25% Off Select Antibodies and ELISA Kits
Sign In/Register 0

We use cookies, check our Privacy Policies.

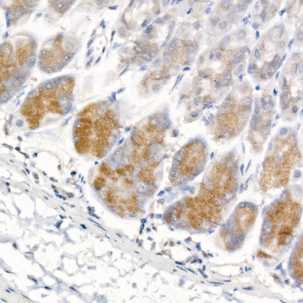
Pepsinogen I (PG I) (AB4500) Rabbit mAb
Pepsinogen I (PG I) (AB4500) Rabbit mAb

Assay Biotechnology Inc Antibodies and ELISA Kits have been rigorously validated for laboratory grade quality results. High specificity paired with high affinity for targets of interest give researchers an advantage with our products

Catalog No: M0254
Species Reactivity:Mouse,Rat
Application:IHC-P,ELISA
Host:Rabbit
Clonality:Monoclonal
Storage and Stability:Store at-20℃. Avoid freeze / thaw cycles.

$150
Product Details
Product Name
Pepsinogen I (PG I) (AB4500) Rabbit mAb
Description
This gene encodes a protein precursor of the digestive enzyme pepsin, a member of the peptidase A1 family of endopeptidases. The encoded precursor is secreted by gastric chief cells and undergoes autocatalytic cleavage in acidic conditions to form the active enzyme, which functions in the digestion of dietary proteins. This gene is found in a cluster of related genes on chromosome 11, each of which encodes one of multiple pepsinogens. Pepsinogen levels in serum may serve as a biomarker for atrophic gastritis and gastric cancer.
Catalog No
M0254
Species Reactivity
Mouse, Rat
Clonality
Monoclonal
Host
Rabbit
Modifcation
Unmodified
Clone
AB4500
Isotype
IgG
Application
IHC-P, ELISA
Application Dilutions
IHC-P, 1:200-1:800 | ELISA, Recommended starting concentration is 1 μg/mL. Please optimize the concentration based on your specific assay requirements.
Immunogen
Recombinant fusion protein containing a sequence corresponding to amino acids 1 - 388 of human Pepsinogen I.
Specificity
This antibody detects endogenous levels of Pepsinogen I (PG I) protein.
Formulation
The antibody is provided in liquid form in phosphate - buffered saline with 50% glycerol, 0.05% BSA, and 0.09% Sodium azide.
Purification
The antibody was purified by protein A affinity chromatography.
Storage and Stability
Store at-20℃. Avoid freeze / thaw cycles.
Gene Name
PGA4
Gene ID
643847
Human swiss
P0DJD7
Protein Name
Pepsinogen I (PG I)
Synonyms
PGA4
Related Products