25% Off Select Antibodies and ELISA Kits
Sign In/Register 0

We use cookies, check our Privacy Policies.

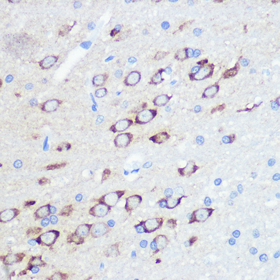
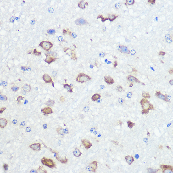
GluR2/GRIA2 (AB3608) Rabbit mAb
GluR2/GRIA2 (AB3608) Rabbit mAb

Assay Biotechnology Inc Antibodies and ELISA Kits have been rigorously validated for laboratory grade quality results. High specificity paired with high affinity for targets of interest give researchers an advantage with our products

Catalog No: M0612
Species Reactivity:Human,Mouse,Rat
Application:WB,IHC-P,IF/ICC,ELISA
Host:Rabbit
Clonality:Monoclonal
Storage and Stability:Store at-20℃. Avoid freeze / thaw cycles.

$150
Product Details
Product Name
GluR2/GRIA2 (AB3608) Rabbit mAb
Description
Glutamate receptors are the predominant excitatory neurotransmitter receptors in the mammalian brain and are activated in a variety of normal neurophysiologic processes. This gene product belongs to a family of glutamate receptors that are sensitive to alpha-amino-3-hydroxy-5-methyl-4-isoxazole propionate (AMPA) , and function as ligand-activated cation channels. These channels are assembled from 4 related subunits, GRIA1-4. The subunit encoded by this gene (GRIA2) is subject to RNA editing (CAG->CGG; Q->R) within the second transmembrane domain, which is thought to render the channel impermeable to Ca(2+) . Human and animal studies suggest that pre-mRNA editing is essential for brain function, and defective GRIA2 RNA editing at the Q/R site may be relevant to amyotrophic lateral sclerosis (ALS) etiology. Alternative splicing, resulting in transcript variants encoding different isoforms, (including the flip and flop isoforms that vary in their signal transduction properties) , has been noted for this gene.
Catalog No
M0612
Species Reactivity
Human, Mouse, Rat
Clonality
Monoclonal
Host
Rabbit
Modifcation
Unmodified
Clone
AB3608
Isotype
IgG
Application
WB, IHC-P, IF/ICC, ELISA
Application Dilutions
WB, 1:1000-1:6000 | IHC-P, 1:100-1:800 | IF/ICC, 1:100-1:1000 | ELISA, Recommended starting concentration is 1 μg/mL. Please optimize the concentration based on your specific assay requirements.
Immunogen
A synthetic peptide corresponding to a sequence within amino acids 150 - 250 of human GluR2/GRIA2.
Specificity
This antibody detects endogenous levels of GluR2/GRIA2 protein.
Formulation
The antibody is provided in liquid form in phosphate - buffered saline with 50% glycerol, 0.05% BSA, and 0.02% sodium azide.
Purification
The antibody was purified by protein A affinity chromatography.
Storage and Stability
Store at-20℃. Avoid freeze / thaw cycles.
Gene Name
GRIA2
Gene ID
2891
Human swiss
P42262
Protein Name
GluR2/GRIA2
Synonyms
GLUR2; GLURB; GluA2; HBGR2; NEDLIB; gluR-2; gluR-B; GluR-K2; GluR2/GRIA2
Related Products