25% Off Select Antibodies and ELISA Kits
Sign In/Register 0

We use cookies, check our Privacy Policies.

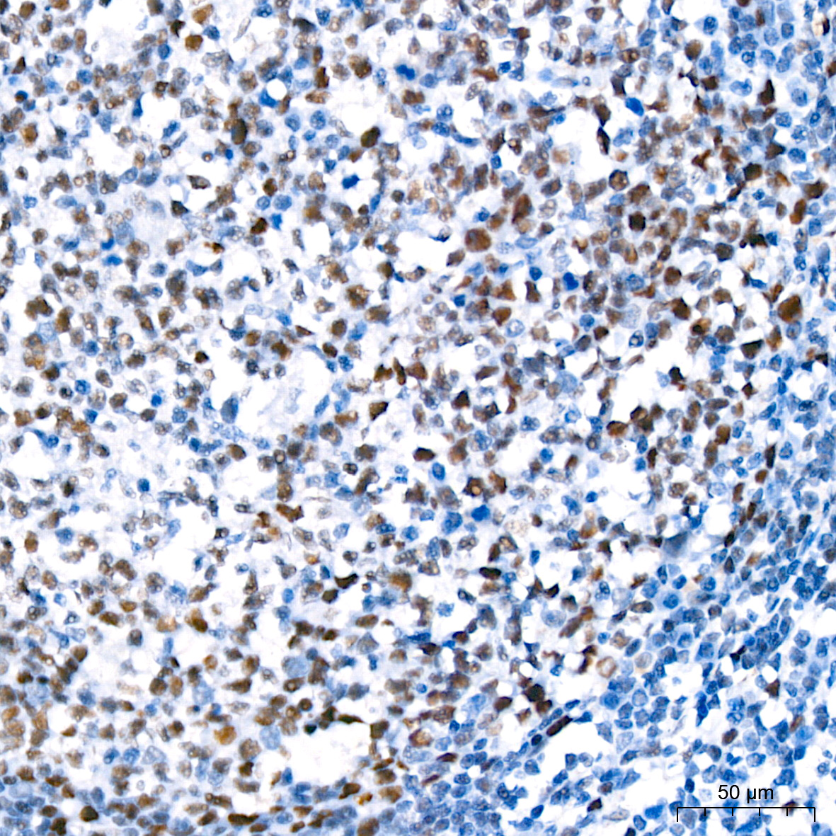
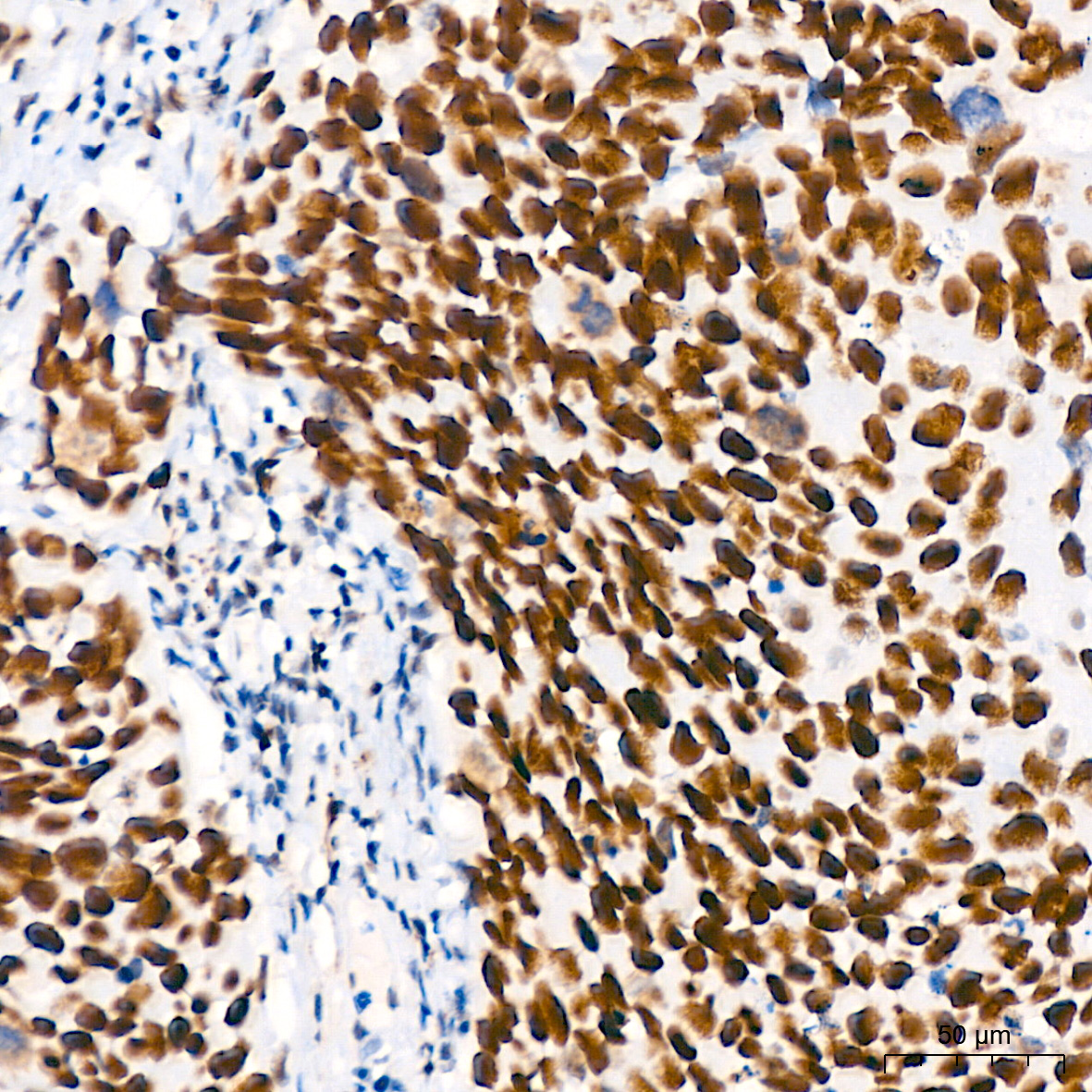
TCF4/TCF7L2 (AB5032) Rabbit mAb
TCF4/TCF7L2 (AB5032) Rabbit mAb

Assay Biotechnology Inc Antibodies and ELISA Kits have been rigorously validated for laboratory grade quality results. High specificity paired with high affinity for targets of interest give researchers an advantage with our products

Catalog No: M0344
Species Reactivity:Human,Mouse,Rat
Application:WB,IHC-P,ELISA
Host:Rabbit
Clonality:Monoclonal
Storage and Stability:Store at-20℃. Avoid freeze / thaw cycles.

$150
Product Details
Product Name
TCF4/TCF7L2 (AB5032) Rabbit mAb
Description
This gene encodes a high mobility group (HMG) box-containing transcription factor that plays a key role in the Wnt signaling pathway. The protein has been implicated in blood glucose homeostasis. Genetic variants of this gene are associated with increased risk of type 2 diabetes. Several transcript variants encoding multiple different isoforms have been found for this gene.
Catalog No
M0344
Species Reactivity
Human, Mouse, Rat
Clonality
Monoclonal
Host
Rabbit
Modifcation
Unmodified
Clone
AB5032
Isotype
IgG
Application
WB, IHC-P, ELISA
Application Dilutions
WB, 1:1000-1:6000 | IHC-P, 1:200-1:800 | ELISA, Recommended starting concentration is 1 μg/mL. Please optimize the concentration based on your specific assay requirements.
Immunogen
A synthetic peptide corresponding to a sequence within amino acids 1 - 100 of human TCF4/TCF7L2 (Q9NQB0).
Specificity
This antibody detects endogenous levels of TCF4/TCF7L2 protein.
Formulation
The antibody is provided in liquid form in phosphate - buffered saline with 50% glycerol, 0.05% BSA, and 0.02% sodium azide.
Purification
The antibody was purified by protein A affinity chromatography.
Storage and Stability
Store at-20℃. Avoid freeze / thaw cycles.
Gene Name
TCF7L2
Gene ID
6934
Human swiss
Q9NQB0
Protein Name
TCF4/TCF7L2
Synonyms
TCF4; TCF-4; TCF4/TCF7L2
Related Products