25% Off Select Antibodies and ELISA Kits
Sign In/Register 0

We use cookies, check our Privacy Policies.

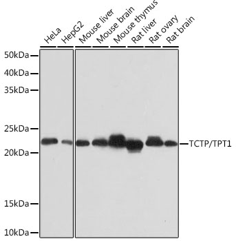
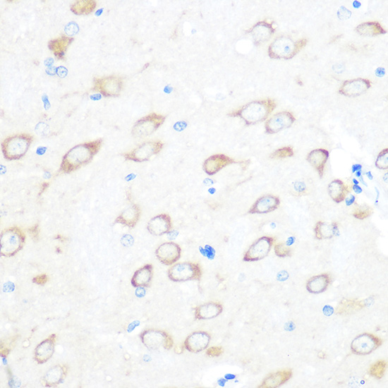
TCTP/TPT1 (AB5038) Rabbit mAb
TCTP/TPT1 (AB5038) Rabbit mAb

Assay Biotechnology Inc Antibodies and ELISA Kits have been rigorously validated for laboratory grade quality results. High specificity paired with high affinity for targets of interest give researchers an advantage with our products

Catalog No: M0710
Species Reactivity:Human,Mouse,Rat
Application:WB,IHC-P,ELISA
Host:Rabbit
Clonality:Monoclonal
Storage and Stability:Store at-20℃. Avoid freeze / thaw cycles.

$150
Product Details
Product Name
TCTP/TPT1 (AB5038) Rabbit mAb
Description
This gene encodes a protein that is a regulator of cellular growth and proliferation. Its mRNA is highly structured and contains an oligopyrimidine tract (5'-TOP) in its 5' untranslated region that functions to repress its translation under quiescent conditions. The encoded protein is involved in a variety of cellular pathways, including apoptosis, protein synthesis and cell division. It binds to and stabilizes microtubules, and removal of this protein through phosphorylation is required for progression through mitotic and meiotic cell divisions. This gene is known to play a role in carcinogenesis, and is upregulated in some cancer cells. Alternative splicing results in multiple transcript variants encoding different isoforms.
Catalog No
M0710
Species Reactivity
Human, Mouse, Rat
Clonality
Monoclonal
Host
Rabbit
Modifcation
Unmodified
Clone
AB5038
Isotype
IgG
Application
WB, IHC-P, ELISA
Application Dilutions
WB, 1:500-1:2000 | IHC-P, 1:50-1:200 | ELISA, Recommended starting concentration is 1 μg/mL. Please optimize the concentration based on your specific assay requirements.
Immunogen
A synthetic peptide corresponding to a sequence within amino acids 1 - 100 of human TCTP/TPT1.
Specificity
This antibody detects endogenous levels of TCTP/TPT1 protein.
Formulation
The antibody is provided in liquid form in phosphate - buffered saline with 50% glycerol, 0.05% BSA, and 0.02% sodium azide.
Purification
The antibody was purified by protein A affinity chromatography.
Storage and Stability
Store at-20℃. Avoid freeze / thaw cycles.
Gene Name
TPT1
Gene ID
7178
Human swiss
P13693
Protein Name
TCTP/TPT1
Synonyms
HRF; p02; p23; TCTP; TCTP/TPT1
Related Products