25% Off Select Antibodies and ELISA Kits
Sign In/Register 0

We use cookies, check our Privacy Policies.

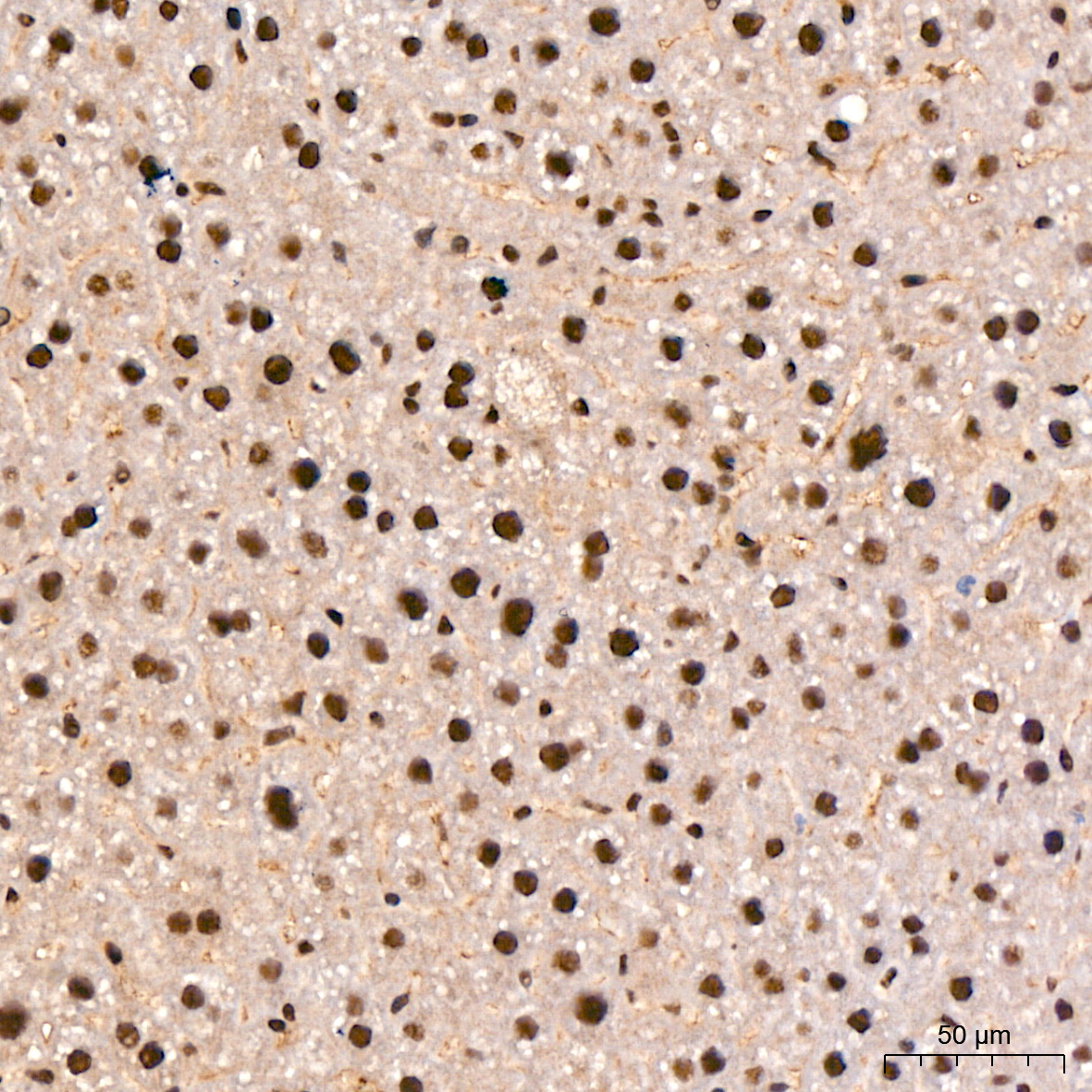
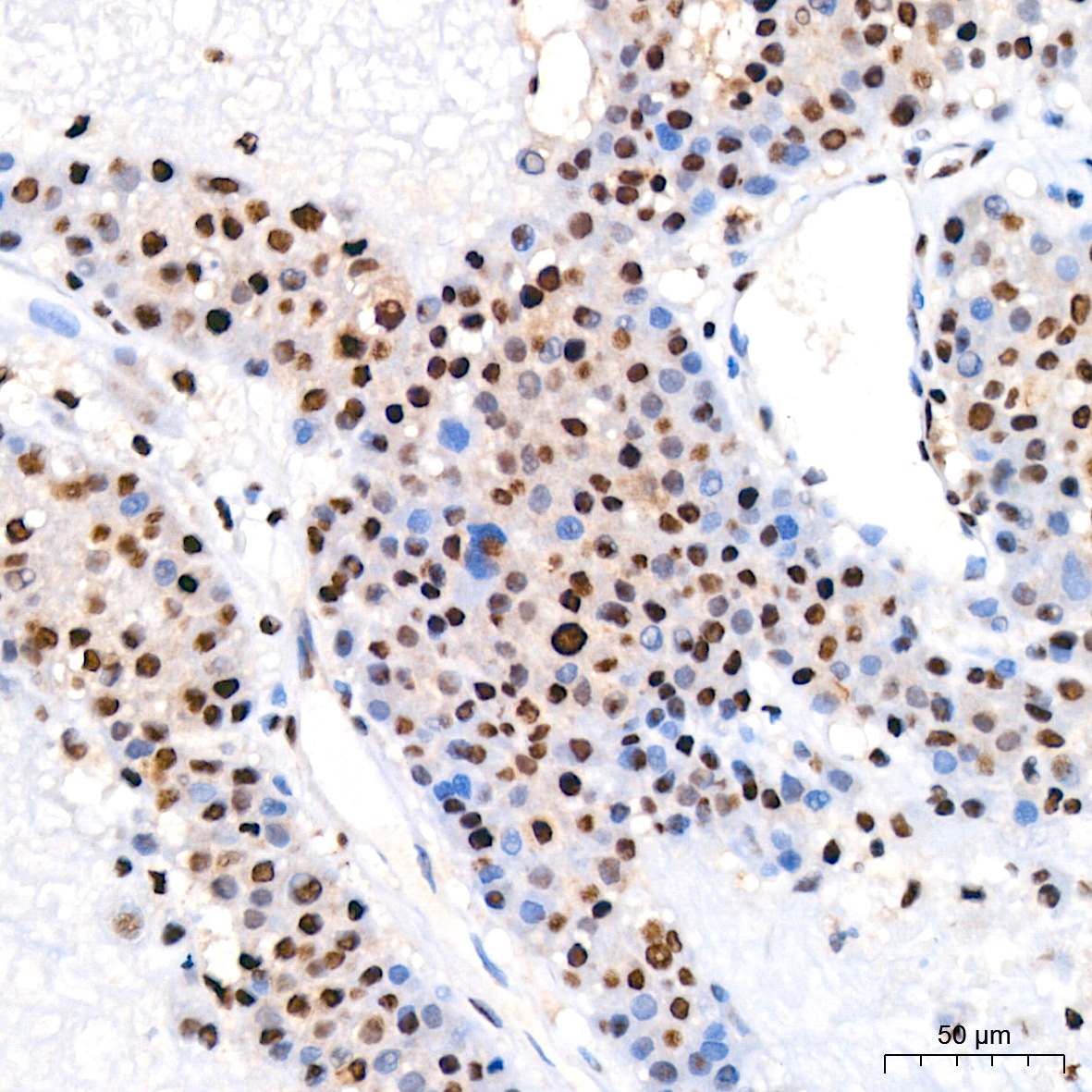
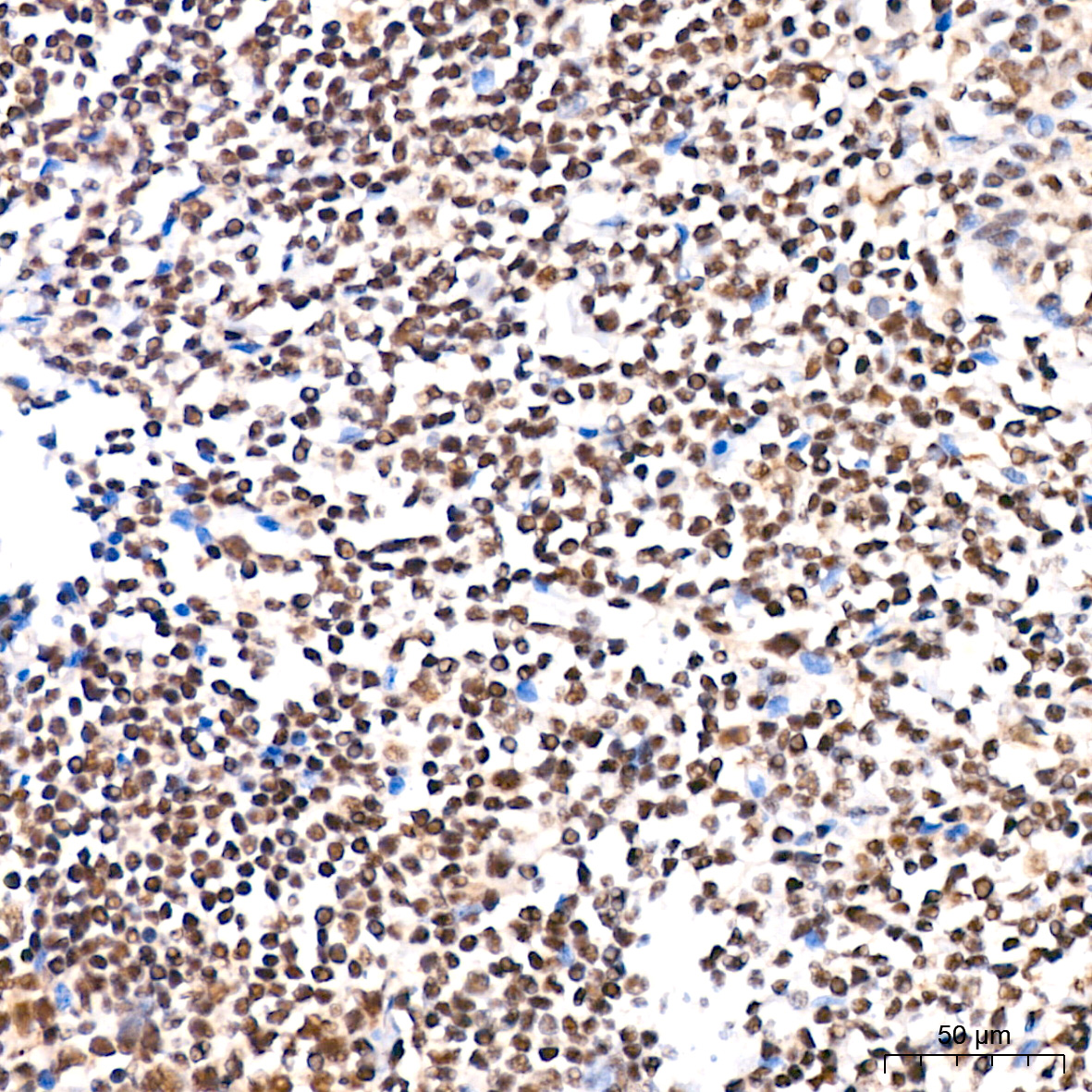
SP1 (AB4933) Rabbit mAb
SP1 (AB4933) Rabbit mAb

Assay Biotechnology Inc Antibodies and ELISA Kits have been rigorously validated for laboratory grade quality results. High specificity paired with high affinity for targets of interest give researchers an advantage with our products

Catalog No: M0386
Species Reactivity:Human,Mouse,Rat
Application:WB,IHC-P,IF/ICC,ELISA,ChIP,ChIP-seq,CUT&Tag
Host:Rabbit
Clonality:Monoclonal
Storage and Stability:Store at-20℃. Avoid freeze / thaw cycles.

$150
Product Details
Product Name
SP1 (AB4933) Rabbit mAb
Description
The protein encoded by this gene is a zinc finger transcription factor that binds to GC-rich motifs of many promoters. The encoded protein is involved in many cellular processes, including cell differentiation, cell growth, apoptosis, immune responses, response to DNA damage, and chromatin remodeling. Post-translational modifications such as phosphorylation, acetylation, glycosylation, and proteolytic processing significantly affect the activity of this protein, which can be an activator or a repressor. Three transcript variants encoding different isoforms have been found for this gene.
Catalog No
M0386
Species Reactivity
Human, Mouse, Rat
Clonality
Monoclonal
Host
Rabbit
Modifcation
Unmodified
Clone
AB4933
Isotype
IgG
Application
WB, IHC-P, IF/ICC, ELISA, ChIP, ChIP-seq, CUT&Tag
Application Dilutions
WB, 1:1000-1:2000 | IHC-P, 1:200-1:2000 | IF/ICC, 1:200-1:1000 | ELISA, Recommended starting concentration is 1 μg/mL. Please optimize the concentration based on your specific assay requirements. | ChIP, 5μg antibody for 10μg-15μg of Chromatin | ChIP-seq, 1:50-1:100 | CUT&Tag, 10⁵ cells /1 μg
Immunogen
A synthetic peptide corresponding to a sequence within amino acids 500 - 600 of human SP1.
Specificity
This antibody detects endogenous levels of SP1 protein.
Formulation
The antibody is provided in liquid form in phosphate - buffered saline with 50% glycerol, 0.05% BSA, and 0.02% sodium azide.
Purification
The antibody was purified by protein A affinity chromatography.
Storage and Stability
Store at-20℃. Avoid freeze / thaw cycles.
Gene Name
SP1
Gene ID
6667
Human swiss
P08047
Protein Name
SP1
Synonyms
SP1
Related Products