25% Off Select Antibodies and ELISA Kits
Sign In/Register 0

We use cookies, check our Privacy Policies.

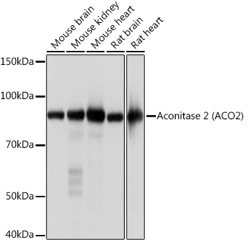
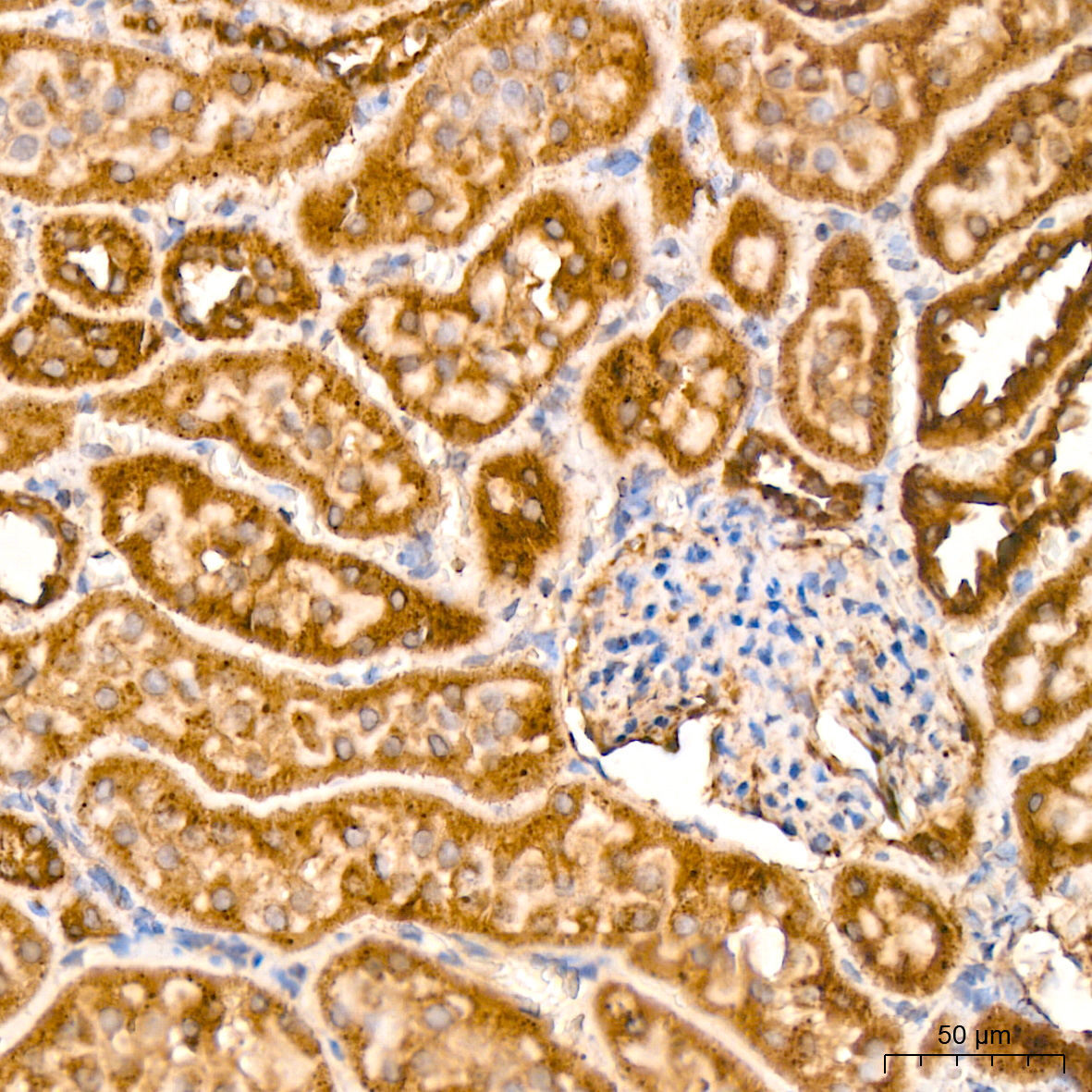
Aconitase 2 (ACO2) (AB2531) Rabbit mAb
Aconitase 2 (ACO2) (AB2531) Rabbit mAb

Assay Biotechnology Inc Antibodies and ELISA Kits have been rigorously validated for laboratory grade quality results. High specificity paired with high affinity for targets of interest give researchers an advantage with our products

Catalog No: M0927
Species Reactivity:Human,Mouse,Rat
Application:WB,IHC-P,IF/ICC,ELISA
Host:Rabbit
Clonality:Monoclonal
Storage and Stability:Store at-20℃. Avoid freeze / thaw cycles.

$150
Product Details
Product Name
Aconitase 2 (ACO2) (AB2531) Rabbit mAb
Description
The protein encoded by this gene belongs to the aconitase/IPM isomerase family. It is an enzyme that catalyzes the interconversion of citrate to isocitrate via cis-aconitate in the second step of the TCA cycle. This protein is encoded in the nucleus and functions in the mitochondrion. It was found to be one of the mitochondrial matrix proteins that are preferentially degraded by the serine protease 15(PRSS15) , also known as Lon protease, after oxidative modification.
Catalog No
M0927
Species Reactivity
Human, Mouse, Rat
Clonality
Monoclonal
Host
Rabbit
Modifcation
Unmodified
Clone
AB2531
Isotype
IgG
Application
WB, IHC-P, IF/ICC, ELISA
Application Dilutions
WB, 1:1000-1:6000 | IHC-P, 1:200-1:800 | IF/ICC, 1:100-1:400 | ELISA, Recommended starting concentration is 1 μg/mL. Please optimize the concentration based on your specific assay requirements.
Immunogen
Recombinant fusion protein containing a sequence corresponding to amino acids 1 - 150 of human Aconitase 2 (ACO2) (Q99798).
Specificity
This antibody detects endogenous levels of Aconitase 2 (ACO2) protein.
Formulation
The antibody is provided in liquid form in phosphate - buffered saline with 50% glycerol, 0.05% BSA, and 0.02% sodium azide.
Purification
The antibody was purified by protein A affinity chromatography.
Storage and Stability
Store at-20℃. Avoid freeze / thaw cycles.
Gene Name
ACO2
Gene ID
50
Human swiss
Q99798
Protein Name
Aconitase 2 (ACO2)
Synonyms
ICRD; OCA8; OPA9; ACONM; HEL-S-284; Aconitase 2 (ACO2)
Related Products