25% Off Select Antibodies and ELISA Kits
Sign In/Register 0

We use cookies, check our Privacy Policies.

Peroxiredoxin 6 (AB4513) Rabbit mAb
Peroxiredoxin 6 (AB4513) Rabbit mAb

Assay Biotechnology Inc Antibodies and ELISA Kits have been rigorously validated for laboratory grade quality results. High specificity paired with high affinity for targets of interest give researchers an advantage with our products

Catalog No: M0843
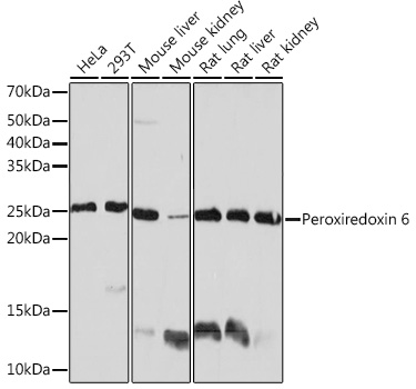
Species Reactivity:Human,Mouse,Rat
Application:WB,ELISA
Host:Rabbit
Clonality:Monoclonal
Storage and Stability:Store at-20℃. Avoid freeze / thaw cycles.

$150
Product Details
Product Name
Peroxiredoxin 6 (AB4513) Rabbit mAb
Description
The protein encoded by this gene is a member of the thiol-specific antioxidant protein family. This protein is a bifunctional enzyme with two distinct active sites. It is involved in redox regulation of the cell; it can reduce H(2) O(2) and short chain organic, fatty acid, and phospholipid hydroperoxides. It may play a role in the regulation of phospholipid turnover as well as in protection against oxidative injury.
Catalog No
M0843
Species Reactivity
Human, Mouse, Rat
Clonality
Monoclonal
Host
Rabbit
Modifcation
Unmodified
Clone
AB4513
Isotype
IgG
Application
WB, ELISA
Application Dilutions
WB, 1:500-1:1000 | ELISA, Recommended starting concentration is 1 μg/mL. Please optimize the concentration based on your specific assay requirements.
Immunogen
A synthetic peptide corresponding to a sequence within amino acids 125 - 224 of human Peroxiredoxin 6.
Specificity
This antibody detects endogenous levels of Peroxiredoxin 6 protein.
Formulation
The antibody is provided in liquid form in phosphate - buffered saline with 50% glycerol, 0.05% BSA, and 0.02% sodium azide.
Purification
The antibody was purified by protein A affinity chromatography.
Storage and Stability
Store at-20℃. Avoid freeze / thaw cycles.
Gene Name
PRDX6
Gene ID
9588
Human swiss
P30041
Protein Name
Peroxiredoxin 6
Synonyms
PRX; p29; AOP2; 1-Cys; NSGPx; aiPLA2; LPCAT-5; HEL-S-128m; Peroxiredoxin 6
Related Products