25% Off Select Antibodies and ELISA Kits
Sign In/Register 0

We use cookies, check our Privacy Policies.

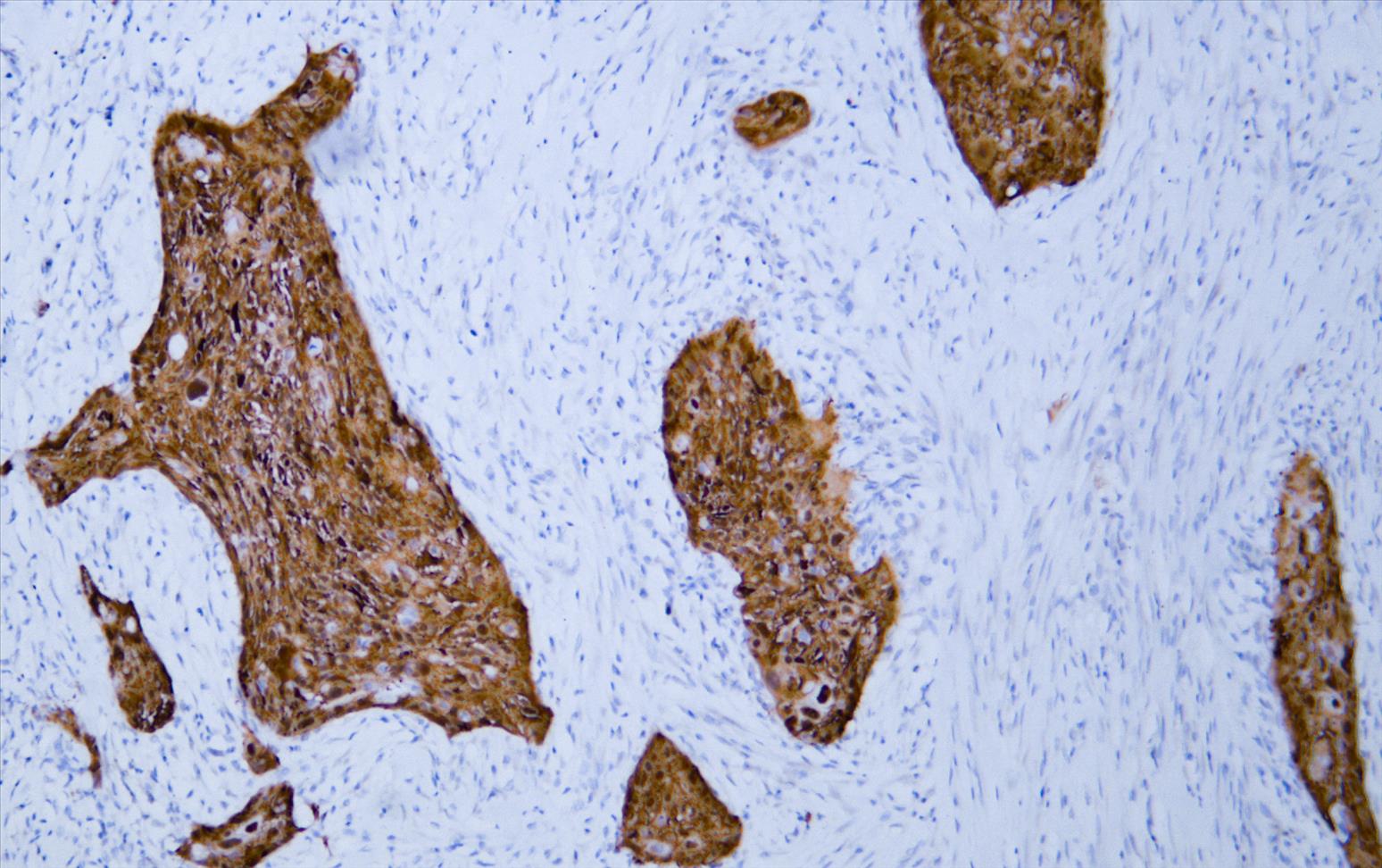
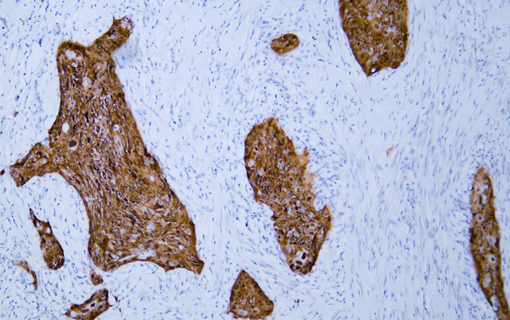
GST-Pi (AB1396) mouse mAb
GST-Pi (AB1396) mouse mAb

Assay Biotechnology Inc Antibodies and ELISA Kits have been rigorously validated for laboratory grade quality results. High specificity paired with high affinity for targets of interest give researchers an advantage with our products

Catalog No: W0422
Species Reactivity:Human; Mouse;
Application:IHC; WB; IF; ELISA
Host:Mouse
Clonality:Monoclonal
Storage and Stability:Store at-20℃. Avoid freeze / thaw cycles.

$135
Product Details
Product Name
GST-Pi (AB1396) mouse mAb
Description
GST-Pi is a major isoenzyme in GST family. It widely exists in the cytoplasm and mitochondria of human organs and has detoxification function. At present, it is considered to be a marker of drug resistance in tumor cells. GST-Pi is highly expressed in a variety of tumors, which is related to tumor treatment drug resistance. The simultaneous detection of GST-Pi with P-gp and TopoII has more clinical significance for judging whether tumor cells produce drug resistance.
Catalog No
W0422
Species Reactivity
Human; Mouse;
Clonality
Monoclonal
Host
Mouse
Modifcation
Unmodified
Clone
AB1396
Isotype
IgG2b, kappa
Application
IHC; WB; IF; ELISA
Application Dilutions
IHC, 1:200-1:1000 | WB, 1:500-1:2000 | IF, 1:100-1:500 | ELISA, Recommended starting concentration is 1 µg/mL. Please optimize the concentration based on your specific assay requirements.
Immunogen
A synthetic peptide corresponding to the amino acid region 150 - 210 of the human GST - Pi protein.
Specificity
The antibody can specifically recognize human GST-Pi protein.
Formulation
The antibody is provided in liquid form in phosphate - buffered saline with 50% glycerol, 0.05% BSA, and 0.05% Proclin 300.
Purification
The antibody was purified by protein G affinity chromatography.
Storage and Stability
Store at-20℃. Avoid freeze / thaw cycles.
Gene Name
GSTP1
Gene ID
2950
Human swiss
P09211
Protein Name
GST-Pi
Synonyms
Deafness, Deafness X-linked 7, DFN7, FAEES3, Fatty Acid Ethyl Ester Synthase III, Glutathione S Transferase 3, Glutathione S Transferase Pi, Glutathione S-transferase P, Glutathione S-transferase pi 1, GST class-pi, GST3, GSTP, Gstp1, GSTP1-1, GSTP1_HUMAN, PI, X linked 7
Related Products