25% Off Select Antibodies and ELISA Kits
Sign In/Register 0

We use cookies, check our Privacy Policies.

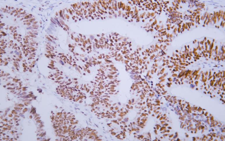
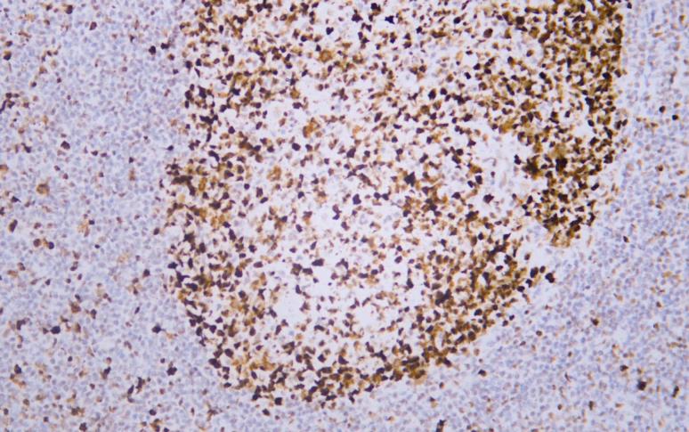
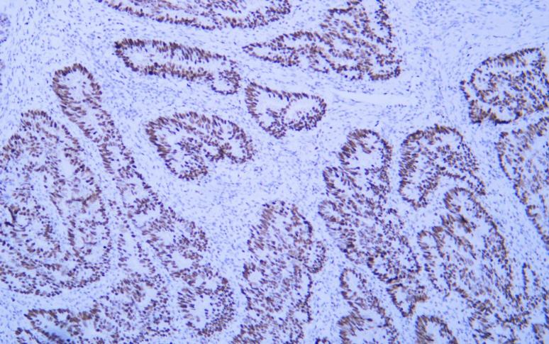
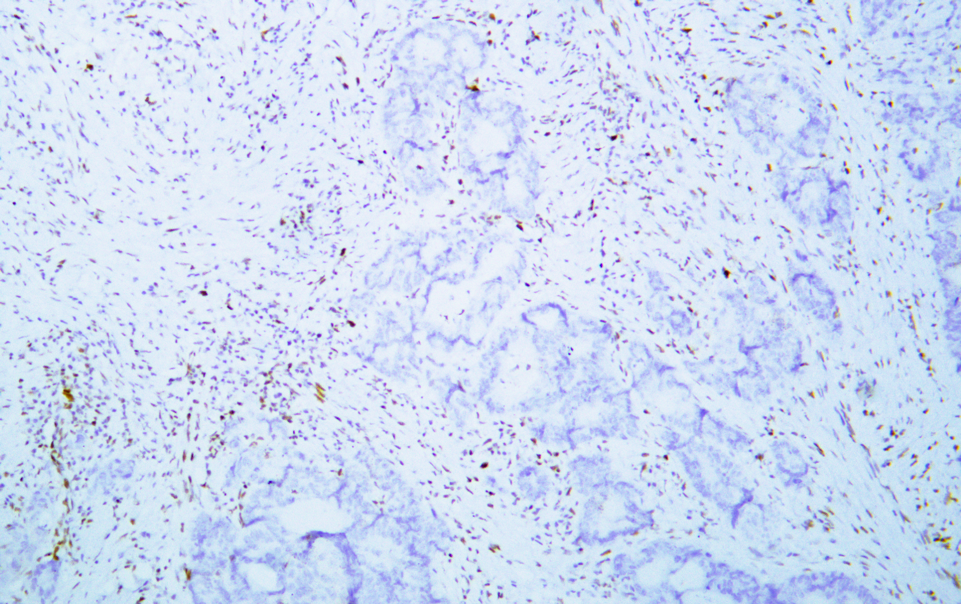
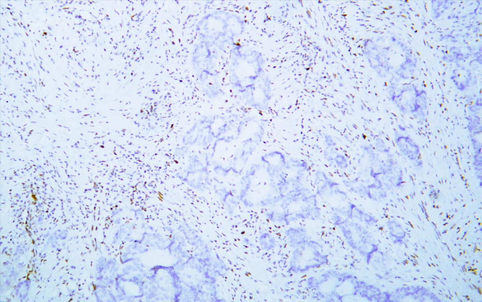
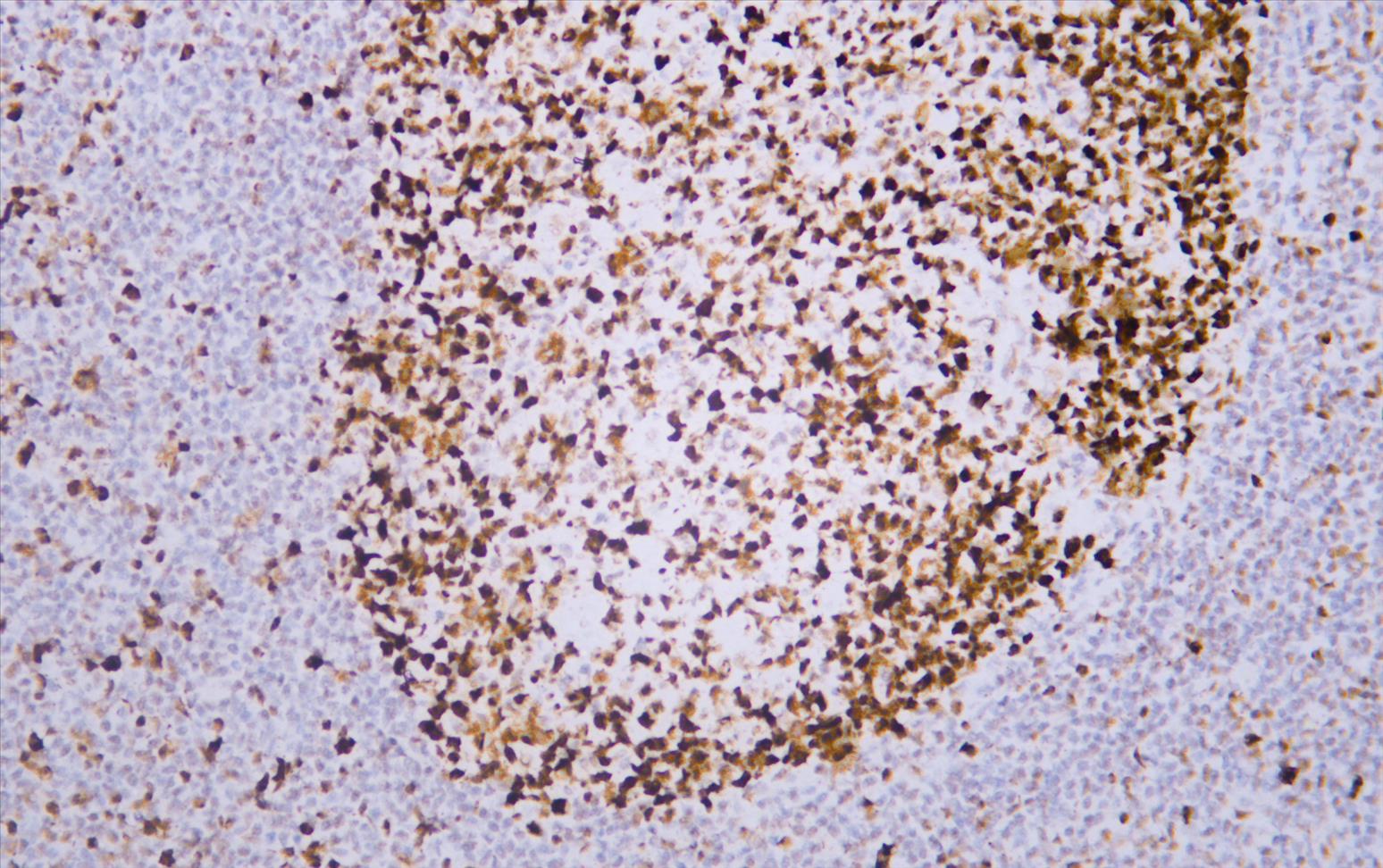
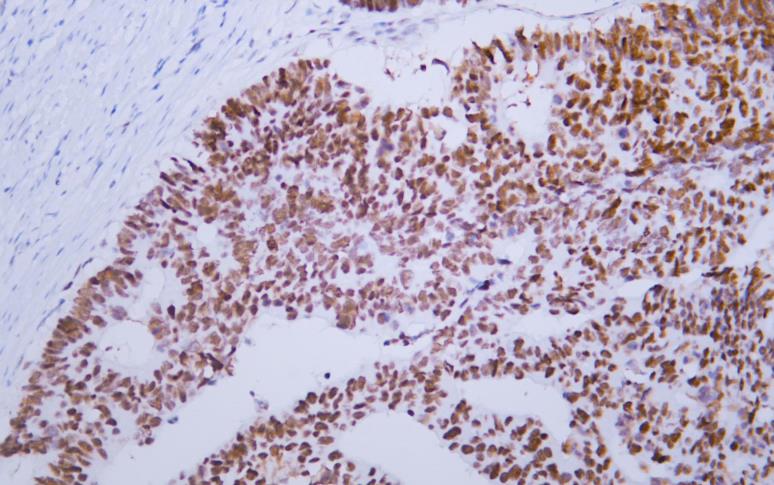
MutS Protein Homolog 6 (MSH6) (AB1562) mouse mAb
MutS Protein Homolog 6 (MSH6) (AB1562) mouse mAb

Assay Biotechnology Inc Antibodies and ELISA Kits have been rigorously validated for laboratory grade quality results. High specificity paired with high affinity for targets of interest give researchers an advantage with our products

Catalog No: V0394
Species Reactivity:Human;
Application:Immunohistochemistry (IHC)
Host:Mouse
Clonality:Monoclonal
Storage and Stability:Store at-20℃. Avoid freeze / thaw cycles.

$75
Product Details
Product Name
MutS Protein Homolog 6 (MSH6) (AB1562) mouse mAb
Description
MSH6 is an important gene in the human mismatch repair gene family, which is located at position 16 of the p arm of chromosome 2. Human mismatch repair genes play an important role in maintaining the integrity and stability of genetic information and avoiding genetic mutation. The deletion of this gene after mutation will make the cell mismatch repair function defective, lead to microsatellite instability (MSI) , and make the tumor susceptible. Clinically, it is often used in the screening of Lynch syndrome together with mismatch repair proteins MLH1, MSH2 and PMS2.
Catalog No
V0394
Species Reactivity
Human;
Clonality
Monoclonal
Host
Mouse
Modifcation
Unmodified
Clone
AB1562
Isotype
IgG1, kappa
Application
Immunohistochemistry (IHC)
Application Dilutions
IHC, 1:50-1:100
Immunogen
A synthetic peptide corresponding to the amino acid region 900 - 1000 of the human MutS Protein Homolog 6 protein.
Specificity
The antibody can specifically recognize human MSH6 protein.
Formulation
The antibody is provided in liquid form in phosphate - buffered saline with 50% glycerol, 0.05% BSA, and 0.05% Proclin 300.
Purification
The antibody was purified by affinity chromatography using a specific immunogen.
Storage and Stability
Store at-20℃. Avoid freeze / thaw cycles.
Gene Name
MSH6
Gene ID
2956
Human swiss
P52701
Protein Name
MutS Protein Homolog 6
Synonyms
DNA mismatch repair protein Msh6, G/T mismatch binding protein, G/T mismatch-binding protein, GTBP, GTMBP, hMSH6, HNPCC 5, HNPCC5, HSAP, MSH 6, MSH6, MSH6_HUMAN, mutS (E. coli) homolog 6, MutS alpha 160 kDa subunit, MutS homolog 6 (E. coli) , mutS homolog 6, MutS-alpha 160 kDa subunit, p160, Sperm associated protein
Related Products