25% Off Select Antibodies and ELISA Kits
Sign In/Register 0

We use cookies, check our Privacy Policies.

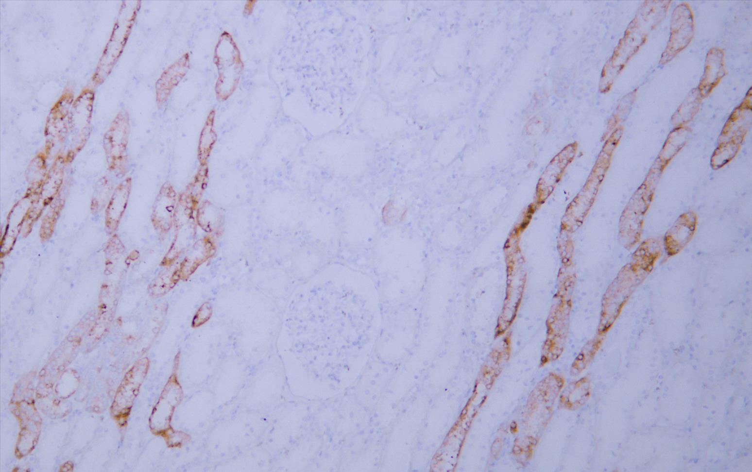
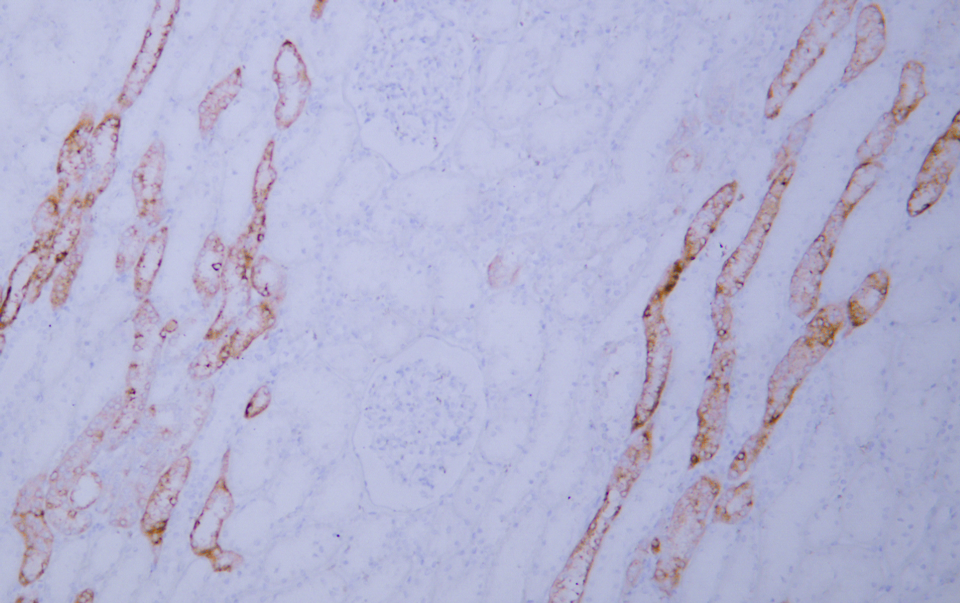
Prostatic Acid Phosphatase (PAP) (AB1275) mouse mAb
Prostatic Acid Phosphatase (PAP) (AB1275) mouse mAb

Assay Biotechnology Inc Antibodies and ELISA Kits have been rigorously validated for laboratory grade quality results. High specificity paired with high affinity for targets of interest give researchers an advantage with our products

Catalog No: V0446
Species Reactivity:Human; Mouse; Rat;
Application:Immunohistochemistry (IHC)
Host:Mouse
Clonality:Monoclonal
Storage and Stability:Store at-20℃. Avoid freeze / thaw cycles.

$75
Product Details
Product Name
Prostatic Acid Phosphatase (PAP) (AB1275) mouse mAb
Description
Prostate specific acid phosphatase (PSAP) , with a molecular weight of 52 kDa, is a glycoprotein with the function of hydrolyzing phosphate synthesized and secreted by prostate epithelial cells. It is positively expressed in epithelial cells and intraluminal secretions of normal and hyperplastic prostate tissues. It has strong positive expression in primary and metastatic prostate cancer. It is mainly used for the study of primary and metastatic prostate cancer.
Catalog No
V0446
Species Reactivity
Human; Mouse; Rat;
Clonality
Monoclonal
Host
Mouse
Modifcation
Unmodified
Clone
AB1275
Isotype
IgG2b, kappa
Application
Immunohistochemistry (IHC)
Application Dilutions
IHC, 1:200-1:400
Immunogen
A synthetic peptide corresponding to the amino acid region 201 - 300 of the human Prostatic Acid Phosphatase protein.
Specificity
The antibody can specifically recognize human PSAP protein.
Formulation
The antibody is provided in liquid form in phosphate - buffered saline with 50% glycerol, 0.05% BSA, and 0.05% Proclin 300.
Purification
The antibody was purified by affinity chromatography using a specific immunogen.
Storage and Stability
Store at-20℃. Avoid freeze / thaw cycles.
Gene Name
ACP3
Gene ID
55
Human swiss
P15309
Protein Name
Prostatic Acid Phosphatase
Synonyms
5' NT, 5' nucleotidase, 5'-NT, 5'-nucleotidase, Acid phosphatase prostate, ACP 3, ACP3, acpP, Ecto 5' nucleotidase, Ecto-5'-nucleotidase, PAP, PPAP_HUMAN, Prostatic acid phosphatase, Prostatic acid phosphotase, Thiamine monophosphatase, TMPase
Related Products