25% Off Select Antibodies and ELISA Kits
Sign In/Register 0

We use cookies, check our Privacy Policies.

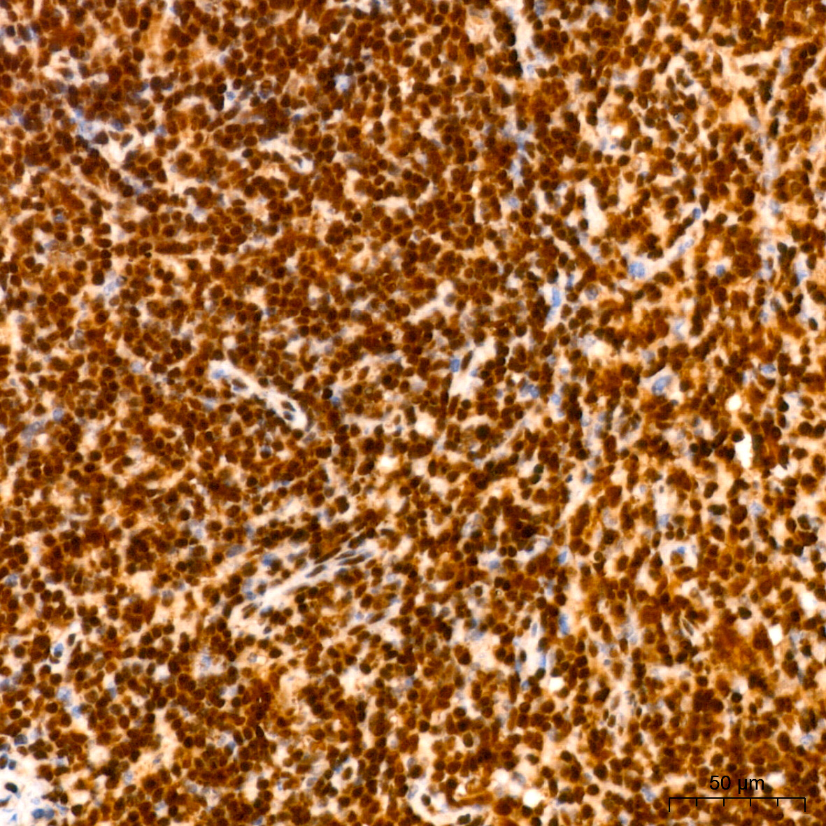
HuR/ELAVL1 (AB3851) Rabbit mAb
HuR/ELAVL1 (AB3851) Rabbit mAb

Assay Biotechnology Inc Antibodies and ELISA Kits have been rigorously validated for laboratory grade quality results. High specificity paired with high affinity for targets of interest give researchers an advantage with our products

Catalog No: M0375
Species Reactivity:Human,Mouse,Rat
Application:WB,IHC-P,IF/ICC,IP,ELISA
Host:Rabbit
Clonality:Monoclonal
Storage and Stability:Store at-20℃. Avoid freeze / thaw cycles.

$150
Product Details
Product Name
HuR/ELAVL1 (AB3851) Rabbit mAb
Description
The protein encoded by this gene is a member of the ELAVL family of RNA-binding proteins that contain several RNA recognition motifs, and selectively bind AU-rich elements (AREs) found in the 3' untranslated regions of mRNAs. AREs signal degradation of mRNAs as a means to regulate gene expression, thus by binding AREs, the ELAVL family of proteins play a role in stabilizing ARE-containing mRNAs. This gene has been implicated in a variety of biological processes and has been linked to a number of diseases, including cancer. It is highly expressed in many cancers, and could be potentially useful in cancer diagnosis, prognosis, and therapy.
Catalog No
M0375
Species Reactivity
Human, Mouse, Rat
Clonality
Monoclonal
Host
Rabbit
Modifcation
Unmodified
Clone
AB3851
Isotype
IgG
Application
WB, IHC-P, IF/ICC, IP, ELISA
Application Dilutions
WB, 1:1000-1:6000 | IHC-P, 1:200-1:2000 | IF/ICC, 1:100-1:1000 | IP, 0. 5μg-4μg antibody for 200μg-400μg extracts of whole cells | ELISA, Recommended starting concentration is 1 μg/mL. Please optimize the concentration based on your specific assay requirements.
Immunogen
A synthetic peptide corresponding to a sequence within amino acids 1 - 100 of human HuR/ELAVL1 (Q15717).
Specificity
This antibody detects endogenous levels of HuR/ELAVL1 protein.
Formulation
The antibody is provided in liquid form in phosphate - buffered saline with 50% glycerol, 0.05% BSA, and 0.02% sodium azide.
Purification
The antibody was purified by protein A affinity chromatography.
Storage and Stability
Store at-20℃. Avoid freeze / thaw cycles.
Gene Name
ELAVL1
Gene ID
1994
Human swiss
Q15717
Protein Name
HuR/ELAVL1
Synonyms
HUR; Hua; MelG; ELAV1; L1
Related Products