25% Off Select Antibodies and ELISA Kits
Sign In/Register 0

We use cookies, check our Privacy Policies.

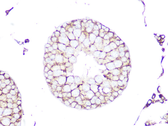
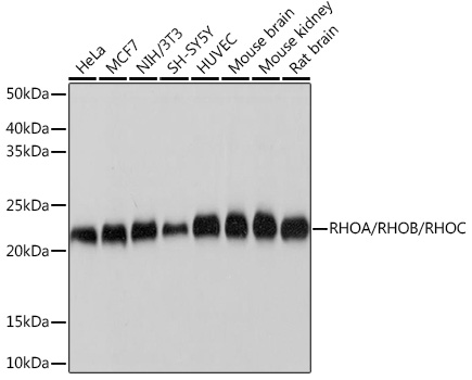
RHOA/RHOB/RHOC (AB4760) Rabbit mAb
RHOA/RHOB/RHOC (AB4760) Rabbit mAb

Assay Biotechnology Inc Antibodies and ELISA Kits have been rigorously validated for laboratory grade quality results. High specificity paired with high affinity for targets of interest give researchers an advantage with our products

Catalog No: M0451
Species Reactivity:Human,Mouse,Rat
Application:WB,IHC-P,IF/ICC,ELISA
Host:Rabbit
Clonality:Monoclonal
Storage and Stability:Store at-20℃. Avoid freeze / thaw cycles.

$150
Product Details
Product Name
RHOA/RHOB/RHOC (AB4760) Rabbit mAb
Description
This gene encodes a member of the Rho family of small GTPases, which cycle between inactive GDP-bound and active GTP-bound states and function as molecular switches in signal transduction cascades. Rho proteins promote reorganization of the actin cytoskeleton and regulate cell shape, attachment, and motility. The protein encoded by this gene is prenylated at its C-terminus, and localizes to the cytoplasm and plasma membrane. It is thought to be important in cell locomotion. Overexpression of this gene is associated with tumor cell proliferation and metastasis. Multiple alternatively spliced variants, encoding the same protein, have been identified. [provided by RefSeq, Jul 2008]
Catalog No
M0451
Species Reactivity
Human, Mouse, Rat
Clonality
Monoclonal
Host
Rabbit
Modifcation
Unmodified
Clone
AB4760
Isotype
IgG
Application
WB, IHC-P, IF/ICC, ELISA
Application Dilutions
WB, 1:500-1:1000 | IHC-P, 1:50-1:200 | IF/ICC, 1:50-1:200 | ELISA, Recommended starting concentration is 1 μg/mL. Please optimize the concentration based on your specific assay requirements.
Immunogen
Recombinant fusion protein containing a sequence corresponding to amino acids 1 - 193 of human RHOA/RHOB/RHOC.
Specificity
This antibody detects endogenous levels of RHOA/RHOB/RHOC protein.
Formulation
The antibody is provided in liquid form in phosphate - buffered saline with 50% glycerol, 0.05% BSA, and 0.02% sodium azide.
Purification
The antibody was purified by protein A affinity chromatography.
Storage and Stability
Store at-20℃. Avoid freeze / thaw cycles.
Gene Name
RHOA/RHOB/RHOC
Gene ID
389; 387; 388
Human swiss
Q16695; P68431
Protein Name
RHOA/RHOB/RHOC
Synonyms
ARH9; ARHC; H9; RHOH9; RHOA/RHOB/RHOC
Related Products