BSA, and 0.02% sodium azide.
Purification
The antibody was purified by protein A affinity chromatography.
Storage and Stability
Store at-20℃. Avoid freeze / thaw cycles.
Gene Name
NME2
Gene ID
4831
Human swiss
P22392
Protein Name
NME2/NM23B
Synonyms
PUF; NDKB; NDPKB; NM23B; NDPK-B; NM23-H2; NME2/NM23B
Related Products