25% Off Select Antibodies and ELISA Kits
Sign In/Register 0

We use cookies, check our Privacy Policies.

CRMP2/DPYSL2 (AB3169) Rabbit mAb
CRMP2/DPYSL2 (AB3169) Rabbit mAb

Assay Biotechnology Inc Antibodies and ELISA Kits have been rigorously validated for laboratory grade quality results. High specificity paired with high affinity for targets of interest give researchers an advantage with our products

Catalog No: M0954
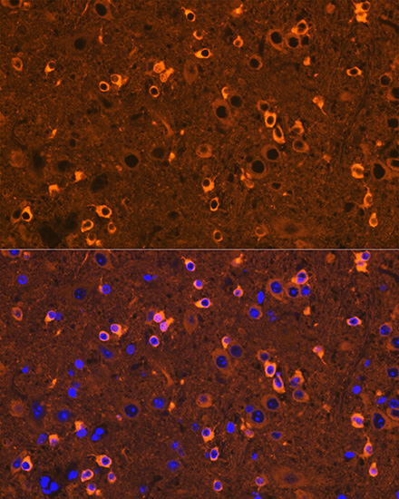
Species Reactivity:Human,Mouse,Rat
Application:WB,IF/ICC,ELISA
Host:Rabbit
Clonality:Monoclonal
Storage and Stability:Store at-20℃. Avoid freeze / thaw cycles.

$150
Product Details
Product Name
CRMP2/DPYSL2 (AB3169) Rabbit mAb
Description
This gene encodes a member of the collapsin response mediator protein family. Collapsin response mediator proteins form homo-and hetero-tetramers and facilitate neuron guidance, growth and polarity. The encoded protein promotes microtubule assembly and is required for Sema3A-mediated growth cone collapse, and also plays a role in synaptic signaling through interactions with calcium channels. This gene has been implicated in multiple neurological disorders, and hyperphosphorylation of the encoded protein may play a key role in the development of Alzheimer's disease. Alternatively spliced transcript variants encoding multiple isoforms have been observed for this gene.
Catalog No
M0954
Species Reactivity
Human, Mouse, Rat
Clonality
Monoclonal
Host
Rabbit
Modifcation
Unmodified
Clone
AB3169
Isotype
IgG
Application
WB, IF/ICC, ELISA
Application Dilutions
WB, 1:1000-1:5000 | IF/ICC, 1:50-1:200 | ELISA, Recommended starting concentration is 1 μg/mL. Please optimize the concentration based on your specific assay requirements.
Immunogen
A synthetic peptide corresponding to a sequence within amino acids 473 - 572 of human CRMP2/DPYSL2 (Q16555).
Specificity
This antibody detects endogenous levels of CRMP2/DPYSL2 protein.
Formulation
The antibody is provided in liquid form in phosphate - buffered saline with 50% glycerol, 0.05% BSA, and 0.02% sodium azide.
Purification
The antibody was purified by protein A affinity chromatography.
Storage and Stability
Store at-20℃. Avoid freeze / thaw cycles.
Gene Name
DPYSL2
Gene ID
1808
Human swiss
Q16555
Protein Name
CRMP2/DPYSL2
Synonyms
DRP2; N2A3; CRMP2; DRP-2; ULIP2; CRMP-2; DHPRP2; ULIP-2; L2
Related Products