25% Off Select Antibodies and ELISA Kits
Sign In/Register 0

We use cookies, check our Privacy Policies.

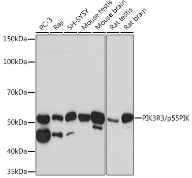
PIK3R3/p55PIK (AB4540) Rabbit mAb
PIK3R3/p55PIK (AB4540) Rabbit mAb

Assay Biotechnology Inc Antibodies and ELISA Kits have been rigorously validated for laboratory grade quality results. High specificity paired with high affinity for targets of interest give researchers an advantage with our products

Catalog No: M0478
Species Reactivity:Human,Mouse,Rat
Application:WB,ELISA
Host:Rabbit
Clonality:Monoclonal
Storage and Stability:Store at-20℃. Avoid freeze / thaw cycles.

$150
Product Details
Product Name
PIK3R3/p55PIK (AB4540) Rabbit mAb
Description
Phosphatidylinositol 3-kinase (PI3K) phosphorylates phosphatidylinositol and similar compounds, which then serve as second messengers in growth signaling pathways. PI3K is composed of a catalytic and a regulatory subunit. The protein encoded by this gene represents a regulatory subunit of PI3K. The encoded protein contains two SH2 domains through which it binds activated protein tyrosine kinases to regulate their activity.
Catalog No
M0478
Species Reactivity
Human, Mouse, Rat
Clonality
Monoclonal
Host
Rabbit
Modifcation
Unmodified
Clone
AB4540
Isotype
IgG
Application
WB, ELISA
Application Dilutions
WB, 1:500-1:2000 | ELISA, Recommended starting concentration is 1 μg/mL. Please optimize the concentration based on your specific assay requirements.
Immunogen
A synthetic peptide corresponding to a sequence within amino acids 362 - 461 of human PIK3R3/p55PIK (Q92569).
Specificity
This antibody detects endogenous levels of PIK3R3/p55PIK protein.
Formulation
The antibody is provided in liquid form in phosphate - buffered saline with 50% glycerol, 0.05% BSA, and 0.02% sodium azide.
Purification
The antibody was purified by protein A affinity chromatography.
Storage and Stability
Store at-20℃. Avoid freeze / thaw cycles.
Gene Name
PIK3R3
Gene ID
8503
Human swiss
Q92569
Protein Name
PIK3R3/p55PIK
Synonyms
p55; p55PIK; p55-GAMMA; PIK3R3/p55PIK
Related Products