25% Off Select Antibodies and ELISA Kits
Sign In/Register 0

We use cookies, check our Privacy Policies.

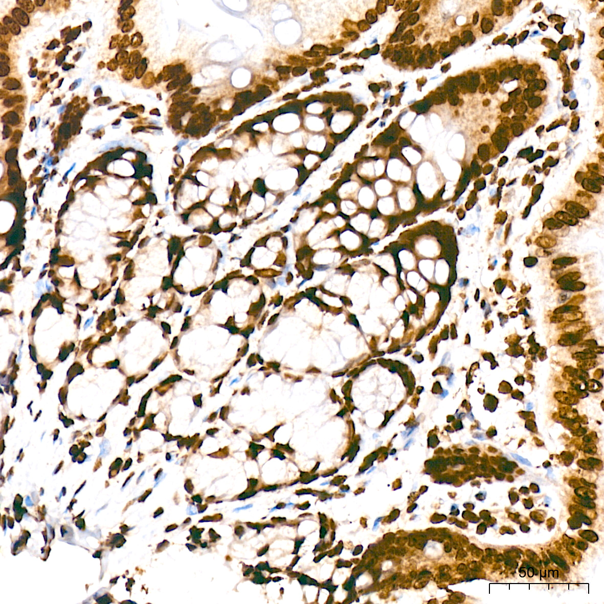
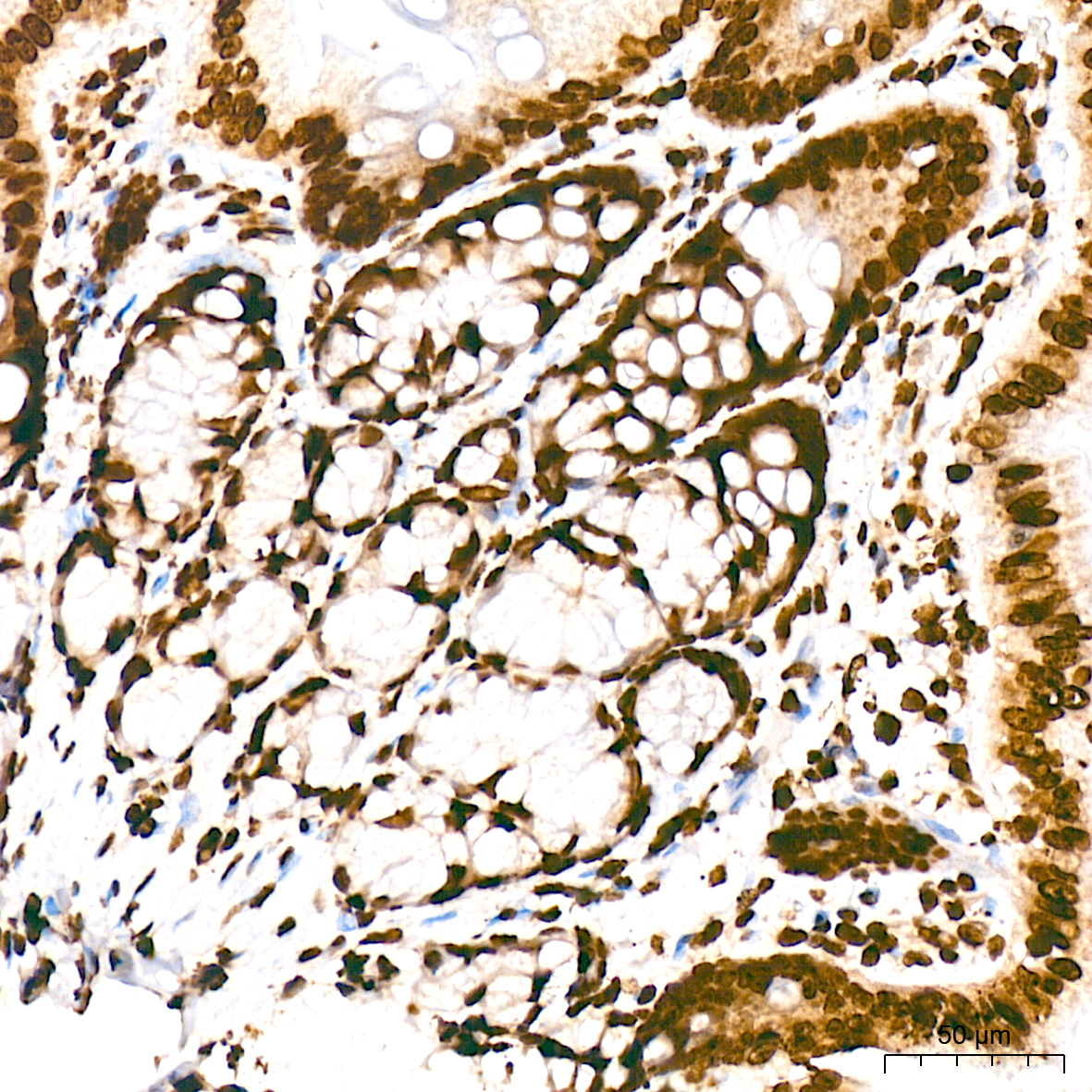
Hydroxyl-Histone H2A-Y39 (AB3853) Rabbit mAb
Hydroxyl-Histone H2A-Y39 (AB3853) Rabbit mAb

Assay Biotechnology Inc Antibodies and ELISA Kits have been rigorously validated for laboratory grade quality results. High specificity paired with high affinity for targets of interest give researchers an advantage with our products

Catalog No: M0437
Species Reactivity:Human,Mouse,Rat,Other (Wide Range Predicted)
Application:WB,IHC-P,ELISA
Host:Rabbit
Clonality:Monoclonal
Storage and Stability:Store at-20℃. Avoid freeze / thaw cycles.

$150
Product Details
Product Name
Hydroxyl-Histone H2A-Y39 (AB3853) Rabbit mAb
Description
Histones are basic nuclear proteins that are responsible for the nucleosome structure of the chromosomal fiber in eukaryotes. Nucleosomes consist of approximately 146 bp of DNA wrapped around a histone octamer composed of pairs of each of the four core histones (H2A, H2B, H3, and H4) . The chromatin fiber is further compacted through the interaction of a linker histone, H1, with the DNA between the nucleosomes to form higher order chromatin structures. This gene is intronless and encodes a replication-dependent histone that is a member of the histone H2A family. Transcripts from this gene lack polyA tails; instead, they contain a palindromic termination element. This gene is found in the large histone gene cluster on chromosome 6p22-p21. 3.
Catalog No
M0437
Species Reactivity
Human, Mouse, Rat, Other (Wide Range Predicted)
Clonality
Monoclonal
Host
Rabbit
Modifcation
Hydroxyl Y39
Clone
AB3853
Isotype
IgG
Application
WB, IHC-P, ELISA
Application Dilutions
WB, 1:500-1:2000 | IHC-P, 1:50-1:200 | ELISA, Recommended starting concentration is 1 μg/mL. Please optimize the concentration based on your specific assay requirements.
Immunogen
A synthetic hydroxylated peptide around Y39 of human Histone H2A.
Specificity
The antibody detects endogenous levels of Histone H2A protein only when hydroxylated at Tyr39, and shows no cross-reactivity with the non-hydroxylated form of Histone H2A.
Formulation
The antibody is provided in liquid form in phosphate - buffered saline with 50% glycerol, 0.05% BSA, and 0.02% sodium azide.
Purification
The antibody was purified by protein A affinity chromatography.
Storage and Stability
Store at-20℃. Avoid freeze / thaw cycles.
Gene Name
H2AC8
Gene ID
3012; 8329
Human swiss
P04908; P0C0S8
Protein Name
Hydroxyl-Histone H2A-Y39
Synonyms
H2A. 1; H2A. 2; H2A/a; H2AC4; H2AFA; HIST1H2AE; Hydroxyl-Histone H2A-Y39
Related Products