25% Off Select Antibodies and ELISA Kits
Sign In/Register 0

We use cookies, check our Privacy Policies.

TGF β Receptor I (AB1598) mouse mAb
TGF β Receptor I (AB1598) mouse mAb

Assay Biotechnology Inc Antibodies and ELISA Kits have been rigorously validated for laboratory grade quality results. High specificity paired with high affinity for targets of interest give researchers an advantage with our products

Catalog No: V0129
Species Reactivity:Human; Mouse; Rat; Bovin;
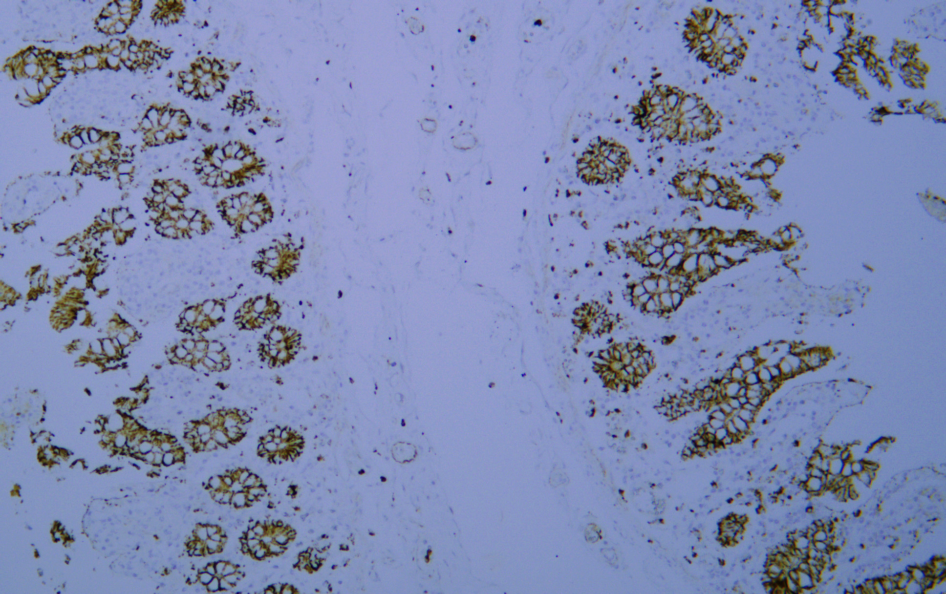
Application:Immunohistochemistry (IHC)
Host:Mouse
Clonality:Monoclonal
Storage and Stability:Store at-20℃. Avoid freeze / thaw cycles.

$135
Product Details
Product Name
TGF β Receptor I (AB1598) mouse mAb
Description
Members of the transforming growth factor β (TGF-β) superfamily are key regulators of cell proliferation, differentiation, development, morphogenesis, and disease pathogenesis. TGF-β signals through three cell surface receptors: type I (RI), type II (RII), and type III (RIII). Type I and type II receptors are serine/threonine kinases that form heteromeric complexes. Upon ligand binding, type II receptors form a stable complex with type I receptors, leading to phosphorylation and activation of the type I receptor kinase.
Catalog No
V0129
Species Reactivity
Human; Mouse; Rat; Bovin;
Clonality
Monoclonal
Host
Mouse
Modifcation
Unmodified
Clone
AB1598
Isotype
IgG2a, kappa
Application
Immunohistochemistry (IHC)
Application Dilutions
IHC, 1:50-1:100
Immunogen
A synthetic peptide corresponding to the amino acid region 34 - 100 of the human TGF β Receptor I protein.
Specificity
The antibody can specifically recognize human TGF β Receptor I protein.
Formulation
The antibody is provided in liquid form in phosphate - buffered saline with 50% glycerol, 0.05% BSA, and 0.05% Proclin 300.
Purification
The antibody was purified by affinity chromatography using a specific immunogen.
Storage and Stability
Store at-20℃. Avoid freeze / thaw cycles.
Gene Name
TGFBR1 ALK5 SKR4
Gene ID
7046
Human swiss
P36897
Protein Name
TGF β Receptor I
Synonyms
AAT5; ALK5; ESS1; LDS1; MSSE; SKR4; TBRI; ALK-5; LDS1A; LDS2A; TBR-i; TGFR-1; ACVRLK4; tbetaR-I; TGF beta Receptor I (TGFBR1)
Related Products