25% Off Select Antibodies and ELISA Kits
Sign In/Register 0

We use cookies, check our Privacy Policies.

Histone H3(Phospho Ser10) (AB3754) Rabbit mAb
Histone H3(Phospho Ser10) (AB3754) Rabbit mAb

Assay Biotechnology Inc Antibodies and ELISA Kits have been rigorously validated for laboratory grade quality results. High specificity paired with high affinity for targets of interest give researchers an advantage with our products

Catalog No: M0331
Species Reactivity:Human,Mouse,Rat,Other (Wide Range Predicted)
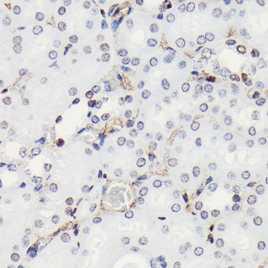
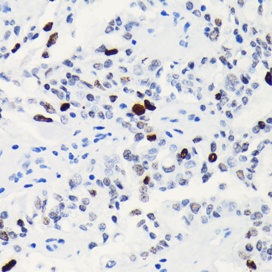
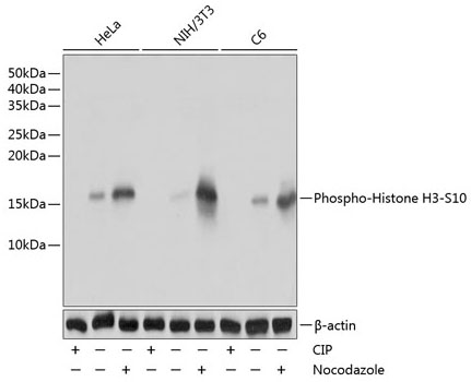
Application:WB,IHC-P,IF/ICC,ELISA
Host:Rabbit
Clonality:Monoclonal
Storage and Stability:Store at-20℃. Avoid freeze / thaw cycles.

$150
Product Details
Product Name
Histone H3(Phospho Ser10) (AB3754) Rabbit mAb
Description
Histones are basic nuclear proteins that are responsible for the nucleosome structure of the chromosomal fiber in eukaryotes. This structure consists of approximately 146 bp of DNA wrapped around a nucleosome, an octamer composed of pairs of each of the four core histones (H2A, H2B, H3, and H4) . The chromatin fiber is further compacted through the interaction of a linker histone, H1, with the DNA between the nucleosomes to form higher order chromatin structures. This gene is intronless and encodes a replication-dependent histone that is a member of the histone H3 family. Transcripts from this gene lack polyA tails; instead, they contain a palindromic termination element. This gene is found in the large histone gene cluster on chromosome 6p22-p21. 3.
Catalog No
M0331
Species Reactivity
Human, Mouse, Rat, Other (Wide Range Predicted)
Clonality
Monoclonal
Host
Rabbit
Modifcation
Phospho S10
Clone
AB3754
Isotype
IgG
Application
WB, IHC-P, IF/ICC, ELISA
Application Dilutions
WB, 1:500-1:1000 | IHC-P, 1:50-1:200 | IF/ICC, 1:50-1:200 | ELISA, Recommended starting concentration is 1 μg/mL. Please optimize the concentration based on your specific assay requirements.
Immunogen
A synthetic phosphorylated peptide around S10 of human Histone H3.
Specificity
The antibody detects endogenous levels of Histone H3 protein only when phosphorylated at Ser10. The antibody does not cross-react with Histone H3 phosphorylated at other sites.
Formulation
The antibody is provided in liquid form in phosphate - buffered saline with 50% glycerol, 0.05% BSA, and 0.02% sodium azide.
Purification
The antibody was purified by protein A affinity chromatography.
Storage and Stability
Store at-20℃. Avoid freeze / thaw cycles.
Gene Name
H3C1
Gene ID
8290; 8350
Human swiss
Q16695; P68431
Protein Name
Histone H3(Phospho Ser10)
Synonyms
H3/A; H3C2; H3C3; H3C4; H3C6; H3C7; H3C8; H3FA; H3C10; H3C11; H3C12; HIST1H3A; Phospho-Histone H3-S10
Related Products