25% Off Select Antibodies and ELISA Kits
Sign In/Register 0

We use cookies, check our Privacy Policies.

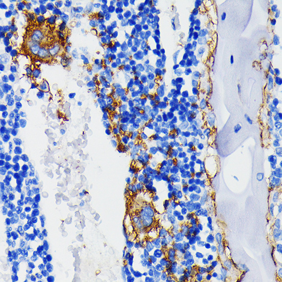
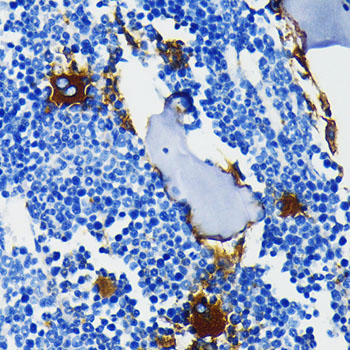
Integrin beta 3 (ITGB3/CD61) (AB3948) Rabbit mAb
Integrin beta 3 (ITGB3/CD61) (AB3948) Rabbit mAb

Assay Biotechnology Inc Antibodies and ELISA Kits have been rigorously validated for laboratory grade quality results. High specificity paired with high affinity for targets of interest give researchers an advantage with our products

Catalog No: M0555
Species Reactivity:Human,Mouse,Rat
Application:WB,IHC-P,IP,FC (intra) ,ELISA
Host:Rabbit
Clonality:Monoclonal
Storage and Stability:Store at-20℃. Avoid freeze / thaw cycles.

$150
Product Details
Product Name
Integrin beta 3 (ITGB3/CD61) (AB3948) Rabbit mAb
Description
The ITGB3 protein product is the integrin beta chain beta 3. Integrins are integral cell-surface proteins composed of an alpha chain and a beta chain. A given chain may combine with multiple partners resulting in different integrins. Integrin beta 3 is found along with the alpha IIb chain in platelets. Integrins are known to participate in cell adhesion as well as cell-surface mediated signalling.
Catalog No
M0555
Species Reactivity
Human, Mouse, Rat
Clonality
Monoclonal
Host
Rabbit
Modifcation
Unmodified
Clone
AB3948
Isotype
IgG
Application
WB, IHC-P, IP, FC (intra) , ELISA
Application Dilutions
WB, 1:1000-1:2000 | IHC-P, 1:100-1:1000 | IP, 0. 5μg-4μg antibody for 200μg-400μg extracts of whole cells | FC (intra) , 1:50-1:200 | ELISA, Recommended starting concentration is 1 μg/mL. Please optimize the concentration based on your specific assay requirements.
Immunogen
A synthetic peptide corresponding to a sequence within amino acids 689 - 788 of human Integrin beta 3 (ITGB3/CD61).
Specificity
This antibody detects endogenous levels of Integrin beta 3 (ITGB3/CD61) protein.
Formulation
The antibody is provided in liquid form in phosphate - buffered saline with 50% glycerol, 0.05% BSA, and 0.02% sodium azide.
Purification
The antibody was purified by protein A affinity chromatography.
Storage and Stability
Store at-20℃. Avoid freeze / thaw cycles.
Gene Name
ITGB3
Gene ID
3690
Human swiss
P05106
Protein Name
Integrin beta 3 (ITGB3/CD61)
Synonyms
GT; GT2; CD61; GP3A; BDPLT2; GPIIIa; BDPLT16; BDPLT24; Integrin beta 3 (ITGB3/CD61)
Related Products