25% Off Select Antibodies and ELISA Kits
Sign In/Register 0

We use cookies, check our Privacy Policies.

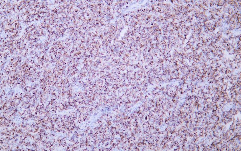
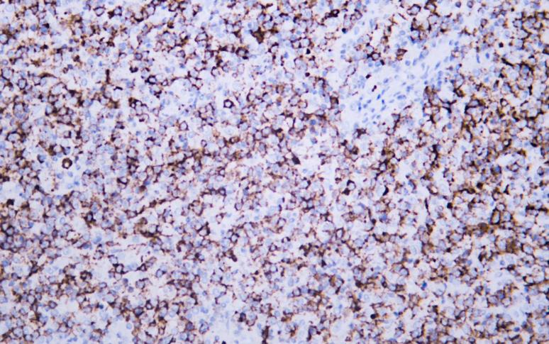
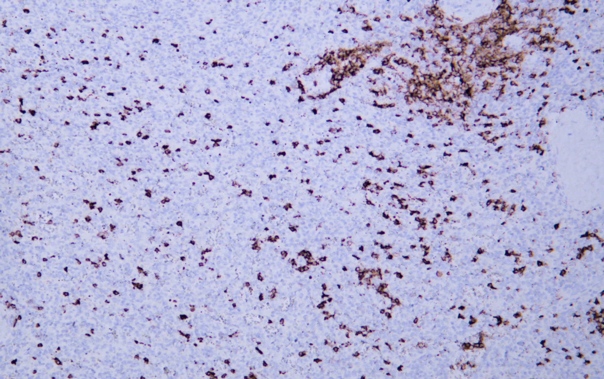
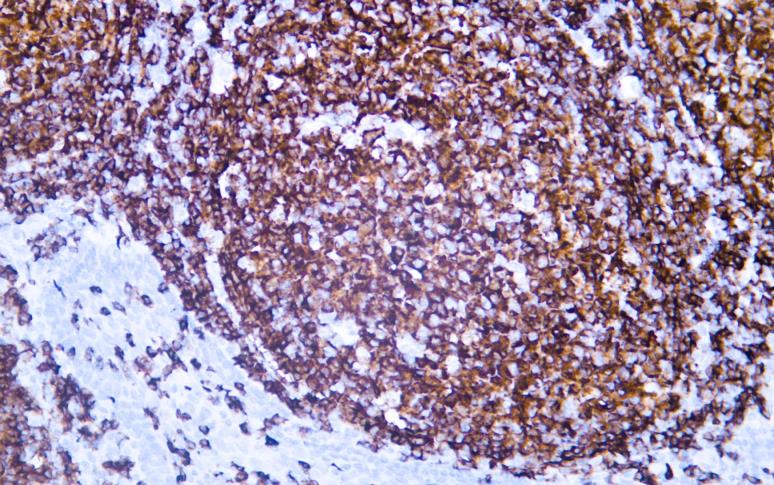
CD20 (AB1258) mouse mAb
CD20 (AB1258) mouse mAb

Assay Biotechnology Inc Antibodies and ELISA Kits have been rigorously validated for laboratory grade quality results. High specificity paired with high affinity for targets of interest give researchers an advantage with our products

Catalog No: V0224
Species Reactivity:Human;
Application:Immunohistochemistry (IHC)
Host:Mouse
Clonality:Monoclonal
Storage and Stability:Store at-20℃. Avoid freeze / thaw cycles.

$75
Product Details
Product Name
CD20 (AB1258) mouse mAb
Description
CD20 is a B cell specific membrane protein, which is mainly distributed in B cells, pre-B cells, post-B cells and B cells before plasma cells. CD20 antibody generally does not cross react with T cells, and has good cell specificity for B-cell lymphoma and acute and chronic lymphocytic leukemia. Therefore, CD20 is the most commonly used B-cell marker in the classification of malignant lymphoma, especially T or B-cell lymphoma.
Catalog No
V0224
Species Reactivity
Human;
Clonality
Monoclonal
Host
Mouse
Modifcation
Unmodified
Clone
AB1258
Isotype
IgG1, kappa
Application
Immunohistochemistry (IHC)
Application Dilutions
IHC, 1:200-1:400
Immunogen
A synthetic peptide corresponding to the amino acid region 200 - 297 of the human CD20 protein.
Specificity
The antibody can specifically recognize human CD20 protein.
Formulation
The antibody is provided in liquid form in phosphate - buffered saline with 50% glycerol, 0.05% BSA, and 0.05% Proclin 300.
Purification
The antibody was purified by affinity chromatography using a specific immunogen.
Storage and Stability
Store at-20℃. Avoid freeze / thaw cycles.
Gene Name
MS4A1
Gene ID
931
Human swiss
P11836
Protein Name
CD20
Synonyms
APY, ATOPY, B lymphocyte antigen CD20, B Lymphocyte Cell Surface Antigen B1, B-lymphocyte antigen CD20, B-lymphocyte cell-surface antigen B1, B-lymphocyte surface antigen B1, B1, Bp 35, Bp35, CD 20, CD20, CD20 antigen, CD20 receptor, CD20_HUMAN, CVID 5, CVID5, Fc epsilon receptor I beta chain, Fc Fragment of IgE high affinity I receptor for beta polypeptide, FCER1B, High affinity immunoglobulin epsilon receptor subunit beta, IgE Fc receptor subunit beta, IGEL, IGER, IGHER, LEU 16, Leu-16, LEU16, leukocyte surface antigen Leu 16, Leukocyte surface antigen Leu-16, Ly44, Membrane spanning 4 domains A1, Membrane spanning 4 domains subfamily A member 2, membrane-spanning 4-domains A1, Membrane-spanning 4-domains subfamily A member 1, MGC3969, MS4A1, MS4A2, S7
Related Products