25% Off Select Antibodies and ELISA Kits
Sign In/Register 0

We use cookies, check our Privacy Policies.

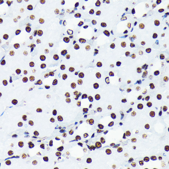
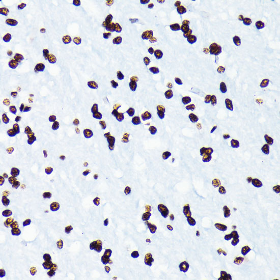
Histone H4 (Acetyl Lys5) (AB3760) Rabbit mAb
Histone H4 (Acetyl Lys5) (AB3760) Rabbit mAb

Assay Biotechnology Inc Antibodies and ELISA Kits have been rigorously validated for laboratory grade quality results. High specificity paired with high affinity for targets of interest give researchers an advantage with our products

Catalog No: M0330
Species Reactivity:Human,Mouse,Rat,Other (Wide Range Predicted)
Application:WB,DB,IHC-P,IF/ICC,ELISA
Host:Rabbit
Clonality:Monoclonal
Storage and Stability:Store at-20℃. Avoid freeze / thaw cycles.

$150
Product Details
Product Name
Histone H4 (Acetyl Lys5) (AB3760) Rabbit mAb
Description
Histones are basic nuclear proteins that are responsible for the nucleosome structure of the chromosomal fiber in eukaryotes. Nucleosomes consist of approximately 146 bp of DNA wrapped around a histone octamer composed of pairs of each of the four core histones (H2A, H2B, H3, and H4) . The chromatin fiber is further compacted through the interaction of a linker histone, H1, with the DNA between the nucleosomes to form higher order chromatin structures. This gene is intronless and encodes a replication-dependent histone that is a member of the histone H4 family. Transcripts from this gene lack polyA tails; instead, they contain a palindromic termination element.
Catalog No
M0330
Species Reactivity
Human, Mouse, Rat, Other (Wide Range Predicted)
Clonality
Monoclonal
Host
Rabbit
Modifcation
Acetyl K5
Clone
AB3760
Isotype
IgG
Application
WB, DB, IHC-P, IF/ICC, ELISA
Application Dilutions
WB, 1:500-1:1000 | DB, 1:500-1:1000 | IHC-P, 1:50-1:200 | IF/ICC, 1:50-1:200 | ELISA, Recommended starting concentration is 1 μg/mL. Please optimize the concentration based on your specific assay requirements.
Immunogen
A synthetic acetylated peptide around K5 of human Histone H4.
Specificity
The antibody detects endogenous levels of Histone H4 protein only when acetylated at Lys5. The antibody does not cross-react with Histone H4 acetylated at other sites.
Formulation
The antibody is provided in liquid form in phosphate - buffered saline with 50% glycerol, 0.05% BSA, and 0.02% sodium azide.
Purification
The antibody was purified by protein A affinity chromatography.
Storage and Stability
Store at-20℃. Avoid freeze / thaw cycles.
Gene Name
Histone H4
Gene ID
8359
Human swiss
P62805
Protein Name
Histone H4 (Acetyl Lys5)
Synonyms
H4/p; H4C1; H4C2; H4C3; H4C4; H4C5; H4C6; H4C8; H4C9; H4-16; H4C11; H4C12; H4C13; H4C14; H4C15; HIST4H4; Acetyl-Histone H4-K5
Related Products