25% Off Select Antibodies and ELISA Kits
Sign In/Register 0

We use cookies, check our Privacy Policies.

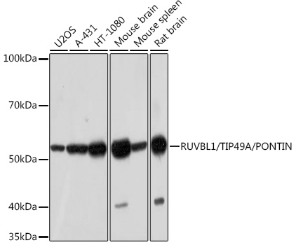
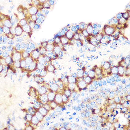
RUVBL1/TIP49A/PONTIN (AB4807) Rabbit mAb
RUVBL1/TIP49A/PONTIN (AB4807) Rabbit mAb

Assay Biotechnology Inc Antibodies and ELISA Kits have been rigorously validated for laboratory grade quality results. High specificity paired with high affinity for targets of interest give researchers an advantage with our products

Catalog No: M1027
Species Reactivity:Human,Mouse,Rat
Application:WB,IHC-P,ELISA,ChIP
Host:Rabbit
Clonality:Monoclonal
Storage and Stability:Store at-20℃. Avoid freeze / thaw cycles.

$150
Product Details
Product Name
RUVBL1/TIP49A/PONTIN (AB4807) Rabbit mAb
Description
This gene encodes a protein that has both DNA-dependent ATPase and DNA helicase activities and belongs to the ATPases associated with diverse cellular activities (AAA+) protein family. The encoded protein associates with several multisubunit transcriptional complexes and with protein complexes involved in both ATP-dependent remodeling and histone modification. Alternate splicing results in multiple transcript variants.
Catalog No
M1027
Species Reactivity
Human, Mouse, Rat
Clonality
Monoclonal
Host
Rabbit
Modifcation
Unmodified
Clone
AB4807
Isotype
IgG
Application
WB, IHC-P, ELISA, ChIP
Application Dilutions
WB, 1:500-1:2000 | IHC-P, 1:50-1:200 | ChIP, 5μg antibody for 10μg-15μg of Chromatin | ELISA, Recommended starting concentration is 1 μg/mL. Please optimize the concentration based on your specific assay requirements.
Immunogen
A synthetic peptide corresponding to a sequence within amino acids 350 - 456 of human RUVBL1/TIP49A/PONTIN (Q9Y265).
Specificity
This antibody detects endogenous levels of RUVBL1/TIP49A/PONTIN protein.
Formulation
The antibody is provided in liquid form in phosphate - buffered saline with 50% glycerol, 0.05% BSA, and 0.02% sodium azide.
Purification
The antibody was purified by protein A affinity chromatography.
Storage and Stability
Store at-20℃. Avoid freeze / thaw cycles.
Gene Name
RUVBL1
Gene ID
8607
Human swiss
Q9Y265
Protein Name
RUVBL1/TIP49A/PONTIN
Synonyms
RVB1; TIH1; ECP54; TIP49; ECP-54; INO80H; NMP238; PONTIN; TIP49A; NMP 238; Pontin52; RUVBL1/TIP49A/PONTIN
Related Products