25% Off Select Antibodies and ELISA Kits
Sign In/Register 0

We use cookies, check our Privacy Policies.

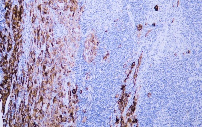
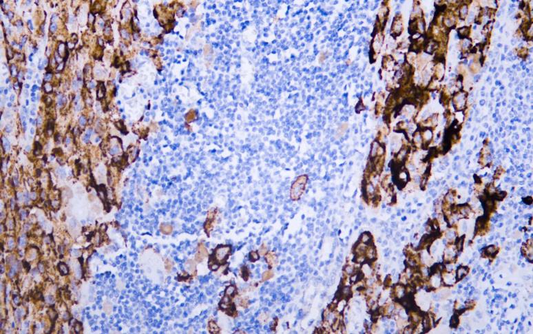
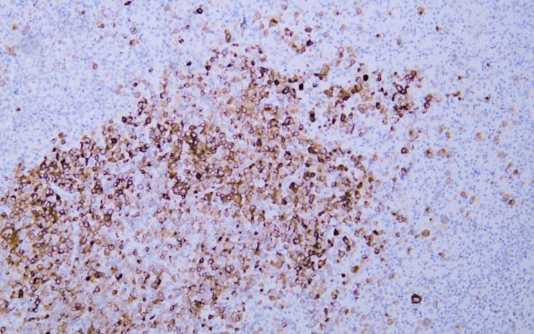
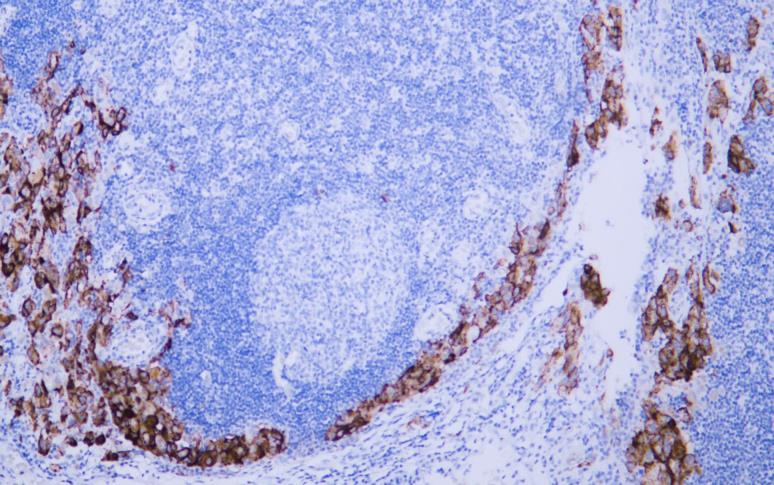
PMEL/Melanoma gp100 (HMB45) (AB1395) mouse mAb
PMEL/Melanoma gp100 (HMB45) (AB1395) mouse mAb

Assay Biotechnology Inc Antibodies and ELISA Kits have been rigorously validated for laboratory grade quality results. High specificity paired with high affinity for targets of interest give researchers an advantage with our products

Catalog No: V0440
Species Reactivity:Human; Mouse;
Application:Immunohistochemistry (IHC)
Host:Mouse
Clonality:Monoclonal
Storage and Stability:Store at-20℃. Avoid freeze / thaw cycles.

$75
Product Details
Product Name
PMEL/Melanoma gp100 (HMB45) (AB1395) mouse mAb
Description
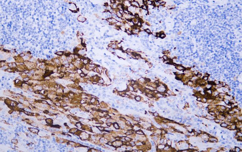
PMEL is a type I transmembrane glycoprotein which is specific in malanocyte. PMEL is abundantly expressed in melanosomes, and plays a central role in the biogenesis of melanosomes by involved in the maturation of melanosomes from stage I to II. It is highly expressed in all stages of melanoma progression, so the PMEL antibody can specifically labels melanoma cells.
Catalog No
V0440
Species Reactivity
Human; Mouse;
Clonality
Monoclonal
Host
Mouse
Modifcation
Unmodified
Clone
AB1395
Isotype
IgG1, kappa
Application
Immunohistochemistry (IHC)
Application Dilutions
IHC, 1:200-1:400
Immunogen
A synthetic peptide corresponding to the amino acid region 400 - 500 of the human PMEL/Melanoma gp100 protein.
Specificity
The antibody can specifically recognize human PMEL protein.
Formulation
The antibody is provided in liquid form in phosphate - buffered saline with 50% glycerol, 0.05% BSA, and 0.05% Proclin 300.
Purification
The antibody was purified by affinity chromatography using a specific immunogen.
Storage and Stability
Store at-20℃. Avoid freeze / thaw cycles.
Gene Name
PMEL
Gene ID
6490
Human swiss
P40967
Protein Name
PMEL/Melanoma gp100
Synonyms
95 kDa melanocyte specific secreted glycoprotein, 95 kDa melanocyte-specific secreted glycoprotein, D12S53E, gp100, M-beta, ME20, ME20 M/ME20 S, ME20-M, ME20-S, ME20M, ME20M/ME20S, ME20S, Melanocyte lineage specific antigen GP100, Melanocyte protein mel 17, Melanocyte protein Pmel 17, Melanocyte protein Pmel 17 precursor, Melanocytes lineage-specific antigen GP100, Melanoma associated ME20 antigen, Melanoma gp100, Melanoma-associated ME20 antigen, Melanosomal matrix protein 17, Melanosomal matrix protein17, P1, p100, p26, PMEL 17, PMEL, PMEL_HUMAN, PMEL17, Premelanosome protein, Secreted melanoma-associated ME20 antigen, SI, SIL, SILV, Silver (Mouse homolog) like, Silver homolog, Silver locus protein homolog, Silver, Mouse, homolog of
Related Products