25% Off Select Antibodies and ELISA Kits
Sign In/Register 0

We use cookies, check our Privacy Policies.

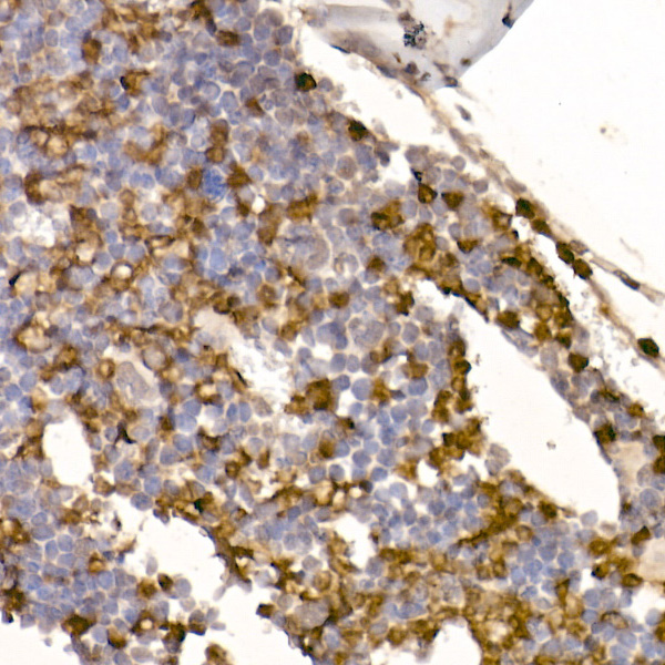
Neutrophil Elastase (ELANE) (AB4327) Rabbit mAb
Neutrophil Elastase (ELANE) (AB4327) Rabbit mAb

Assay Biotechnology Inc Antibodies and ELISA Kits have been rigorously validated for laboratory grade quality results. High specificity paired with high affinity for targets of interest give researchers an advantage with our products

Catalog No: M1092
Species Reactivity:Human,Mouse
Application:WB,IHC-P,IF/ICC,IP,ELISA
Host:Rabbit
Clonality:Monoclonal
Storage and Stability:Store at-20℃. Avoid freeze / thaw cycles.

$150
Product Details
Product Name
Neutrophil Elastase (ELANE) (AB4327) Rabbit mAb
Description
Elastases form a subfamily of serine proteases that hydrolyze many proteins in addition to elastin. Humans have six elastase genes which encode structurally similar proteins. The encoded preproprotein is proteolytically processed to generate the active protease. Following activation, this protease hydrolyzes proteins within specialized neutrophil lysosomes, called azurophil granules, as well as proteins of the extracellular matrix. The enzyme may play a role in degenerative and inflammatory diseases through proteolysis of collagen-IV and elastin. This protein also degrades the outer membrane protein A (OmpA) of E. coli as well as the virulence factors of such bacteria as Shigella, Salmonella and Yersinia. Mutations in this gene are associated with cyclic neutropenia and severe congenital neutropenia (SCN) . This gene is present in a gene cluster on chromosome 19.
Catalog No
M1092
Species Reactivity
Human, Mouse
Clonality
Monoclonal
Host
Rabbit
Modifcation
Unmodified
Clone
AB4327
Isotype
IgG
Application
WB, IHC-P, IF/ICC, IP, ELISA
Application Dilutions
WB, 1:1000-1:2000 | IHC-P, 1:50-1:200 | IF/ICC, 1:50-1:200 | IP, 0. 5μg-4μg antibody for 200μg-400μg extracts of whole cells | ELISA, Recommended starting concentration is 1 μg/mL. Please optimize the concentration based on your specific assay requirements.
Immunogen
A synthetic peptide corresponding to a sequence within amino acids 167 - 267 of human Neutrophil Elastase (ELANE).
Specificity
This antibody detects endogenous levels of Neutrophil Elastase (ELANE) protein.
Formulation
The antibody is provided in liquid form in phosphate - buffered saline with 50% glycerol, 0.05% BSA, and 0.02% sodium azide.
Purification
The antibody was purified by protein A affinity chromatography.
Storage and Stability
Store at-20℃. Avoid freeze / thaw cycles.
Gene Name
ELANE
Gene ID
1991
Human swiss
P08246
Protein Name
Neutrophil Elastase (ELANE)
Synonyms
GE; NE; HLE; HNE; ELA2; SCN1; PMN-E; Neutrophil Elastase (ELANE)
Related Products