25% Off Select Antibodies and ELISA Kits
Sign In/Register 0

We use cookies, check our Privacy Policies.

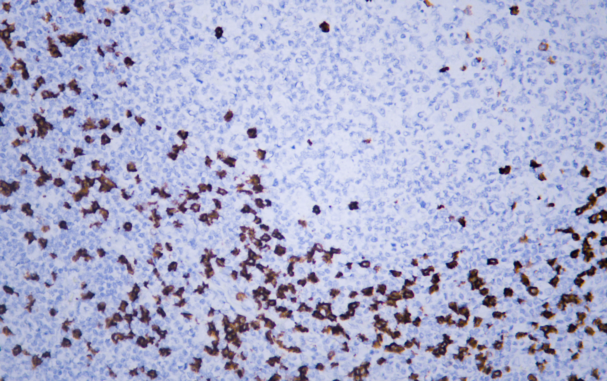
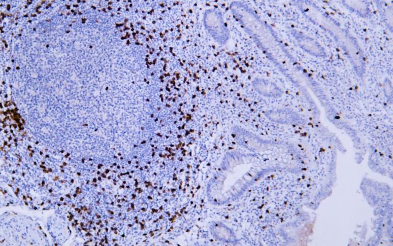
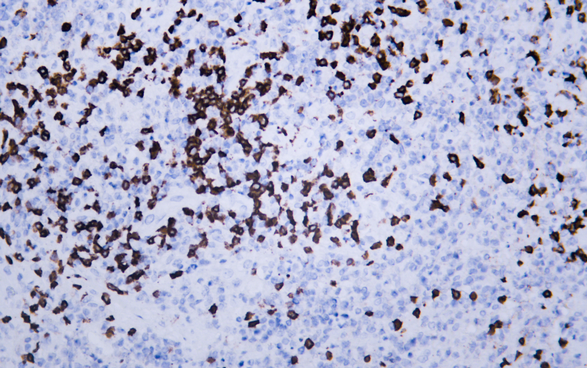
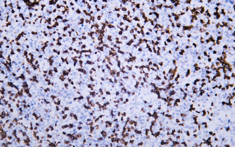
CD8 a (AB1410) mouse mAb
CD8 a (AB1410) mouse mAb

Assay Biotechnology Inc Antibodies and ELISA Kits have been rigorously validated for laboratory grade quality results. High specificity paired with high affinity for targets of interest give researchers an advantage with our products

Catalog No: V0255
Species Reactivity:Human;
Application:Immunohistochemistry (IHC)
Host:Mouse
Clonality:Monoclonal
Storage and Stability:Store at-20℃. Avoid freeze / thaw cycles.

$75
Product Details
Product Name
CD8 a (AB1410) mouse mAb
Description
CD8 is a 68kDa transmembrane glycoprotein consists of two subunits, αβ heterodimer or αα homodimer linked by a disulfide. CD8 is mainly expressed on the surface of suppress/cytotoxic T cells and NK cells. It is detected to be positive in T-cell large granular lymphocytic leukemia and subcutaneous panniculitis like T-cell lymphoma, and can be a marker for Precursor T lymphoblastic leukemia / lymphoma. CD8 is negative in Mycosis Fungoides and non-hematolymphoid neoplasms.
Catalog No
V0255
Species Reactivity
Human;
Clonality
Monoclonal
Host
Mouse
Modifcation
Unmodified
Clone
AB1410
Isotype
IgG2b, kappa
Application
Immunohistochemistry (IHC)
Application Dilutions
IHC, 1:200-1:400
Immunogen
A synthetic peptide corresponding to the amino acid region 100 - 235 of the human CD8 a protein.
Specificity
The antibody can specifically recognize human CD8 protein, including two typies of dimer: αβ heterodimer or αα homodimer.
Formulation
The antibody is provided in liquid form in phosphate - buffered saline with 50% glycerol, 0.05% BSA, and 0.05% Proclin 300.
Purification
The antibody was purified by affinity chromatography using a specific immunogen.
Storage and Stability
Store at-20℃. Avoid freeze / thaw cycles.
Gene Name
CD8A
Gene ID
925
Human swiss
P01732
Protein Name
CD8 a
Synonyms
alpha polypeptide (p32) , CD_antigen=CD8a, CD8, CD8 antigen alpha polypeptide, CD8 antigen alpha polypeptide (p32) , CD8 antigen, alpha polypeptide (p32) , CD8a, CD8A antigen, CD8A molecule, CD8A_HUMAN, Leu2, Leu2 T lymphocyte antigen, Ly 2, Ly 35, Ly B, Ly2, Ly3, Ly35, LyB, Lyt 2. 1 lymphocyte differentiation antigen (AA at 100) , LYT3, MAL, OKT8 T cell antigen, OTTHUMP00000160760, OTTHUMP00000160764, OTTHUMP00000203528, OTTHUMP00000203721, p32, T cell antigen Leu2, T cell co receptor, T lymphocyte differentiation antigen T8/Leu 2, T-cell surface glycoprotein CD8 alpha chain, T-cell surface glycoprotein Lyt 2, T-lymphocyte differentiation antigen T8/Leu-2, T8 T cell antigen, T8/Leu-2 T-lymphocyte differentiation antigen
Related Products