25% Off Select Antibodies and ELISA Kits
Sign In/Register 0

We use cookies, check our Privacy Policies.

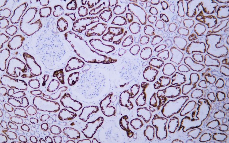
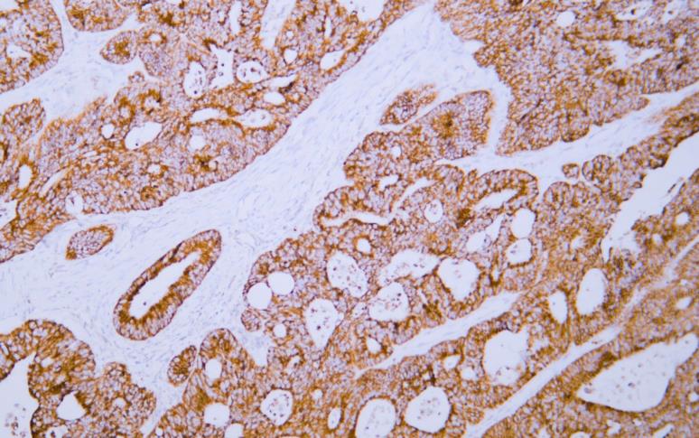
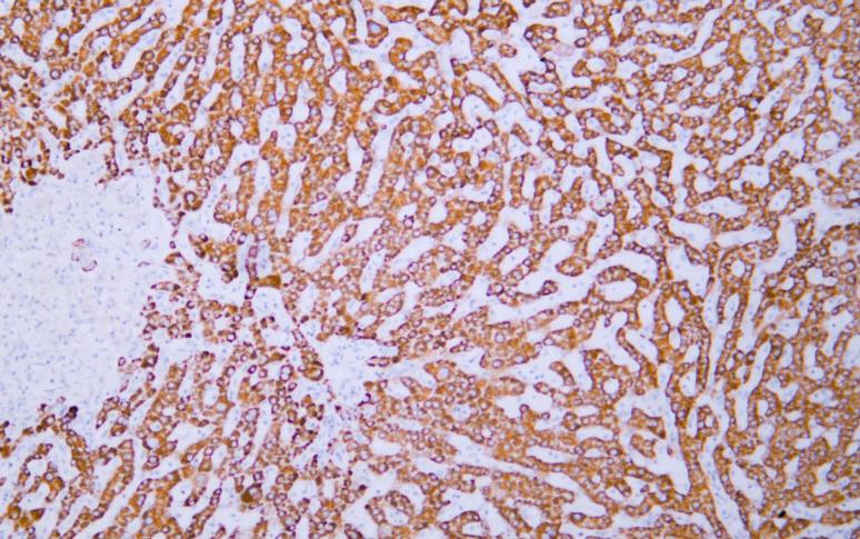
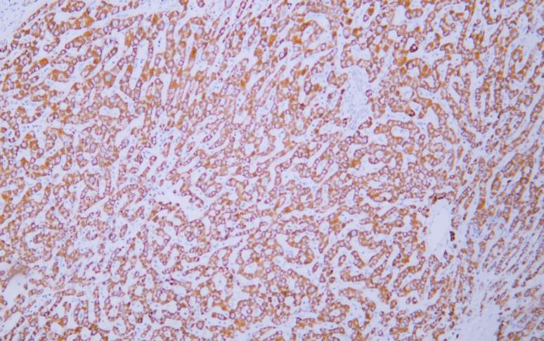
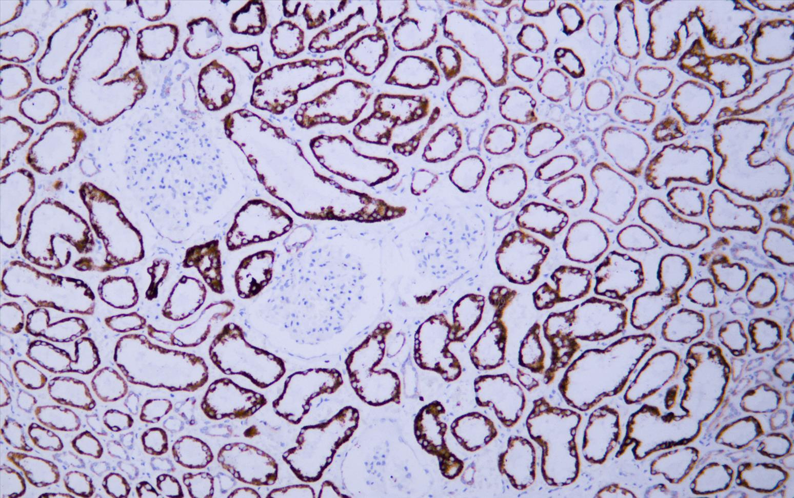
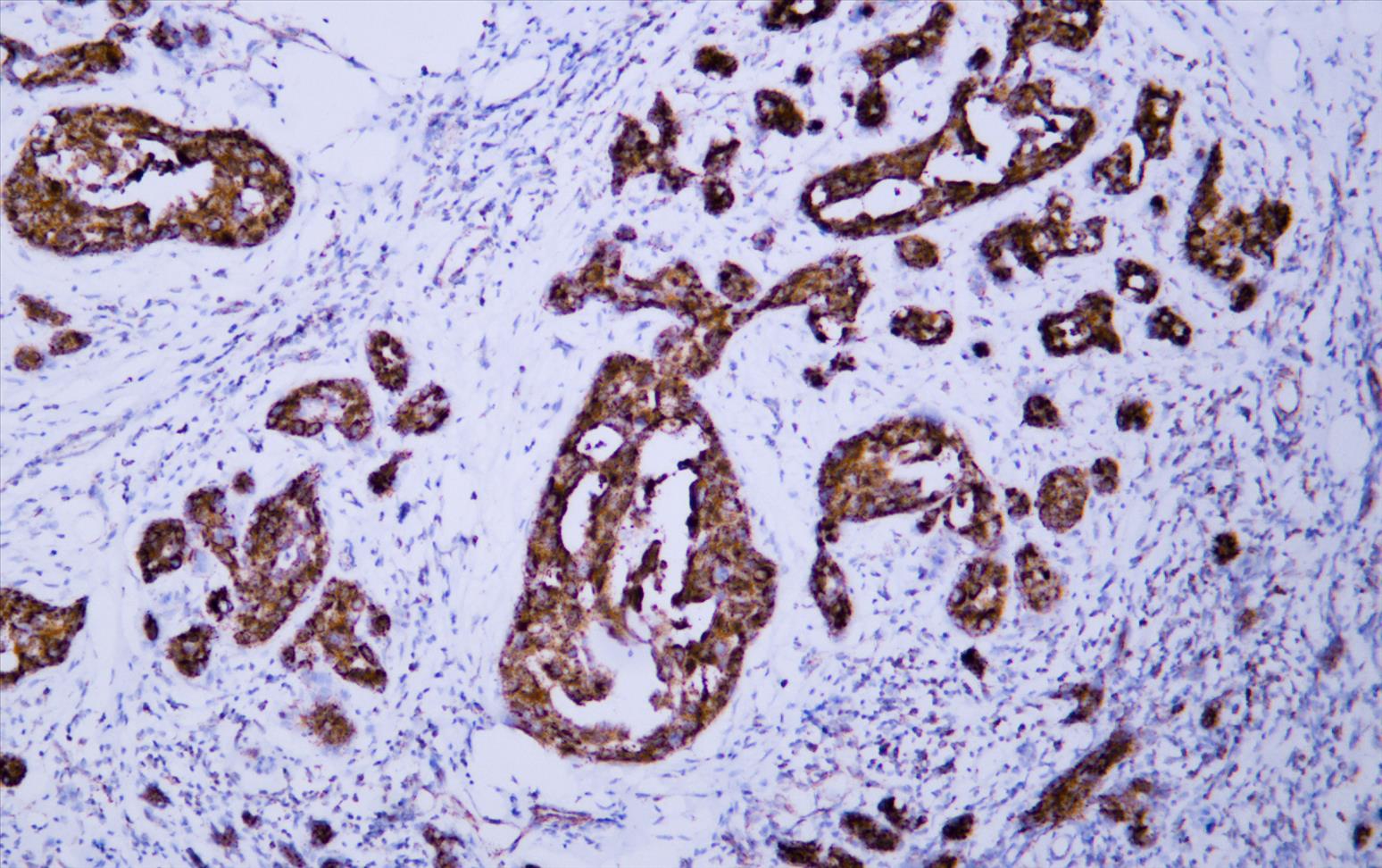
HSP60 (AB1343) mouse mAb
HSP60 (AB1343) mouse mAb

Assay Biotechnology Inc Antibodies and ELISA Kits have been rigorously validated for laboratory grade quality results. High specificity paired with high affinity for targets of interest give researchers an advantage with our products

Catalog No: V0379
Species Reactivity:Human; Mouse; Rat;
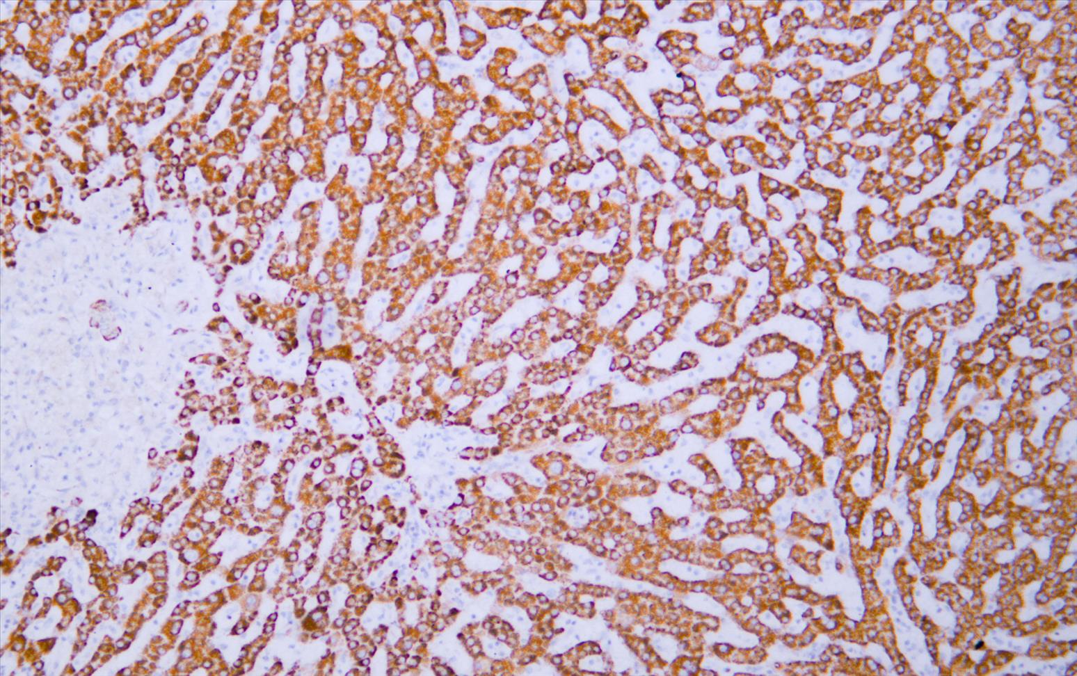
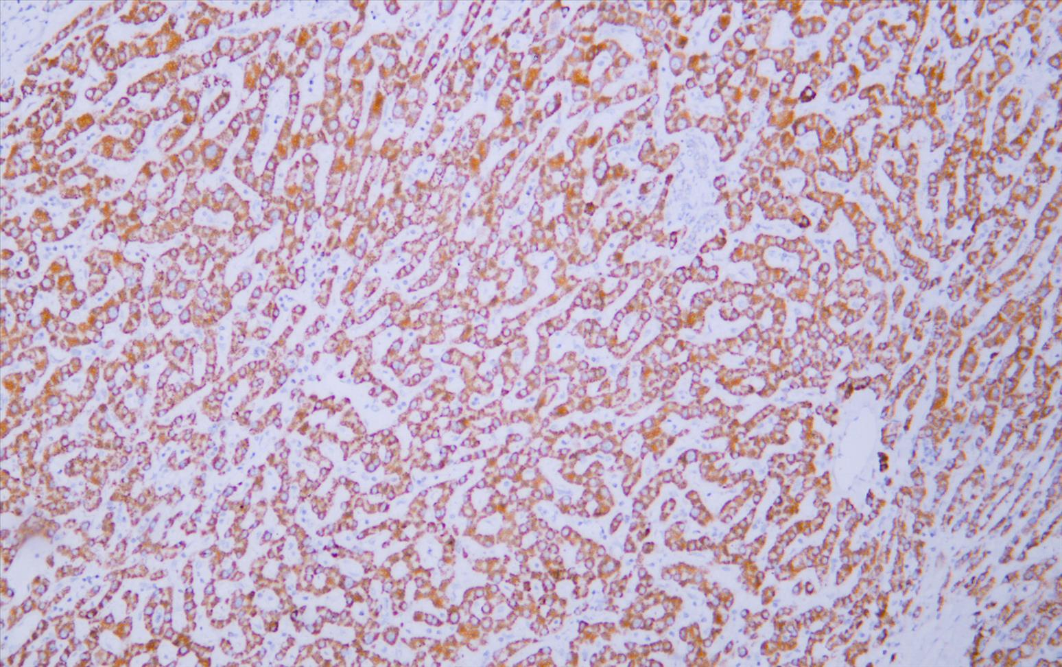
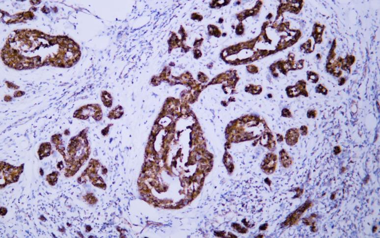
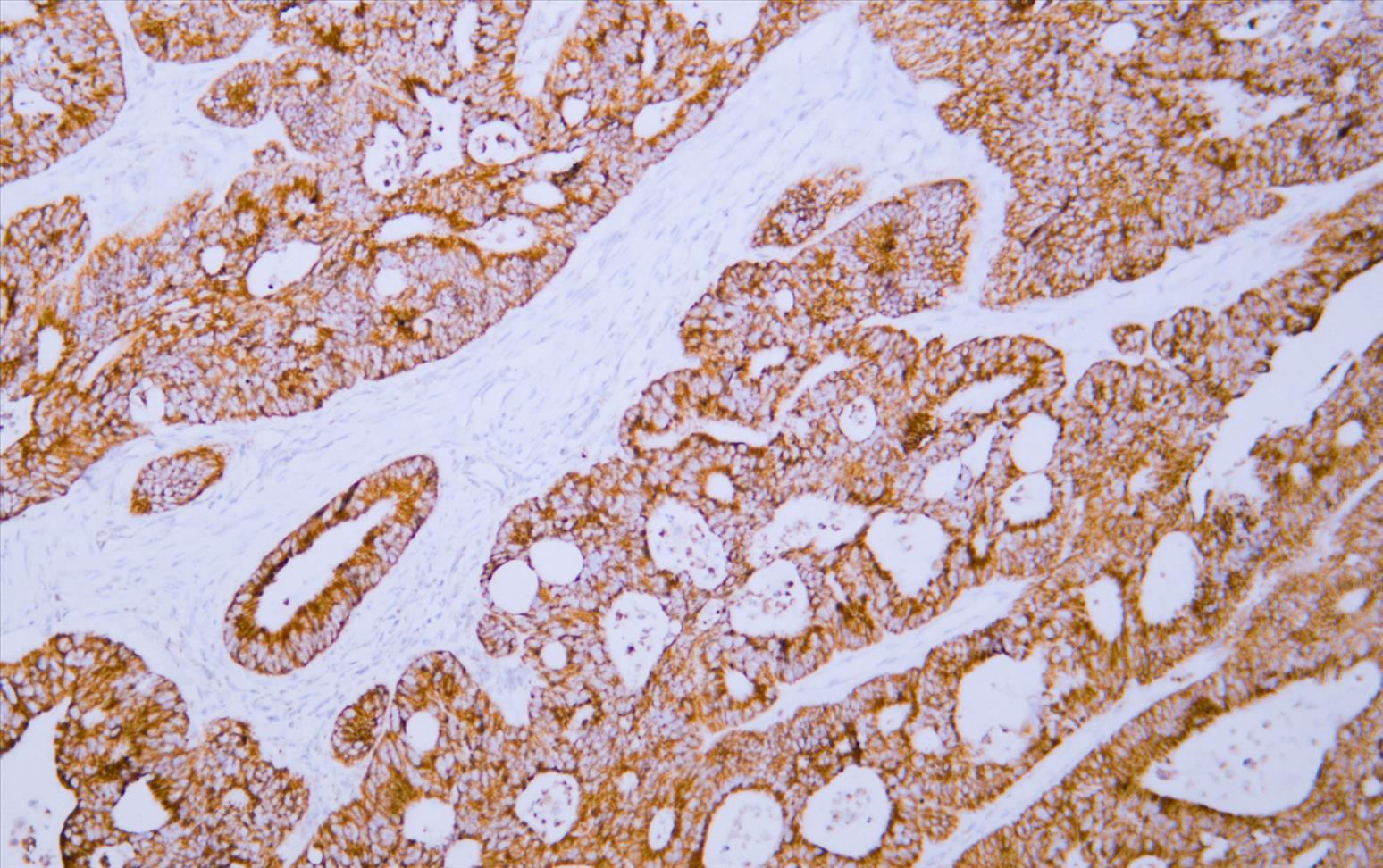
Application:Immunohistochemistry (IHC)
Host:Mouse
Clonality:Monoclonal
Storage and Stability:Store at-20℃. Avoid freeze / thaw cycles.

$75
Product Details
Product Name
HSP60 (AB1343) mouse mAb
Description
HSPs are a group of stress proteins induced by cells stimulated by stressors, which are related to tumorigenesis, proliferation and differentiation. According to their molecular weight, they can be divided into three types, and the distribution and function of HSPs in each group are different. HSP60 is mainly used for the study of colon cancer, tongue squamous cell carcinoma, pancreatic cancer and breast cancer, and may have prognostic significance.
Catalog No
V0379
Species Reactivity
Human; Mouse; Rat;
Clonality
Monoclonal
Host
Mouse
Modifcation
Unmodified
Clone
AB1343
Isotype
IgG2b, kappa
Application
Immunohistochemistry (IHC)
Application Dilutions
IHC, 1:200-1:400
Immunogen
A synthetic peptide corresponding to the amino acid region 500 - 573 of the human HSP60 protein.
Specificity
The antibody can specifically recognize human HSP60 protein.
Formulation
The antibody is provided in liquid form in phosphate - buffered saline with 50% glycerol, 0.05% BSA, and 0.05% Proclin 300.
Purification
The antibody was purified by affinity chromatography using a specific immunogen.
Storage and Stability
Store at-20℃. Avoid freeze / thaw cycles.
Gene Name
HSPD1
Gene ID
3329
Human swiss
P10809
Protein Name
HSP60
Synonyms
60 kDa chaperonin, 60 kDa heat shock protein, mitochondrial, CH60_HUMAN, Chaperonin 60, Chaperonin, 60-KD, CPN60, fa04a05, GROEL, heat shock 60 kDa protein 1 (chaperonin) , Heat shock protein 1 (chaperonin) , Heat shock protein 60, Heat shock protein 65, heat shock protein family D (Hsp60) member 1, HLD4, Hsp 60, HSP 65, HSP-60, HSP60, HSP65, HSPD1, HuCHA60, Mitochondrial matrix protein P1, P60 lymphocyte protein, short heat shock protein 60 Hsp60s1, SPG13
Related Products