25% Off Select Antibodies and ELISA Kits
Sign In/Register 0

We use cookies, check our Privacy Policies.

JunB (AB3993) Rabbit mAb
JunB (AB3993) Rabbit mAb

Assay Biotechnology Inc Antibodies and ELISA Kits have been rigorously validated for laboratory grade quality results. High specificity paired with high affinity for targets of interest give researchers an advantage with our products

Catalog No: M0447
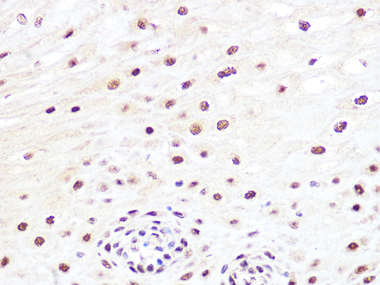
Species Reactivity:Human
Application:WB,IHC-P,ELISA
Host:Rabbit
Clonality:Monoclonal
Storage and Stability:Store at-20℃. Avoid freeze / thaw cycles.

$150
Product Details
Product Name
JunB (AB3993) Rabbit mAb
Description
Enables sequence-specific double-stranded DNA binding activity. Involved in positive regulation of transcription by RNA polymerase II. Located in nucleoplasm. Part of transcription factor AP-1 complex. Biomarker of Hodgkin's lymphoma and anaplastic large cell lymphoma.
Catalog No
M0447
Species Reactivity
Human
Clonality
Monoclonal
Host
Rabbit
Modifcation
Unmodified
Clone
AB3993
Isotype
IgG
Application
WB, IHC-P, ELISA
Application Dilutions
WB, 1:500-1:1000 | IHC-P, 1:50-1:200 | ELISA, Recommended starting concentration is 1 μg/mL. Please optimize the concentration based on your specific assay requirements.
Immunogen
A synthetic peptide corresponding to a sequence within amino acids 1 - 100 of human JunB.
Specificity
This antibody detects endogenous levels of JunB protein.
Formulation
The antibody is provided in liquid form in phosphate - buffered saline with 50% glycerol, 0.05% BSA, and 0.02% sodium azide.
Purification
The antibody was purified by protein A affinity chromatography.
Storage and Stability
Store at-20℃. Avoid freeze / thaw cycles.
Gene Name
JUNB
Gene ID
3726
Human swiss
P17275
Protein Name
JunB
Synonyms
AP-1; JunB
Related Products