25% Off Select Antibodies and ELISA Kits
Sign In/Register 0

We use cookies, check our Privacy Policies.

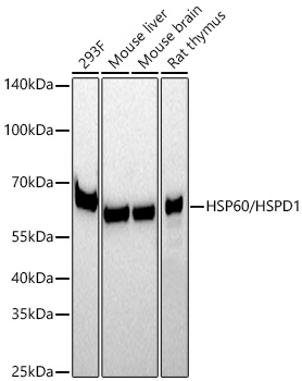
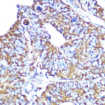
HSP60/HSPD1 (AB3823) Rabbit mAb
HSP60/HSPD1 (AB3823) Rabbit mAb

Assay Biotechnology Inc Antibodies and ELISA Kits have been rigorously validated for laboratory grade quality results. High specificity paired with high affinity for targets of interest give researchers an advantage with our products

Catalog No: M0442
Species Reactivity:Human,Mouse,Rat,Wheat
Application:WB,IHC-P,IF/ICC,ELISA
Host:Rabbit
Clonality:Monoclonal
Storage and Stability:Store at-20℃. Avoid freeze / thaw cycles.

$150
Product Details
Product Name
HSP60/HSPD1 (AB3823) Rabbit mAb
Description
This gene encodes a member of the chaperonin family. The encoded mitochondrial protein may function as a signaling molecule in the innate immune system. This protein is essential for the folding and assembly of newly imported proteins in the mitochondria. This gene is adjacent to a related family member and the region between the 2 genes functions as a bidirectional promoter. Several pseudogenes have been associated with this gene. Two transcript variants encoding the same protein have been identified for this gene. Mutations associated with this gene cause autosomal recessive spastic paraplegia 13.
Catalog No
M0442
Species Reactivity
Human, Mouse, Rat, Wheat
Clonality
Monoclonal
Host
Rabbit
Modifcation
Unmodified
Clone
AB3823
Isotype
IgG
Application
WB, IHC-P, IF/ICC, ELISA
Application Dilutions
WB, 1:5000-1:30000 | IHC-P, 1:100-1:2000 | IF/ICC, 1:100-1:1000 | ELISA, Recommended starting concentration is 1 μg/mL. Please optimize the concentration based on your specific assay requirements.
Immunogen
A synthetic peptide corresponding to a sequence within amino acids 350 - 450 of human HSP60/HSPD1.
Specificity
This antibody detects endogenous levels of HSP60/HSPD1 protein.
Formulation
The antibody is provided in liquid form in phosphate - buffered saline with 50% glycerol, 0.05% BSA, and 0.02% sodium azide.
Purification
The antibody was purified by protein A affinity chromatography.
Storage and Stability
Store at-20℃. Avoid freeze / thaw cycles.
Gene Name
HSPD1
Gene ID
3329
Human swiss
P10809
Protein Name
HSP60/HSPD1
Synonyms
HLD4; CPN60; GROEL; HSP60; HSP65; SPG13; HSP-60; HuCHA60; HSP60/HSPD1
Related Products