25% Off Select Antibodies and ELISA Kits
Sign In/Register 0

We use cookies, check our Privacy Policies.

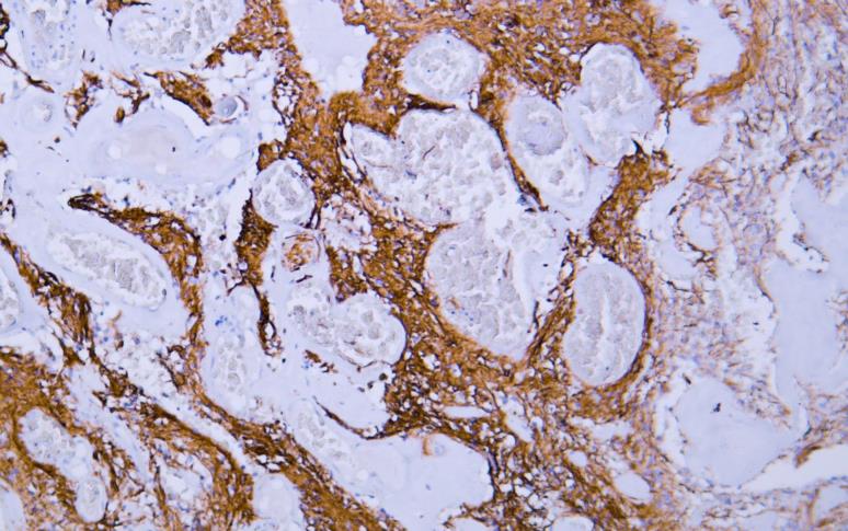
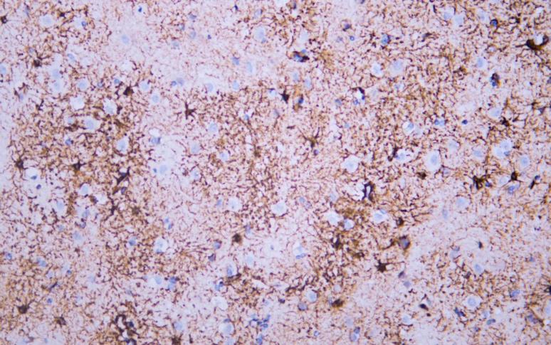
Glial Fibrillary Acidic Protein (GFAP) (AB1331) mouse mAb
Glial Fibrillary Acidic Protein (GFAP) (AB1331) mouse mAb

Assay Biotechnology Inc Antibodies and ELISA Kits have been rigorously validated for laboratory grade quality results. High specificity paired with high affinity for targets of interest give researchers an advantage with our products

Catalog No: W0346
Species Reactivity:Human; Rat; Monkey; Bovin;
Application:IHC; WB; IF; ELISA
Host:Mouse
Clonality:Monoclonal
Storage and Stability:Store at-20℃. Avoid freeze / thaw cycles.

$135
Product Details
Product Name
Glial Fibrillary Acidic Protein (GFAP) (AB1331) mouse mAb
Description
GFAP is an intermediate filament protein with a molecular weight of 51 kDa, which participates in the formation of cytoskeleton and maintains its tension strength. GFAP is mainly distributed in astrocytes and ependymal cells of the central nervous system, Schwann cells and satellite cells of intestinal ganglion of the peripheral nervous system, myoepithelial cells and chondroblasts. It is mainly used for the diagnosis and differential diagnosis of astrocytoma, including astrocytoma, astroblastoma, mixed glioma, pleomorphic glioblastoma and non astrocytoma, including a few gliomas, most ependymomas and other central nervous system tumors.
Catalog No
W0346
Species Reactivity
Human; Rat; Monkey; Bovin;
Clonality
Monoclonal
Host
Mouse
Modifcation
Unmodified
Clone
AB1331
Isotype
IgG2b, kappa
Application
IHC; WB; IF; ELISA
Application Dilutions
IHC, 1:200-1:1000 | WB, 1:500-1:2000 | IF, 1:100-1:500 | ELISA, Recommended starting concentration is 1 µg/mL. Please optimize the concentration based on your specific assay requirements.
Immunogen
A synthetic peptide corresponding to the amino acid region 300 - 432 of the human Glial Fibrillary Acidic Protein protein.
Specificity
The antibody can specifically recognize human GFAP protein.
Formulation
The antibody is provided in liquid form in phosphate - buffered saline with 50% glycerol, 0.05% BSA, and 0.05% Proclin 300.
Purification
The antibody was purified by protein G affinity chromatography.
Storage and Stability
Store at-20℃. Avoid freeze / thaw cycles.
Gene Name
GFAP
Gene ID
2670
Human swiss
P14136
Protein Name
Glial Fibrillary Acidic Protein
Synonyms
wu:fb34h11, ALXDRD, cb345, etID36982. 3, FLJ42474, FLJ45472, GFAP, GFAP_HUMAN, gfapl, Glial fibrillary acidic protein, Intermediate filament protein, wu:fk42c12, xx:af506734, zgc:110485
Related Products