25% Off Select Antibodies and ELISA Kits
Sign In/Register 0

We use cookies, check our Privacy Policies.

NF-κB2 (AB4336) Rabbit mAb
NF-κB2 (AB4336) Rabbit mAb

Assay Biotechnology Inc Antibodies and ELISA Kits have been rigorously validated for laboratory grade quality results. High specificity paired with high affinity for targets of interest give researchers an advantage with our products

Catalog No: M0368
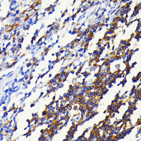
Species Reactivity:Human,Mouse,Rat
Application:WB,IHC-P,ELISA
Host:Rabbit
Clonality:Monoclonal
Storage and Stability:Store at-20℃. Avoid freeze / thaw cycles.

$150
Product Details
Product Name
NF-κB2 (AB4336) Rabbit mAb
Description
This gene encodes a subunit of the transcription factor complex nuclear factor-kappa-B (NFkB) . The NFkB complex is expressed in numerous cell types and functions as a central activator of genes involved in inflammation and immune function. The protein encoded by this gene can function as both a transcriptional activator or repressor depending on its dimerization partner. The p100 full-length protein is co-translationally processed into a p52 active form. Chromosomal rearrangements and translocations of this locus have been observed in B cell lymphomas, some of which may result in the formation of fusion proteins. There is a pseudogene for this gene on chromosome 18. Alternative splicing results in multiple transcript variants.
Catalog No
M0368
Species Reactivity
Human, Mouse, Rat
Clonality
Monoclonal
Host
Rabbit
Modifcation
Unmodified
Clone
AB4336
Isotype
IgG
Application
WB, IHC-P, ELISA
Application Dilutions
WB, 1:1000-1:6000 | IHC-P, 1:100-1:500 | ELISA, Recommended starting concentration is 1 μg/mL. Please optimize the concentration based on your specific assay requirements.
Immunogen
Recombinant fusion protein containing a sequence corresponding to amino acids 745 - 877 of human NF - κB2 (Q00653).
Specificity
This antibody detects endogenous levels of NF-κB2 protein.
Formulation
The antibody is provided in liquid form in phosphate - buffered saline with 50% glycerol, 0.05% BSA, and 0.02% sodium azide.
Purification
The antibody was purified by protein A affinity chromatography.
Storage and Stability
Store at-20℃. Avoid freeze / thaw cycles.
Gene Name
NFKB2
Gene ID
4791
Human swiss
Q00653
Protein Name
NF-κB2
Synonyms
p52; p100; H2TF1; LYT10; CVID10; LYT-10; NF-kB2; p49/p100; NF-κB2
Related Products