25% Off Select Antibodies and ELISA Kits
Sign In/Register 0

We use cookies, check our Privacy Policies.

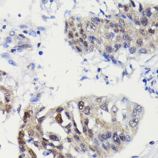
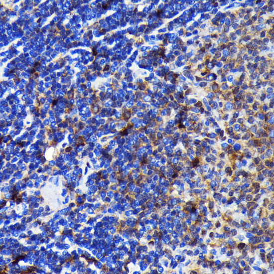
Caspase-3 (AB2835) Rabbit mAb
Caspase-3 (AB2835) Rabbit mAb

Assay Biotechnology Inc Antibodies and ELISA Kits have been rigorously validated for laboratory grade quality results. High specificity paired with high affinity for targets of interest give researchers an advantage with our products

Catalog No: M0390
Species Reactivity:Human,Mouse,Rat
Application:WB,IHC-P,IF/ICC
Host:Rabbit
Clonality:Monoclonal
Storage and Stability:Store at-20℃. Avoid freeze / thaw cycles.

$150
Product Details
Product Name
Caspase-3 (AB2835) Rabbit mAb
Description
The protein encoded by this gene is a cysteine-aspartic acid protease that plays a central role in the execution-phase of cell apoptosis. The encoded protein cleaves and inactivates poly(ADP-ribose) polymerase while it cleaves and activates sterol regulatory element binding proteins as well as caspases 6, 7, and 9. This protein itself is processed by caspases 8, 9, and 10. It is the predominant caspase involved in the cleavage of amyloid-beta 4A precursor protein, which is associated with neuronal death in Alzheimer's disease.
Catalog No
M0390
Species Reactivity
Human, Mouse, Rat
Clonality
Monoclonal
Host
Rabbit
Modifcation
Unmodified
Clone
AB2835
Isotype
IgG
Application
WB, IHC-P, IF/ICC
Application Dilutions
WB, 1:500-1:2000 | IHC-P, 1:100-1:500 | IF/ICC, 1:50-1:200
Immunogen
Recombinant fusion protein containing a sequence corresponding to amino acids 176 - 277 of human Caspase - 3.
Specificity
This antibody detects endogenous levels of Caspase-3 protein.
Formulation
The antibody is provided in liquid form in phosphate - buffered saline with 50% glycerol, 0.05% BSA, and 0.02% sodium azide.
Purification
The antibody was purified by protein A affinity chromatography.
Storage and Stability
Store at-20℃. Avoid freeze / thaw cycles.
Gene Name
CASP3
Gene ID
836
Human swiss
P42574
Protein Name
Caspase-3
Synonyms
CPP32; SCA-1; CPP32B
Related Products